Имплантация систем Osstem

Рациональный выбор экспертов

Главная цель современной имплантации — вернуть вам ощущение «своих» зубов. Это состояние полной свободы, когда вы наслаждаетесь любимой едой и открыто улыбаетесь, совершенно не вспоминая о проведенном лечении. Чтобы этот комфорт оставался с вами десятилетиями, мы доверяем проверенным технологиям Osstem®.

Мировой успех этой системы основан на исключительной предсказуемости. В ее основе лежат биосовместимые сплавы и выверенная геометрия, доказавшие свою стабильность на дистанции более 15 лет. Конструкция импланта спроектирована так, чтобы ваш организм принимал его как естественный корень, а процесс интеграции шел точно по намеченному графику.

В результате вы получаете надежность премиального уровня по рациональной цене. А яблоки снова можно откусывать с любой стороны, не задумываясь о нагрузке.

Osstem — технологии уверенного прогноза

Мы восстанавливаем функцию зубов так, чтобы со временем вы забыли, какой именно зуб был искусственным. В работе с Osstem нам важна фундаментальная база: система соответствует строгим международным стандартам AIC. Это гарантирует точность на каждом этапе — от установки до финальной эстетики. Мы подбираем протокол под вашу ситуацию, возвращая привычное качество жизни без компромиссов.

Мастерство в сложных клинических случаях

Мы действуем в парадигме максимальной безопасности. Даже выраженный дефицит костной ткани — это решаемый вызов. На основе данных 3D-диагностики мы предложим оптимальный путь: от использования специализированных линеек MS до малоинвазивных методик костной пластики. Честный план и прогнозируемый результат — наше неизменное правило.

Это ваше решение, если:

  • Хотите восстановить зубы, сохранив соседние здоровые ткани нетронутыми.
  • Съемный протез вызывает физический дискомфорт или чувство неуверенности.
  • Требуется полная реабилитация челюсти по проверенным протоколам All-on-4 или All-on-6.
  • Важна репутация бренда из ТОП-5 мировых производителей.
  • Ищете надежное решение с оптимальным бюджетом.

Протокол лечения

Мы не любим сюрпризов. Поэтому весь путь — от первой консультации до фиксации коронки — разбит на понятные этапы. Каждый из них приближает вас к главному: естественной улыбке, которая не напоминает о себе каждый день. Смотрите, как это устроено.

  1. 1. Диагностика и трёхмерное планирование. Основа всего — детальная компьютерная томография. На её базе создаётся цифровой двойник вашей челюсти. Врач виртуально позиционирует имплант с точностью до долей миллиметра. Вы увидите этот план до начала каких-либо манипуляций.

  2. 2. Хирургический этап: точность и атравматичность. Всё проходит под действием современной анестезии — болевые ощущения исключены. С помощью хирургического шаблона врач через минимальный доступ устанавливает титановый корень. Длительность процедуры — от 20 до 60 минут на одну позицию.

  3. 3. Фаза остеоинтеграции: период разумного ожидания. Имплант проходит процесс сращения с костью (в среднем 2–4 месяца). Вы ведёте привычный образ жизни, следуя простым рекомендациям. Мы остаёмся на связи для контроля процесса.

  4. 4. Ортопедический этап: финальный штрих — безупречная эстетика. После подтверждения успешной интеграции врач-ортопед фиксирует коронку. Мы используем CAD/CAM-абатменты, потому что они помогают десне выглядеть естественно и снижают риски воспаления. Коронка изготавливается индивидуально и становится неотличимой частью вашей улыбки.

Пять граней осознанного выбора

1. Долговечность с измеримым результатом
  • Ваша цель — решение на десятилетия. И это не маркетинговое обещание: семилетнее клиническое исследование подтверждает 95,37% успеха систем Osstem на дальней дистанции. Это уровень, который дает реальное ощущение опоры — имплант работает как естественный корень, и вы забываете о его существовании.

    Дополнительная уверенность — пожизненная гарантия производителя на все компоненты системы. Титановый корень рассчитан на десятилетия. Коронка служит 10–15 лет и более, и её всегда можно заменить, не затрагивая сам имплант.

2. Поверхность SA: биологическая интеграция
  • Микротекстура поверхности SA, созданная пескоструйной обработкой и кислотным травлением, формирует идеальную среду для сращения титана с костью. Для вас это означает сокращение сроков лечения и предсказуемое приживление.

3. Инженерная профилактика осложнений
  • Дизайн импланта и хирургические протоколы Osstem направлены на сохранение стабильности кости и десны. Мы следуем принципу: лучший способ решить проблему — исключить факторы риска еще на этапе планирования.

4. Эстетика и функциональная точность
  • Использование оригинальных компонентов и индивидуальных абатментов CAD/CAM позволяет нам воссоздать естественный контур десны. Способ фиксации коронки подбирается персонально под ваш прикус, исключая риск перегрузки конструкции.

5. Рациональная ценность и гибкость решений
  • Osstem — выбор для тех, кто ценит суть технологий, а не имиджевые надбавки. Система предлагает надежность, сопоставимую с премиум-сегментом, оставаясь взвешенной инвестицией в качество жизни.

    Широкий модельный ряд позволяет подобрать решение для любой анатомии — от одиночных реставраций до работы в условиях дефицита костной ткани, зачастую без проведения сложных дополнительных операций.

