Когда мы хотим «выровнять» зубы, исправить прикус, чаще всего
задумываемся о брекетах. Этот способ лечения с помощью металлических
пластинок, дуг и скоб уже давно известен и широко применяется. Намного
больше вопросов - что же такое элайнеры!
Еще недавно существовало мнение, что эти прозрачные каппы для зубов
можно использовать только в самых легких случаях, не требующих
полноценной ортодонтической коррекции.
Но по мере использования элайнеров в лечении стало очевидно, что это
такой же замечательный инструмент, как и брекеты. Но только в умелых
руках специалиста. Элайнеры просто незаменимы, когда за
ортодонтическим лечением обращаются спортсмены, моряки, IT
специалисты.
Элайнеры — как это работает?
Итак, Вы решили поставить элайнеры для выравнивания зубов.
Лечение каппами начинается с создания виртуальной модели
Ваших зубов. С помощью сканирования зубов текущая картина во рту
становится цифровой и попадает в компьютер. А дальше доктор и
техническая лаборатория совместно планируют перемещение каждого зуба
в правильное положение. Любое изменение хотя бы на десятую часть
миллиметра выполняется новой каппой.
В напечатанном по компьютерной модели элайнере место для зуба
предусмотрено уже в новом правильном положении, таким образом и
происходит передвижение. Механика перемещения зубов на элайнерах
более понятна и проста, чем когда это происходит на другой
аппаратуре теми же самыми брекетами, она заранее запланирована на
виртуальной 3D модели.
В
лечении на элайнерах мы пытаемся до начала выравнивания зубов
предусмотреть и заложить все движения и ротации, но конечно же, нельзя со 100% уверенностью предугадать
индивидуальную реакцию организма на все вмешательства.
Элайнеры — это удобно?
Элайнеры не вызывают чувство дискомфорта.
Не натирают десна, не влияют на дикцию. Соблюдение диеты при лечении
на элайнерах также не требуется. Просто необходимо снять пластиковую
каппу на время приема пищи, почистить зубы и вернуть каппу на место.
А вот время ношения каппы на зубах в течении всего дня - играет
важную роль. Носить элайнеры необходимо не менее 20-22 часов в день.
Каждая каппа должна выполнить свою работу за 10-14 дней
непрерывного ношения и тогда следующий по счету шаг, новый элайнер,
без труда наденется на зубной ряд.
Срок лечения на элайнерах очень индивидуален, но можно отметить, что
небольшую корректировку неровности зубов можно провести с помощью
10-15 элайнеров, в сложном клиническом случае понадобится до 50
элайнеров.
Этапы лечения на элайнерах:
1
Консультация и диагностика
При первом визите врач ортодонт осматривает зубы, делает
фотопротокол и обсуждает цели лечения.
На диагностическом приеме проводят компьютерную томографию,
определяют тонус мышц, выполняют сканирование полости рта для
подбора типа элайнеров.
2
Составление плана лечения
На основании диагностики создается компьютерный виртуальный план
лечения, показывающего последовательное перемещение зубов и
результат будущего лечения.