Стоимость имплантации

Окончательный расчет лечения проводит врач-имплантолог совместно со стоматологом-ортопедом после детального обследования. У нас предусмотрены специальные условия оплаты: мы не работаем по предоплате, каждый этап оплачивается после полного выполнения всех процедур. Чтобы лечение было более доступным, предусмотрены скидки для военнослужащих, медицинских работников или учителей.

  • Установка имплантата Osstem инфильтрационная/проводниковая анестезия, операция по установке имплантата, шовный материал, стерильный набор 32000 ₽
  • Первичный приём ортопеда 1000 ₽
  • Пластика десны инфильтрационная/проводниковая анестезия, забор костного аутотрансплантанта, шовный материал, стерильный набор 12000 ₽
  • Компьютерная томография двух челюстей с захватом всего ВНЧС 2500 ₽

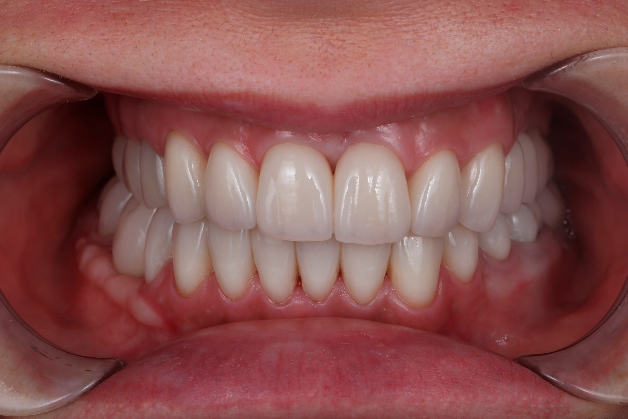
Результаты лечения

Реальные клинические случаи: от точной диагностики до безупречной улыбки

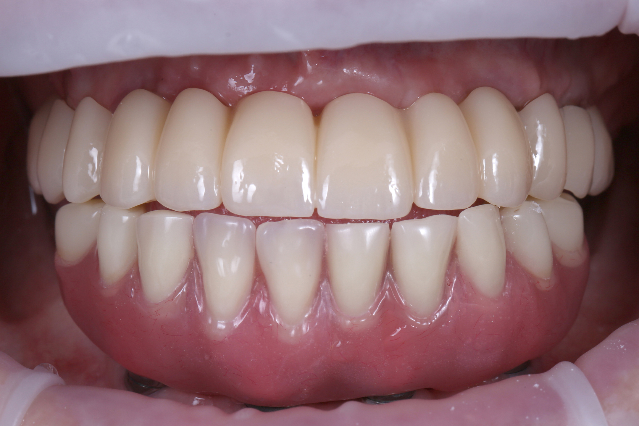
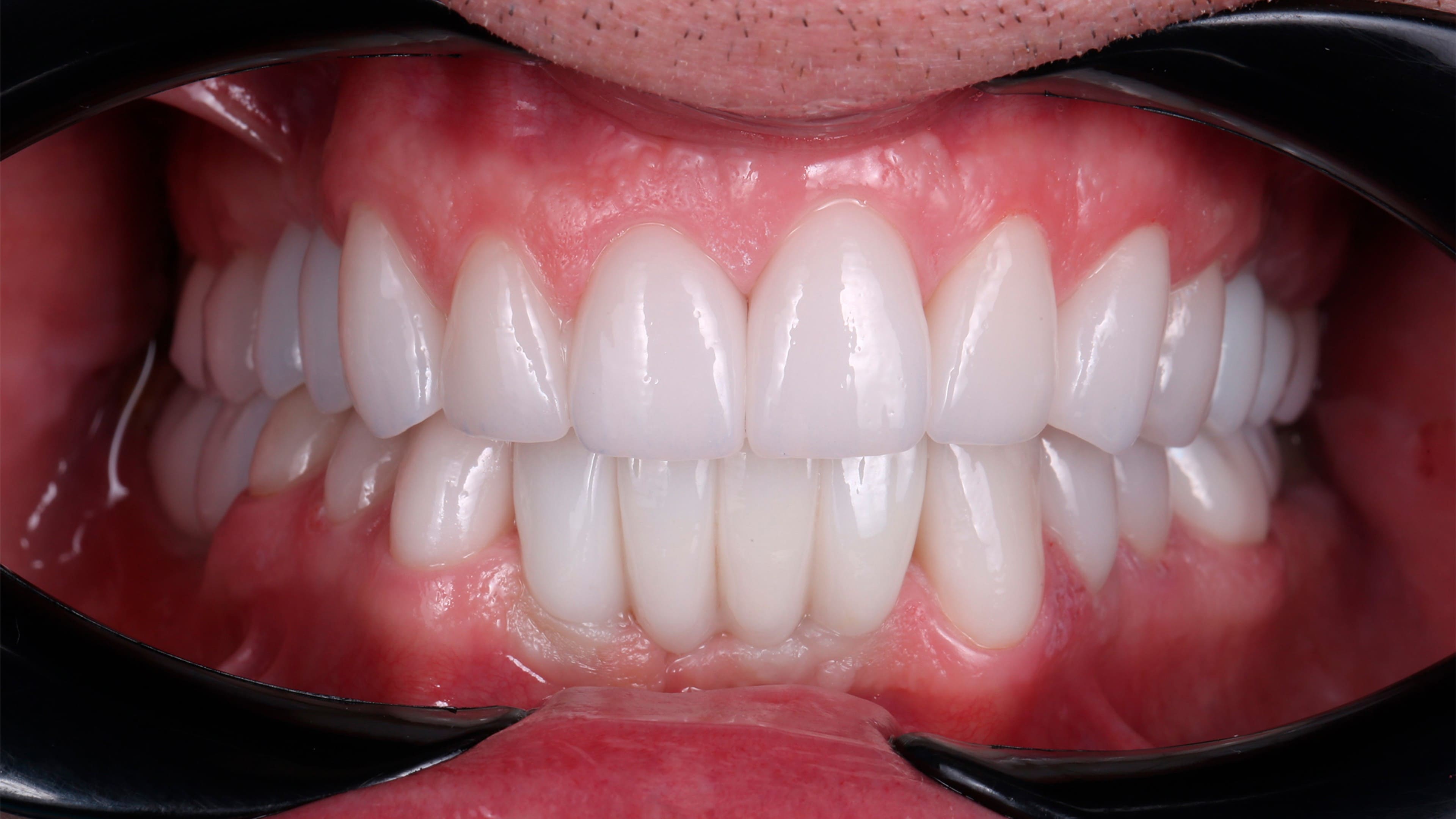
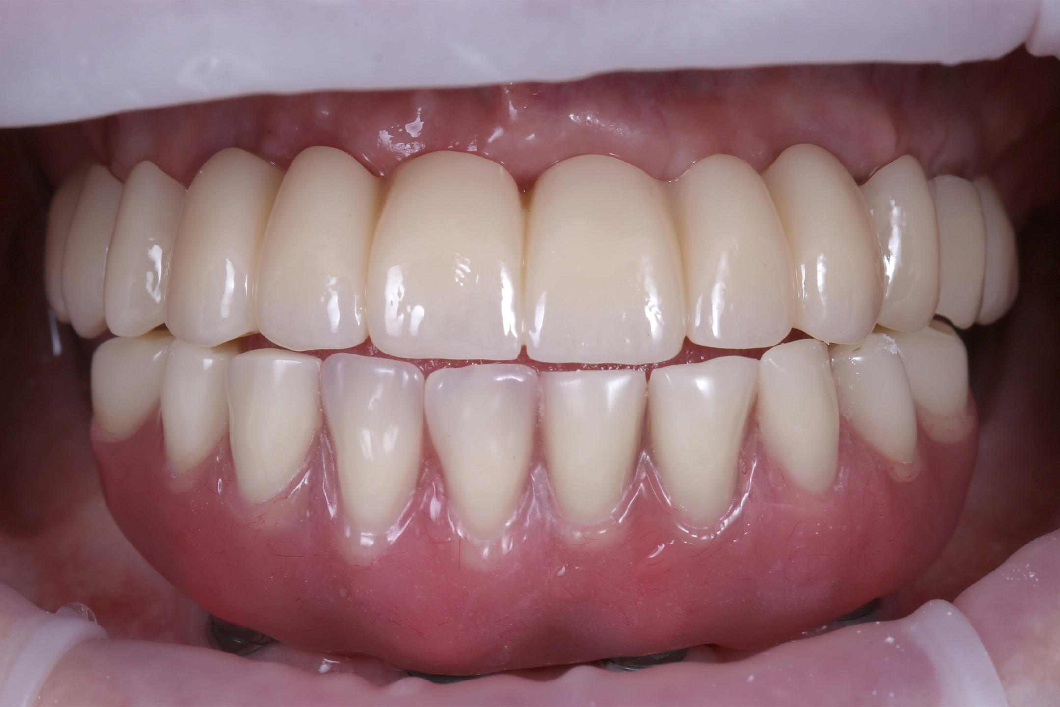
Имплантация ALL ON 4

Проблема

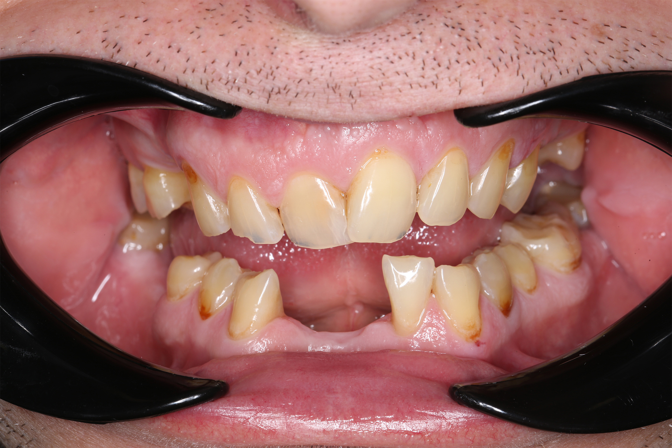
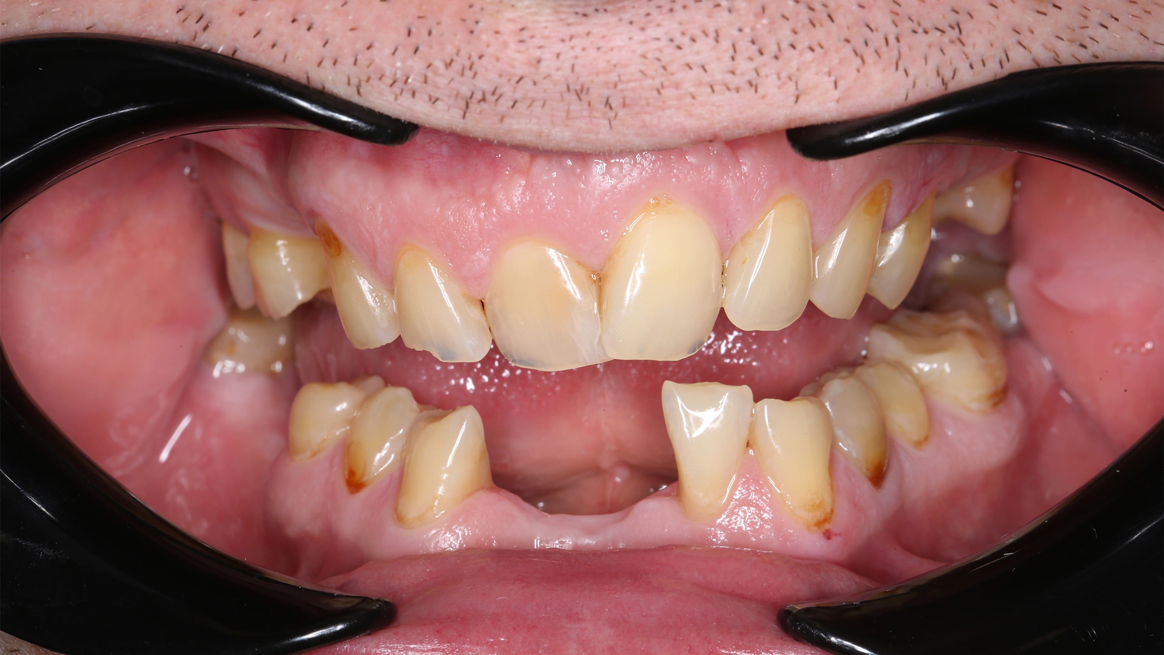
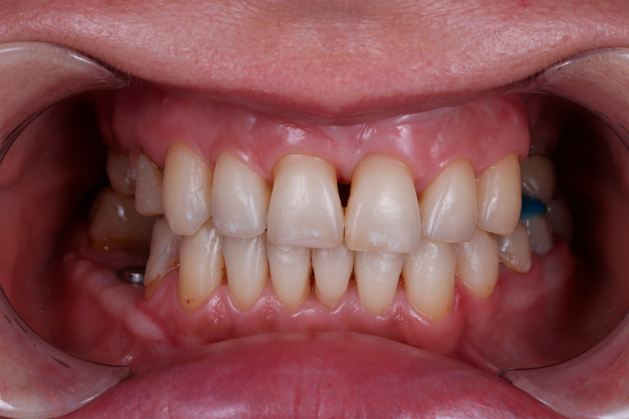
К нам обратилась пациентка с множеством отсутствующих зубов на двух челюстях, остатками корней и сильно разрушенных зубов в переднем отделе. По этическим соображениям и просьбе пациентки фото ДО мы не размещаем.

Жалобы

Снижение общего качества жизни, невозможность приема многих видов пищи, общая неудовлетворительная эстетика улыбки.