План лечения включает в себя количество кап, частоту их замены и
ожидаемую продолжительность лечения.
3
Изготовление кап
На основе плана лечения изготавливается серия индивидуальных
прозрачных кап.
Капы изготавливаются из тонкого, гибкого пластика, плотно
прилегающего к зубам.
4
Установка кап
Ортодонт устанавливает первую пару кап на зубы пациента.
Дополнительно устанавливаются аттачмента, это небольшое
стоматологическое приспособление, которое крепится к поверхности
зуба. Аттачменты используются в лечении на элайнерах и брекетах
для улучшения захвата и перемещения зубов.
5
Ношение кап
Пациент носит каждую пару кап в течение 20—22 часов в день, снимая
их только для еды, питья и чистки зубов.
Элайнеры постепенно перемещают зубы в положение, запланированное в
виртуальном плане лечения.
6
Регулярные осмотры
Ортодонт регулярно проверяет прогресс лечения и вносит необходимые
корректировки.
Обычно осмотры проводятся раз в 6—8 недель.
7
Завершение лечения
После того как зубы перемещены в нужное положение, лечение
завершается. Начинается ретенционный период. Это период после
активного лечения, когда используются ретейнеры для поддержания
зубов в их новом положении.
Обычно осмотры проводятся раз в 6—8 недель.
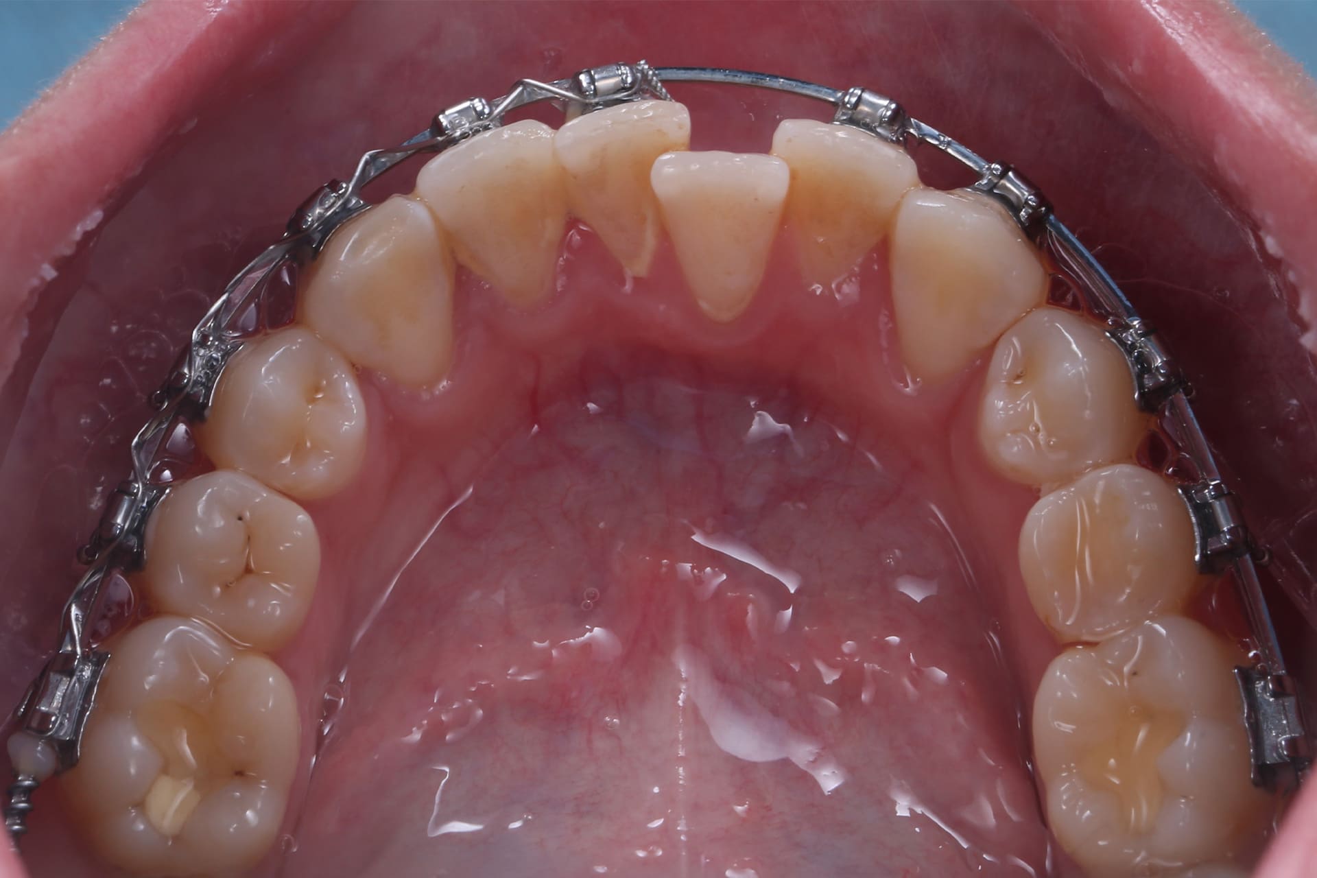
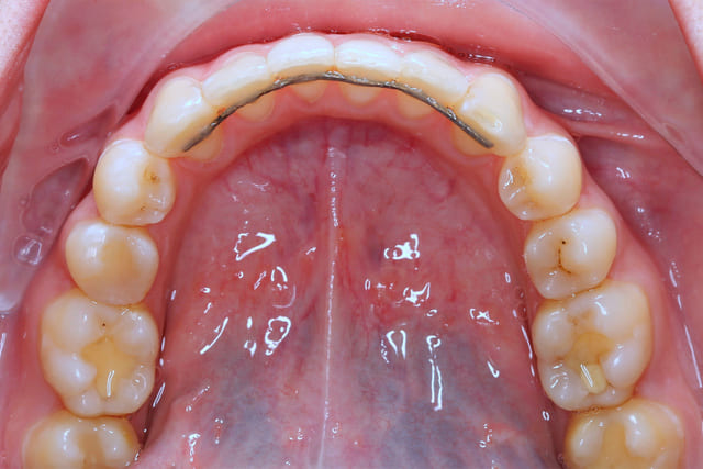
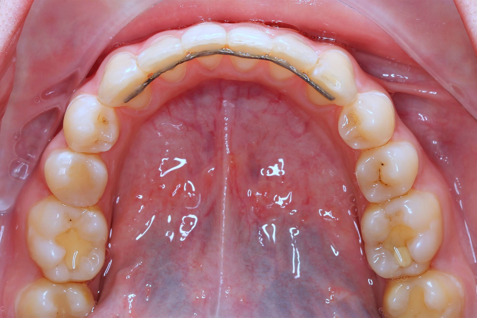
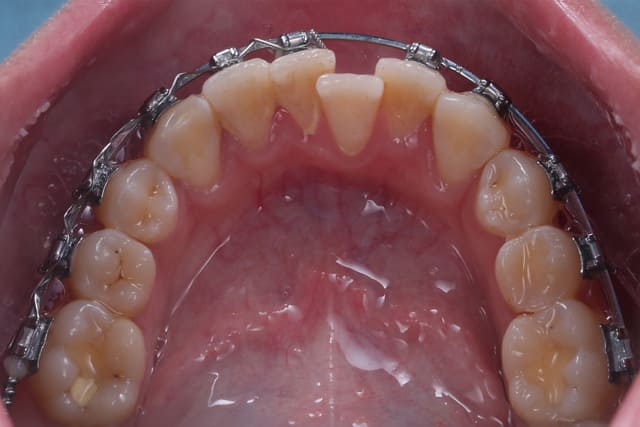
В качестве удерживающего устройства используют тонкую
металлическую проволоку, которую крепят на внутреннюю поверхность
зубов или прозрачную капу, напоминающую сам элайнер.
1Консультация и диагностика
При первом визите врач ортодонт осматривает зубы, делает
фотопротокол и обсуждает цели лечения. На диагностическом приеме
проводят компьютерную томографию, определяют тонус мышц,
выполняют сканирование полости рта для подбора типа элайнеров.
2Составление плана лечения
На основании диагностики создается компьютерный виртуальный
план лечения, показывающего последовательное перемещение зубов и
результат будущего лечения. План лечения включает в себя
количество кап, частоту их замены и ожидаемую продолжительность
лечения.
3Изготовление кап
На основе плана лечения изготавливается серия индивидуальных
прозрачных кап. Капы изготавливаются из тонкого, гибкого
пластика, плотно прилегающего к зубам.
4Установка кап
Ортодонт устанавливает первую пару кап на зубы пациента.
Дополнительно устанавливаются аттачмента, это небольшое
стоматологическое приспособление, которое крепится к поверхности
зуба. Аттачменты используются в лечении на элайнерах и брекетах
для улучшения захвата и перемещения зубов.
5Ношение кап
Пациент носит каждую пару кап в течение 20—22 часов в день,
снимая их только для еды, питья и чистки зубов. Элайнеры
постепенно перемещают зубы в положение, запланированное в
виртуальном плане лечения.
6Регулярные осмотры
Ортодонт регулярно проверяет прогресс лечения и вносит
необходимые корректировки. Обычно осмотры проводятся раз в 6—8
недель.