Проделанная работа
  • Нашей командой была выполнена имплантация ALL ON 4.
  • Проведено удаление корней разрушенных зубов, установлено 6 имплантов с немедленной нагрузкой на них конструкции из временных фрезерованных коронок.
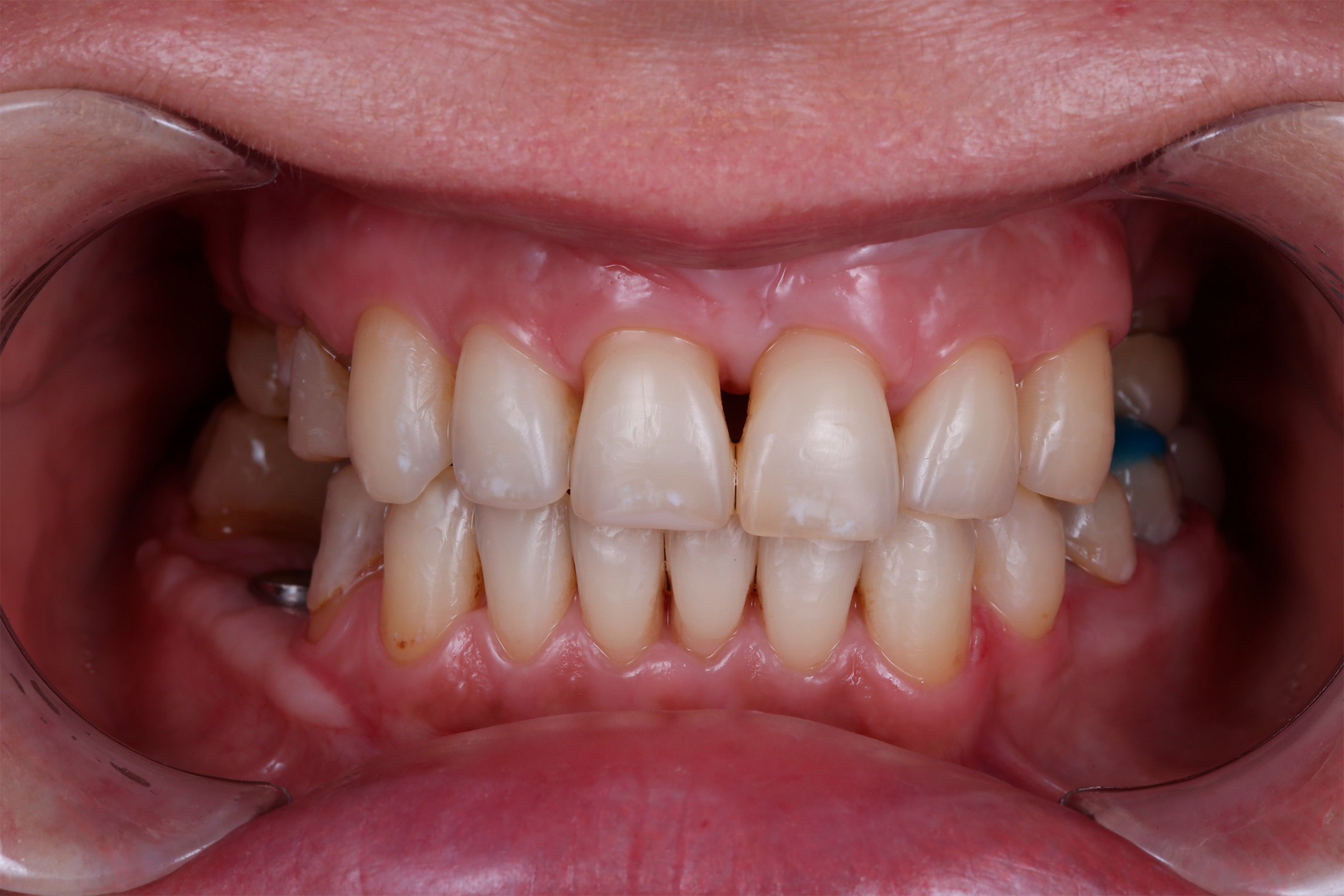
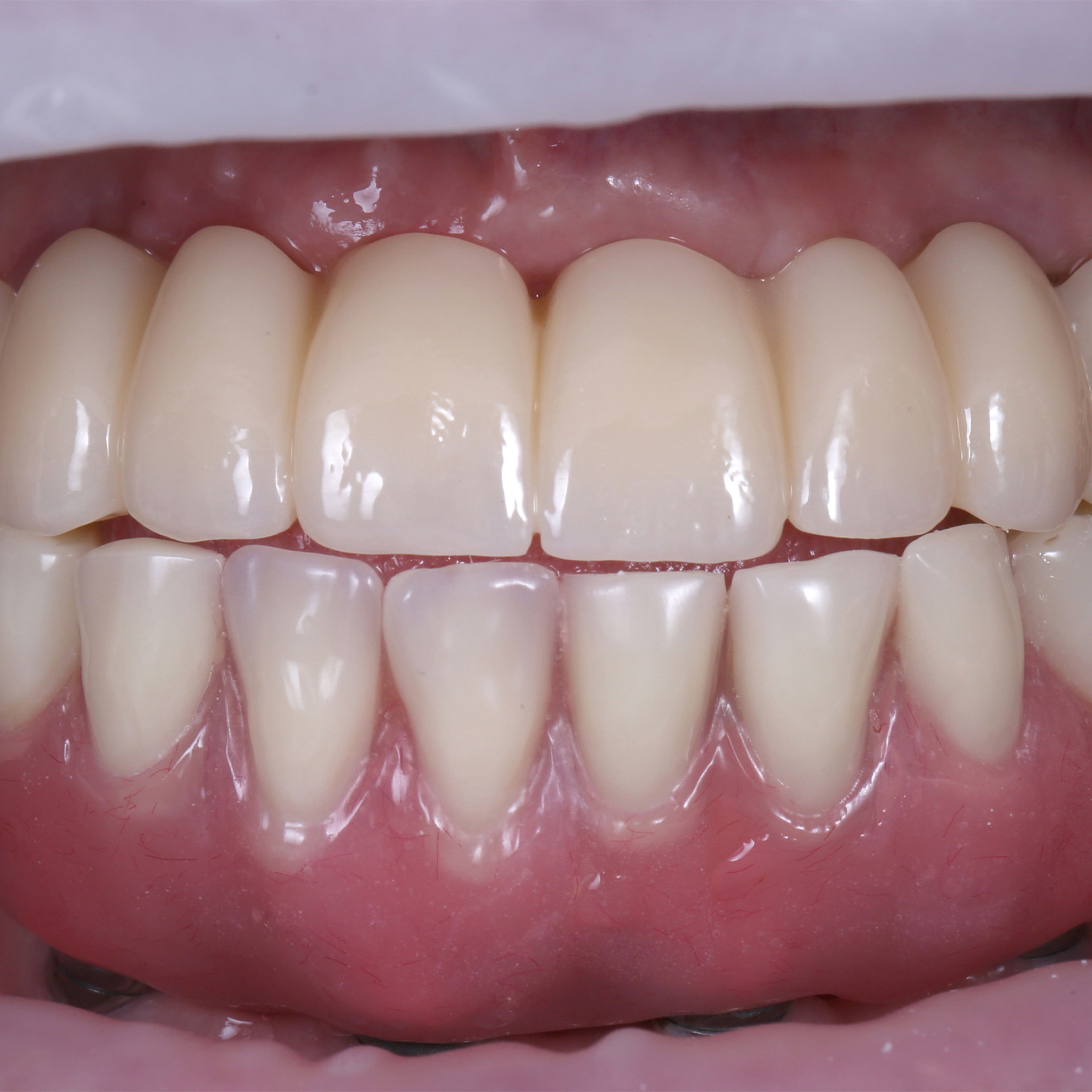
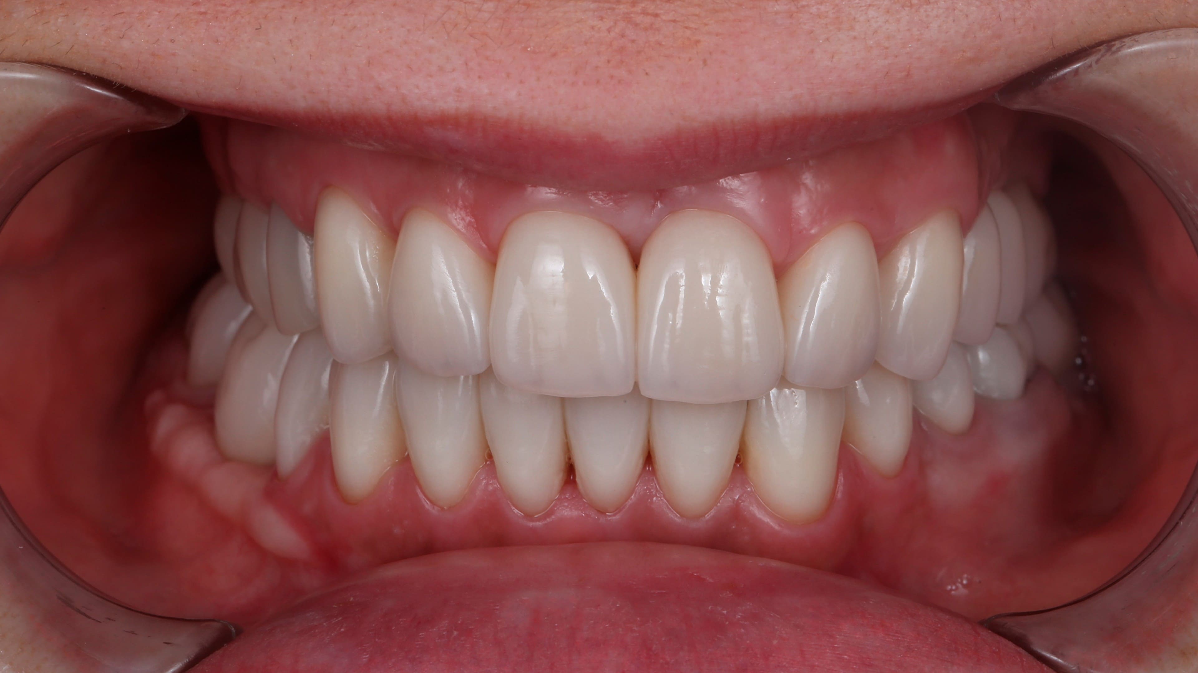
  • Через 6 месяцев проведена замена временных коронок на постоянную циркониевую конструкцию из 12 единиц.
Результат работы