7Завершение лечения
После того как зубы перемещены в нужное положение, лечение
завершается. Начинается ретенционный период. Это период после
активного лечения, когда используются ретейнеры для поддержания
зубов в их новом положении. В качестве удерживающего устройства
используют тонкую металлическую проволоку, которую крепят на
внутреннюю поверхность зубов или прозрачную капу, напоминающую
сам элайнер.
Услуги и цены
Мы оказываем
полный спектр услуг по лечению на элайнерах
Элайнеры
Цена
Диагностическое обследование перед ортодонтическим лечением
3800₽
Компьютерная томография (двух челюстей с захватом всего ВНЧС)
2500₽
Расчет моделей, диагностических данных и составление плана ортодонтического лечения
2500₽
Определение терапевтического положения нижней челюсти с помощью цифрового вариатора при заболеваниях ВНЧС
8000₽
Первичный прием ортодонта
2000₽
Снятие цифрового слепка при помощи интраорального сканера
3000₽
Фиксация премиальной брекет системы на одну челюсть
38000₽
Несъемный ретейнер
9000₽
Ретенционный период (снятие брекет системы, шлифовка, полировка, фиксация ретейнера, изготовление кап удерживающих)
24000₽
Активация брекет-системы (смена дуги, смена лигатур, применение эластиков, выполнение изгибов, установка крючков, стопоров, кнопок, щечных трубочек)
9500₽
Ортодонтическая коррекция с применением элайнеров EUROKAPA COMPLETE
152000₽
Ортодонтическая коррекция с применением элайнеров EUROKAPA LIGHT
108000₽
Кейсы
Результат работы наших специалистов
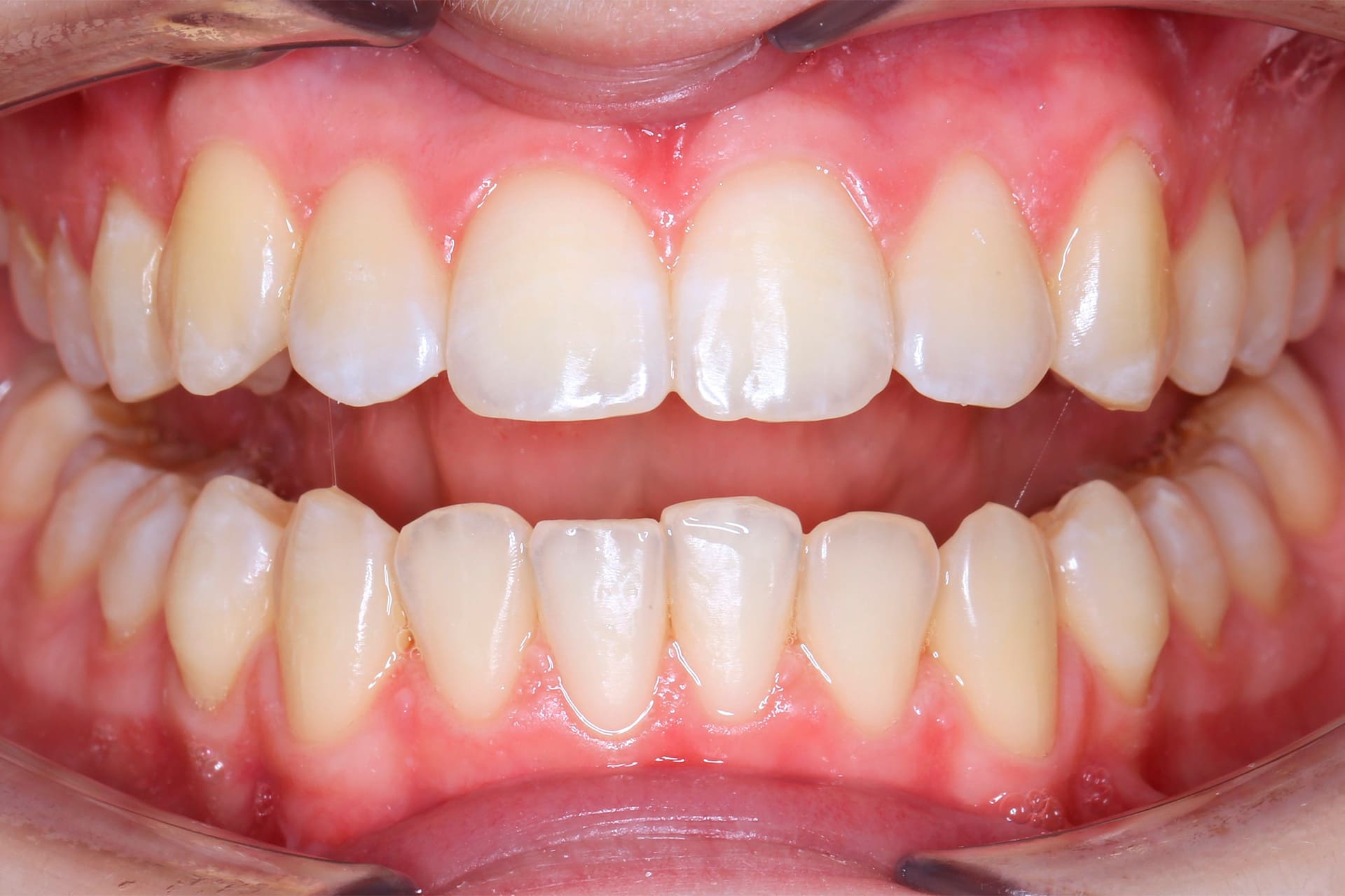
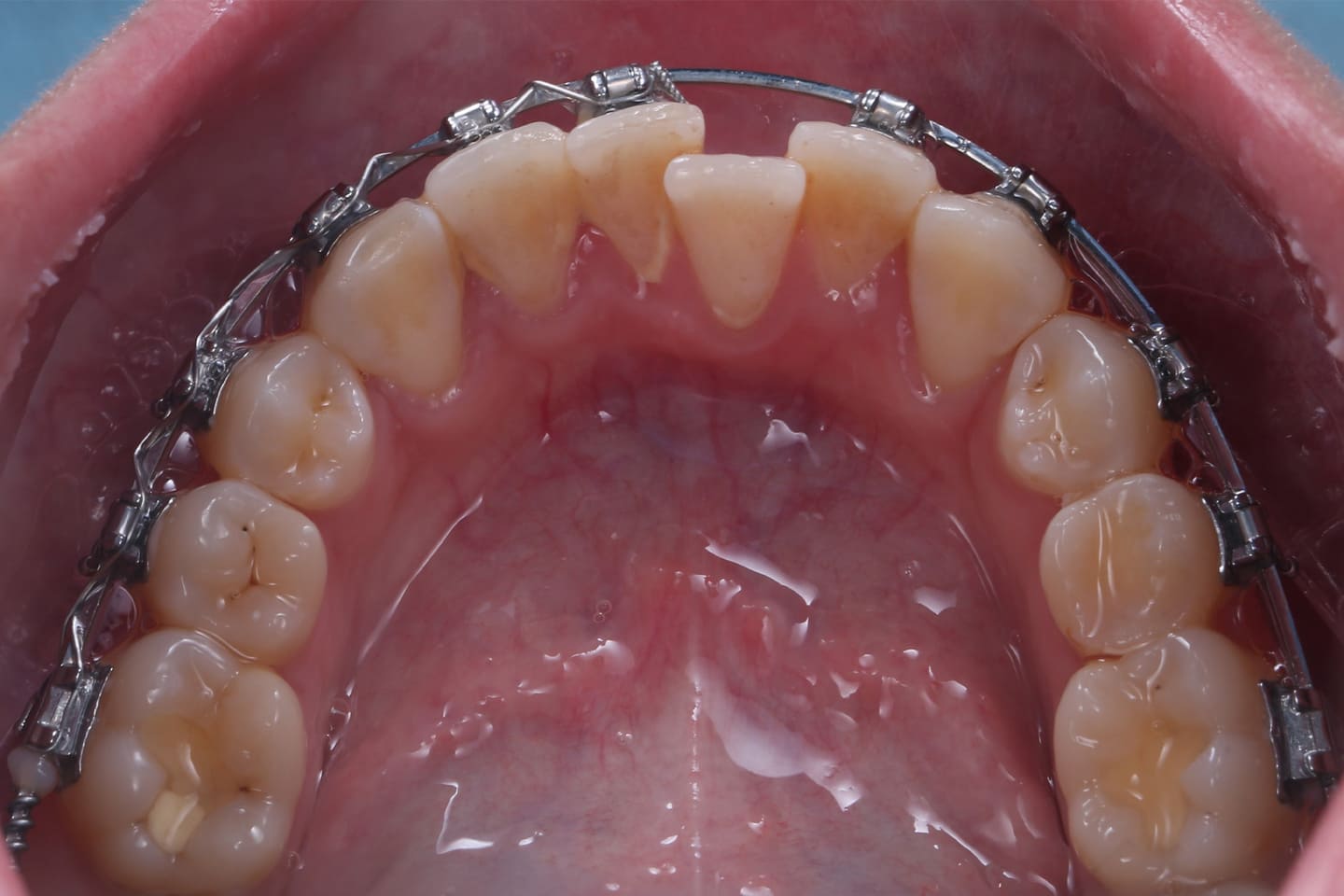
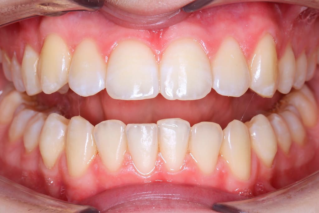
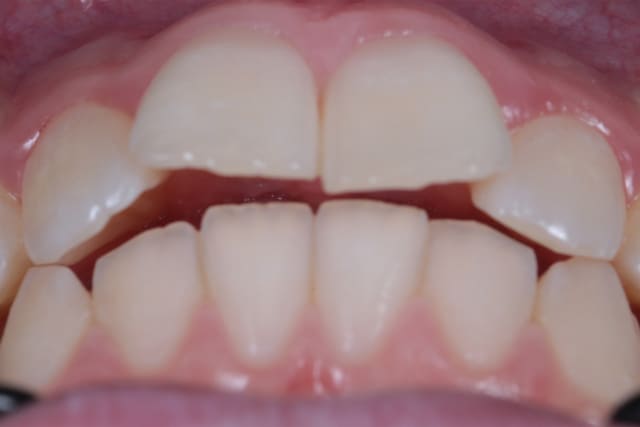
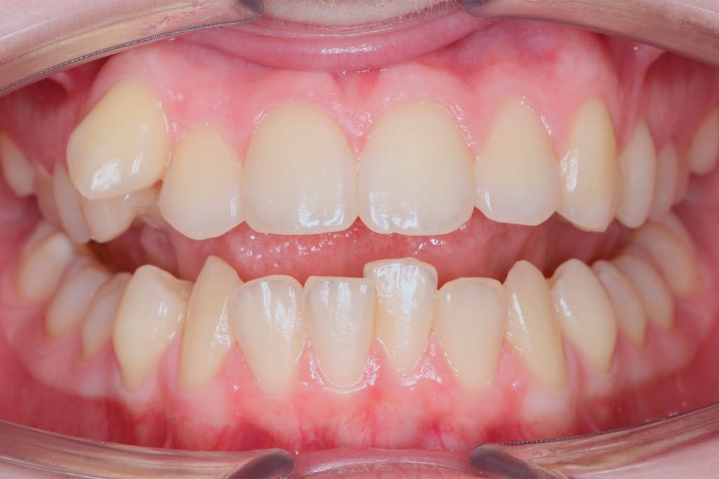
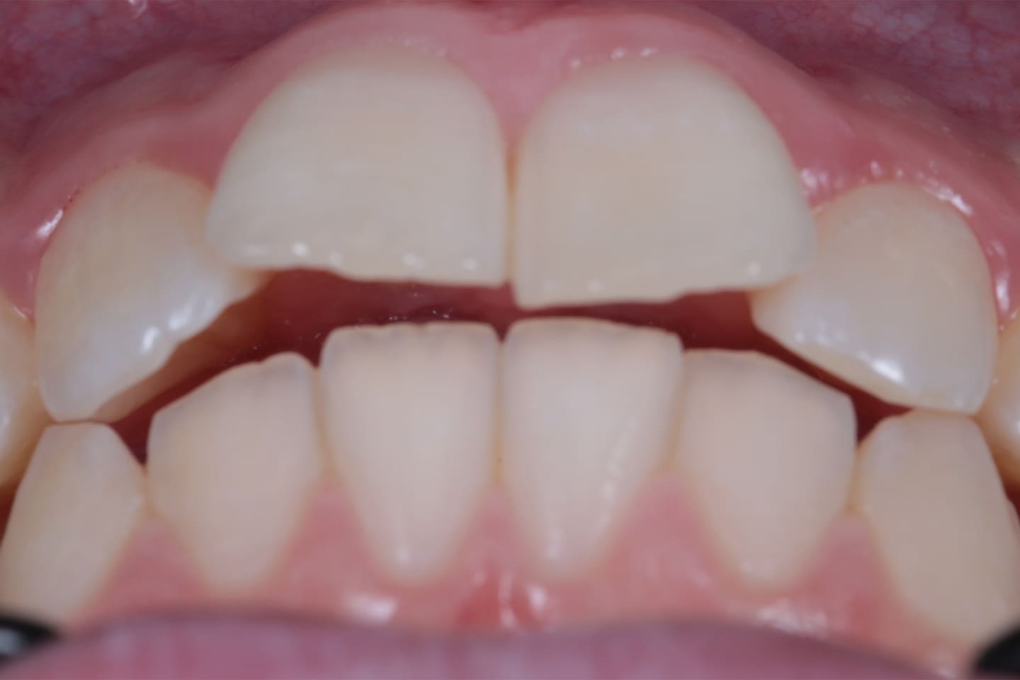
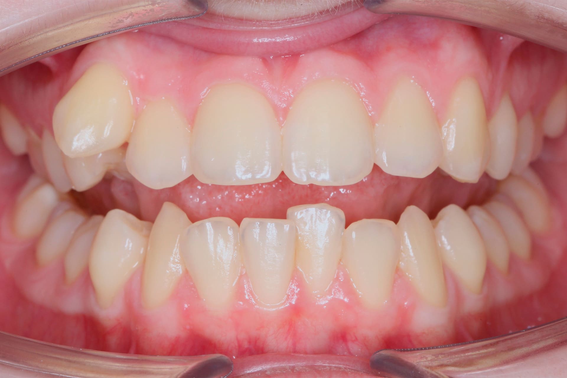
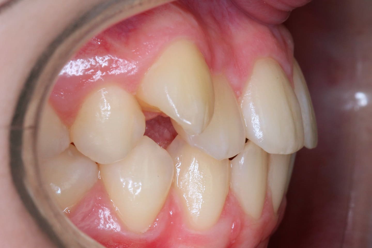
Девушка в подростковом возрасте стесняется своей улыбки из-за торчащего из зубного ряда зуба, скромно улыбается и старается прятать зубы при разговоре. После осмотра и диагностики нашей командой принято решение о лечении на элайнерах. Перед началом лечения проведено лечение всех кариозных зубов и замена несостоятельных пломб. Изготовлен комплект элайнеров и установлены аттачменты.
Жалобы
Общая неудовлетворительная эстетика улыбки. Отсутствие желания улыбаться и открыто общаться.
Проделанная работа
После осмотра и диагностики нашей командой принято решение о лечении на элайнерах. По снимку компьютерной томографии и сканированию полости рта был составлен 3D план перемещения зубов. Перед началом лечения на элайнерах проведено лечение всех кариозных зубов и замена несостоятельных пломб. Изготовлен комплект элайнеров и установлены аттачменты.
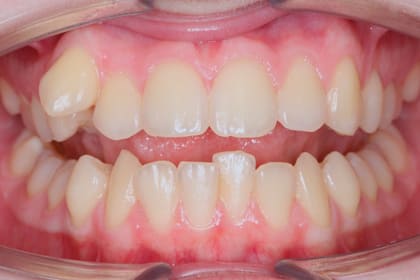
Результат работы
Пациентка находится в процессе завершения лечения, до окончания 3.5 месяца. Девушка уже стала свободно общаться, не прятать улыбку, не тянет губы при разговоре и чувствует себя значительно увереннее.