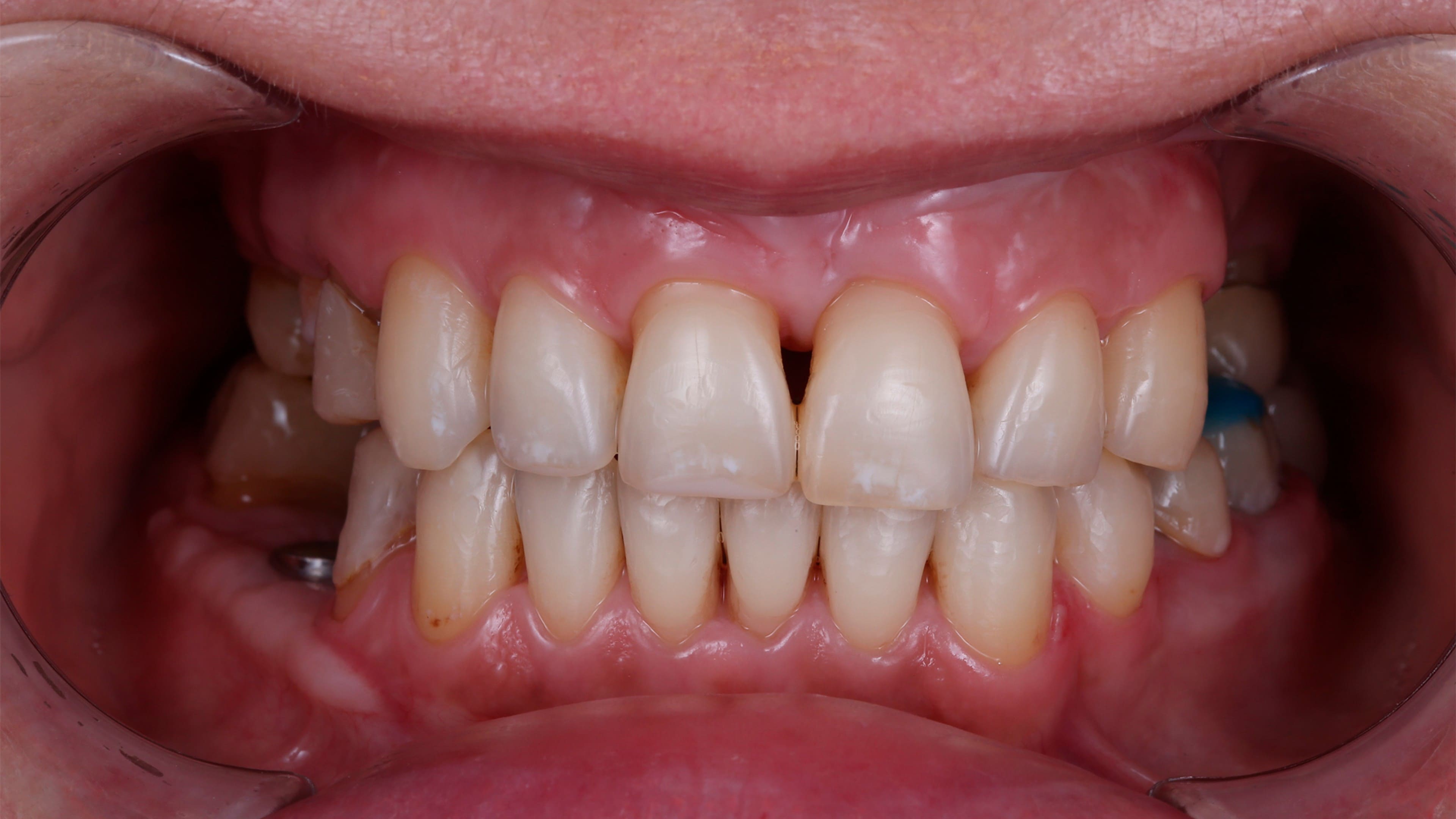
Пациентка уверенно широко улыбается, может комфортно разговаривать, не придерживается «мягкой диеты» и употребляет любую пищу.