Сопутствующие процедуры:
Первичный прием стоматолога ортодонта
Диагностический прием стоматолога ортодонта
Снимок КТ
Интраоральное сканирование
3D планирование
Печать комплекта элайнеров
Установка аттачментов и сдача стартовой капы
Лечение на элайнерах
Необходимые специалисты:
Стоматолог ортодонт
Стоматолог терапевт
Ассистент стоматолога
Лаборатория EUROKAPPA
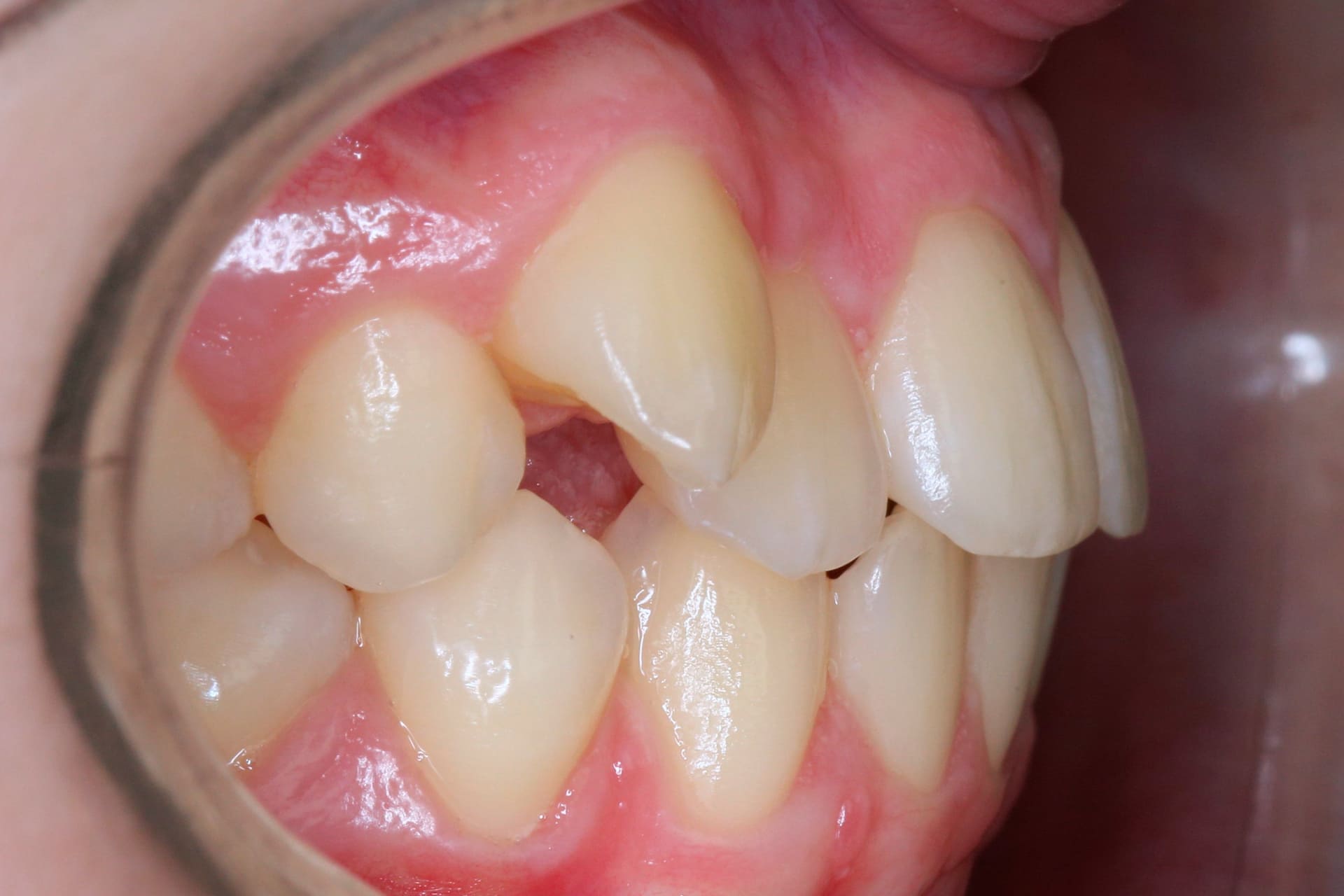
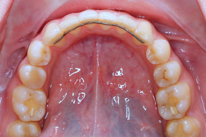
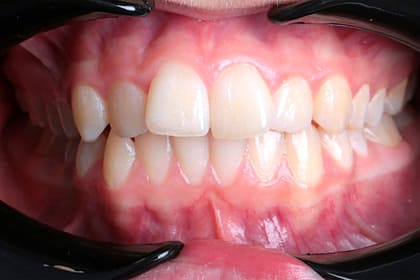
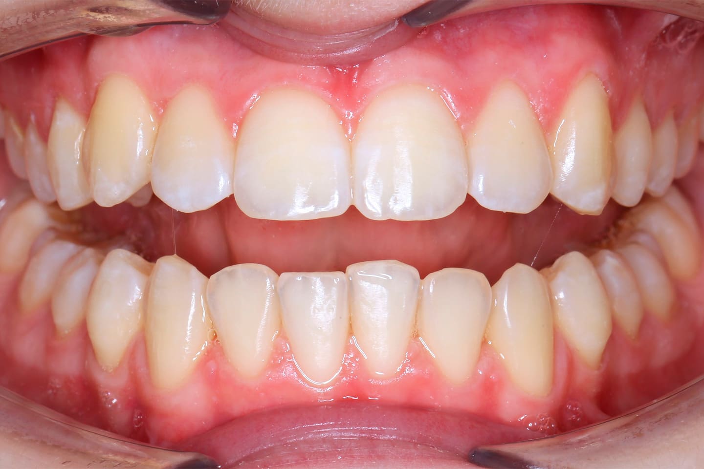
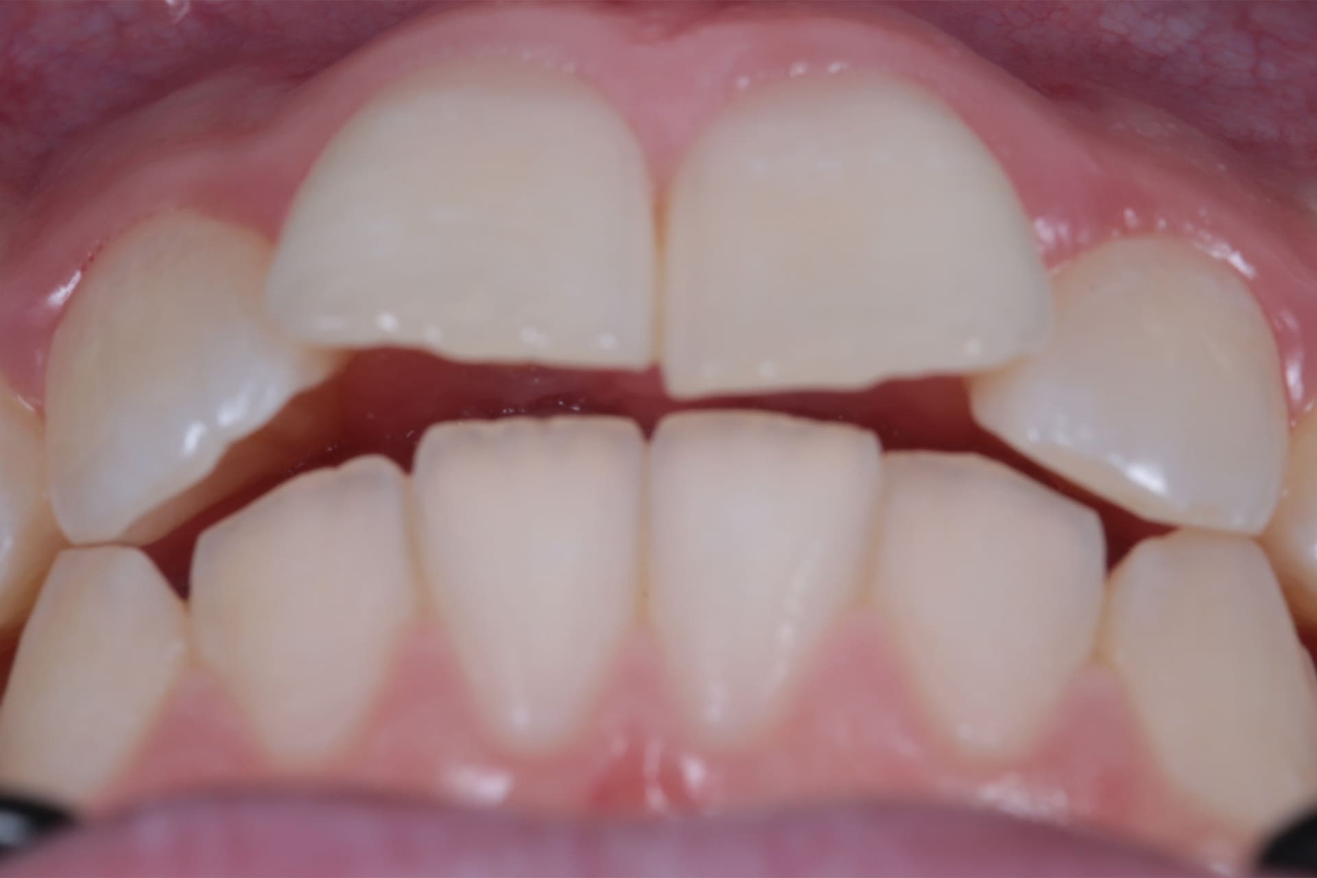
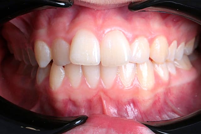
Пациентка профессионально занимается спортом, выступает на соревнованиях и участвует в фотосессиях. После осмотра и диагностики нашей командой принято решение о лечении на элайнерах. По снимку компьютерной томографии и сканированию полости рта был составлен 3D план перемещения зубов.
Жалобы
Неровность зубного ряда, затрудненная гигиена зубов из-за смещения.
Проделанная работа
После осмотра и диагностики нашей командой принято решение о лечении на элайнерах. По снимку компьютерной томографии и сканированию полости рта был составлен 3D план перемещения зубов. Изготовлен комплект элайнеров и установлены аттачменты.
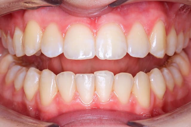
Результат работы
За 9 месяцев достигнуто анатомически верное положение зубного ряда. Девушка искренне улыбается, не испытывает проблем с уходом за зубами.
Сопутствующие процедуры:
Первичный прием стоматолога ортодонта
Диагностический прием стоматолога ортодонта
Снимок КТ
Интраоральное сканирование
3D планирование
Печать комплекта элайнеров
Установка аттачментов и сдача стартовой капы
Лечение на элайнерах
Установка ретейнера
Необходимые специалисты:
Стоматолог ортодонт
Ассистент стоматолога
Лаборатория EUROKAPPA
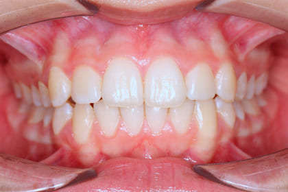
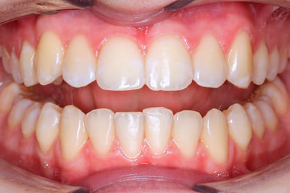
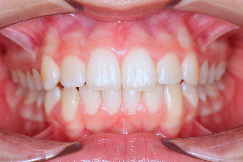
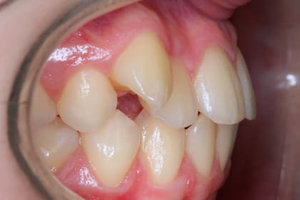
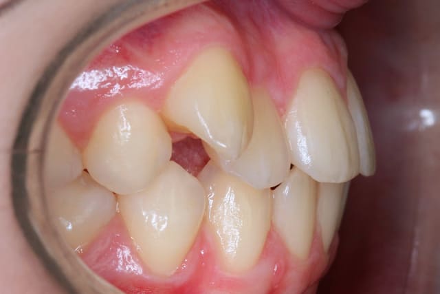
Пациентка обратилась в процессе неудачного лечения в другой клинике. После осмотра, снимка КТ и всех диагностических расчетов нашей командой принято решение о долечивании пациента без снятия ранее установленной брекет-системы.
Жалобы
Недовольство эстетикой улыбки и положением зубов.
Проделанная работа
После осмотра, снимка КТ и всех диагностических расчетов нашей командой принято решение о долечивании пациента без снятия ранее установленной брекет-системы. Выполнена профессиональная гигиеническая чистка и установка недостающих ортодонтических элементов.
Результат работы
За 18 месяцев достигнуто анатомически верное положение зубного ряда. Девушка искренне улыбается, не испытывает проблем с уходом за зубами.
Сопутствующие процедуры:
Первичный прием стоматолога ортодонта
Диагностический прием стоматолога ортодонта
Профессиональная гигиена полости рта
Снимок КТ
Расчет диагностических моделей
Составление плана лечения на брекет-системе
Снятие аппаратуры
Установка ретейнера
Необходимые специалисты:
Стоматолог ортодонт
Гигиенист
Ассистент врача стоматолога
FAQ
Ответы на часто задаваемые вопросы
Что входит в стоимость лечения?
Мы формируем итоговую стоимость по принципу «всё включено», наши
цены максимально прозрачные и понятные. На примере восстановления
зуба коронкой видно, что это комплексная услуга, состоящая из многих
этапов, но пациенту не нужно скрупулёзно изучать все нюансы работы
врача-ортопеда. Мы не дробим прайс на множество позиций, а указываем
конечную стоимость.
Зачем нужно приходить на осмотры два раза в год?
Регулярные посещения стоматолога помогают выявлять проблемы с
полостью рта на ранних стадиях, проводить профилактические
мероприятия, такие как чистка зубов и удаление зубного налета, а
также предотвращать развитие более серьезных заболеваний.
Как долго нельзя есть после пломбирования зуба?
После пломбирования зуба рекомендуется воздерживаться от пищи и
напитков в течение 1–2 часов. Это время необходимо для того, чтобы
прошло действие анестезии, пломба полностью застыла и
зафиксировалась в зубе. Кроме того, в течение первых 24 часов после
пломбирования рекомендуется избегать горячей или очень холодной пищи
и напитков, чтобы предотвратить появление чувствительности или боли.
После того как пломба зафиксировалась и зуб начал чувствовать себя
нормально, вы можете возвращаться к обычному рациону и режиму
питания. Однако, если возникают какие-либо проблемы, боли или
дискомфорт, необходимо обратиться к стоматологу для дополнительной
консультации и диагностики.
Какие симптомы свидетельствуют о необходимости срочного обращения к
стоматологу?
Срочно нужно обратиться к стоматологу, если у вас есть сильная боль
в зубе или десне, отечность лица, кровотечение изо рта, повышенная
чувствительность зубов к холоду или теплу, а также в случае травмы
или потери зуба.
Какие проблемы могут возникнуть из-за неправильного прикуса?
Неправильный прикус может привести к дисфункции челюстей, боли при
жевании, износу зубов, проблемам с суставами челюсти и даже головным
болям.
Чем отличаются виниры от коронок?
Виниры — это тонкие оболочки, покрывающие переднюю часть зубов, а
коронки — это чашеобразные конструкции, покрывающие всю видимую
часть зуба.
Какие преимущества имплантов по сравнению с мостами?
Импланты имеют ряд преимуществ, включая сохранение соседних здоровых
зубов, лучшую функциональность (отсутствие «подвесной части») и
эстетику, а также долговечность.
Что такое имплантация зубов ALL ON 4 и каковы её преимущества?
Это концепция восстановления зубов несъемным протезом с опорой на
имплантаты. Протокол позволяет вернуть пациенту красивую улыбку,
правильный прикус и естественный овал лица буквально за один день. В
основе метода лежит применение высокоточных трехмерных изображений
челюсти, полученных путем сканирования ротовой полости. Чтобы
установить условно-съемный протез, в челюсть вживляется четыре
титановых имплантата. После чего на опоры фиксируется протез из
композита или акрила с искусственными зубными коронками. Конструкция
закрепляется винтами, которые закрываются пломбировочным материалом
или цементом для достижения максимального эстетического результата.
Винтовая фиксация более удобна в эксплуатации, имеет ряд преимуществ
перед альтернативными вариантами. Стоматолог всегда имеет
возможность отсоединить протез без повреждения окружающих тканей и
провести починку, перебазировку, подгонку или чистку.
Через какое время после удаления зуба можно ставить имплантат?
Время перед установкой имплантата после удаления зуба может
варьироваться в зависимости от индивидуальных обстоятельств и
состояния пациента. Однако обычно рекомендуется ждать от 2 до 6
месяцев, прежде чем устанавливать имплантат. Этот период времени,
называемый периодом остеоинтеграции, позволяет костной ткани
заживать и подготавливаться для приема имплантата. В случае
необходимости более сложной хирургической процедуры или если есть
особые изначальные проблемы с костной тканью, этот срок также может
быть увеличен. Однако в некоторых случаях стоматолог может решить
установить временный протез (например, временный мост) сразу после
удаления зуба, в то время как костная ткань заживает, что позволяет
пациенту сохранять эстетику и функциональность зубного ряда.
Чем отличается гингивит от пародонтита?
Гингивит — это воспаление десен, обычно вызванное неправильной
гигиеной полости рта. Пародонтит же — это более серьезное
заболевание, когда воспаление распространяется на ткани,
поддерживающие зуб. Пародонтит, в отличие от гингивита, может
привести к потере зубов.
Могут ли женщины посещать стоматолога во время беременности?
Да, беременные женщины должны продолжать посещать стоматолога и
поддерживать хорошее здоровье. Однако необходимо предупредить
стоматолога о беременности для принятия соответствующих мер
предосторожности.
Какие финансовые варианты лечения предлагает ваша клиника?
У нас предусмотрены различные варианты оплаты. Мы сотрудничаем с
ведущими страховыми компаниями (Альфастрахование, Согаз,
Росгосстрах, Энергогарант). Также длительное ортодонтическое
(брекеты и элайнеры) и ортопедическое лечение оплачивается поэтапно
в рассрочку для облегчения финансовой нагрузки.
Отзывы
Наши пациенты пишут
о нас
Дарья Кукушина27.12.2024
Загуглила сто клиник, выбрала то из-за нормальных цен. В итоге порадовало, что здесь реально современное оснащение и специалисты знают свое дело.
Матвей Денискин13.12.2024
Отличная стоматология, мне требовалась имплантация и протезирование, решил обратиться сюда и теперь всем могу рекомендовать.
Елена 29.11.2024
Та стоматология, которую давно надо было посетить. была у доктора Вадима Игоревича. жаль, что таких грамотных и деликатных врачей раньше не встречала!
Ульяна Бурунова08.11.2024
Попала на прием к Людмиле Александровне после долгих раздумий об имплантации. Очень переживала, что процесс будет болезненным.
Денис Горшинков18.10.2024
После консультации у Людмилы Александровны стало понятно, что имплантация - это не так страшно, как я себе представлял.
Нина Новикова27.09.2024
Имплантация - это всегда стресс, но здесь я чувствовала себя комфортно. Сначала сделали снимок на их оборудовании, потом рассказали, как все будет проходить.
Анна Костина05.09.2024
Клиника отличная, провели лечение качественно и спасли мои восьмёрки :) Проходила лечение у Чижиковой Марии Александровны, хороший специалист, рекомендую!
Марина М.15.08.2024
До прихода в эту клинику, посетила множество стомотологий. Вопрос был по поводу протезирования. Было множество консультаций имплантологов, ортопедов.
Мария 258023.07.2024
Замечательная клиника, с первых минут посещения вызывающая доверие и уважение к профессионализму всего персонала, подходу к лечению на высочайшем технологичном уровне, тактичному и невероятно приветливому обращению.
Mark Berg01.07.2024
Потрясающее отношение и профессионализм каждого из врачей. Все показывали и объясняли по графику лечения. Отдельно отмечу вежливость сотрудников, дизайн клиники и месторасположение. Огромная благодарность Роману Борисовичу и Марии Александровне ! Если стоматология в Калининграде - то только «Улыбайтесь чаще»!