Сопутствующие процедуры
  • Первичный прием стоматолога ортопеда
  • Снимок КТ
  • Интраоральное сканирование
  • Моделирование навигационного хирургического шаблона
  • Установка имплантов INNO
  • Установка мультиюнитов
  • Интраоральное сканирование на имплантах
  • Изготовление конструкции на литой балке
  • Установка временных коронок
  • Установка постоянных коронок
Специалисты
  • Стоматолог ортопед
  • Стоматолог хирург-имплантолог
  • Ассистент стоматолога
  • Зубной техник
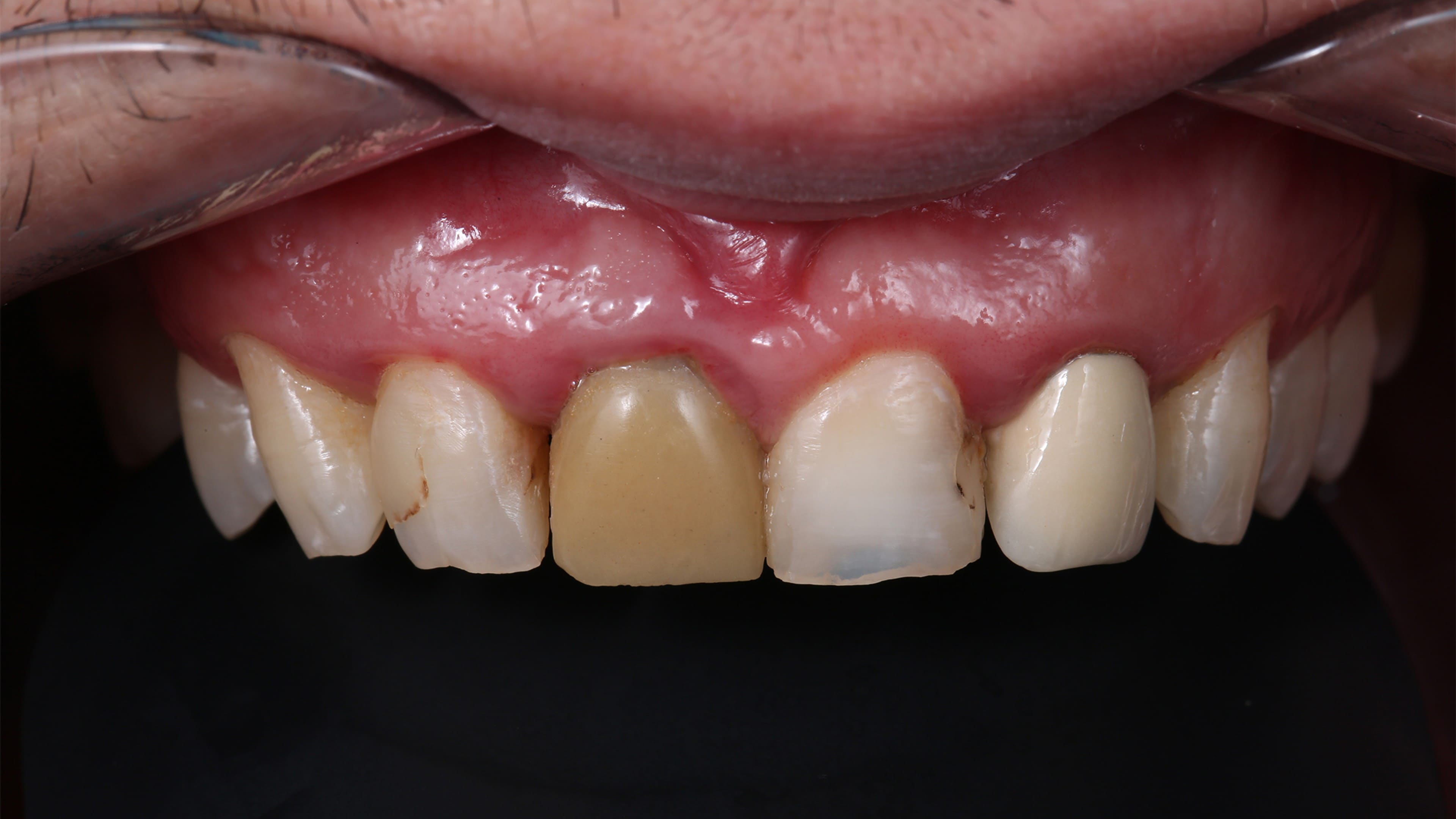
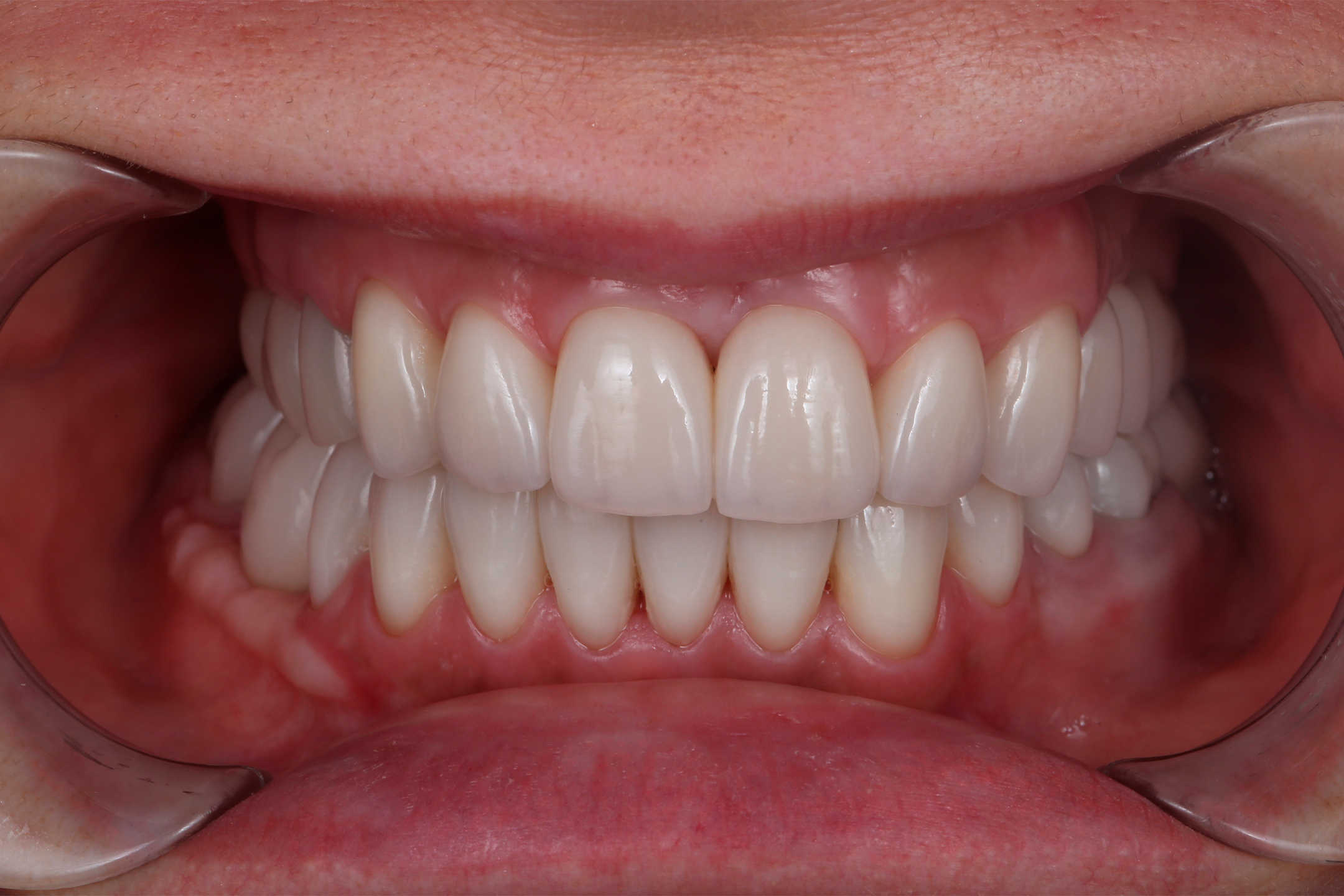
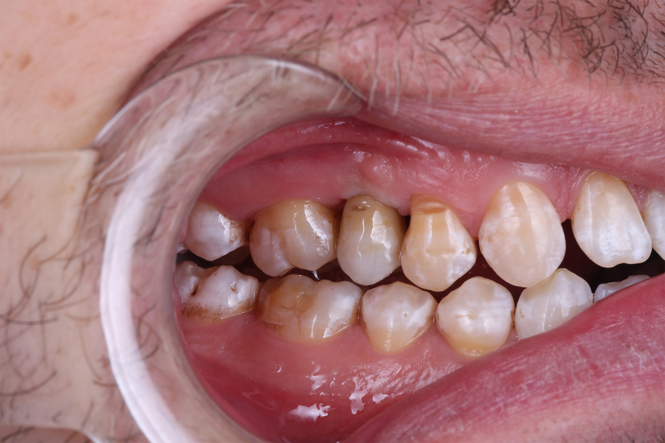
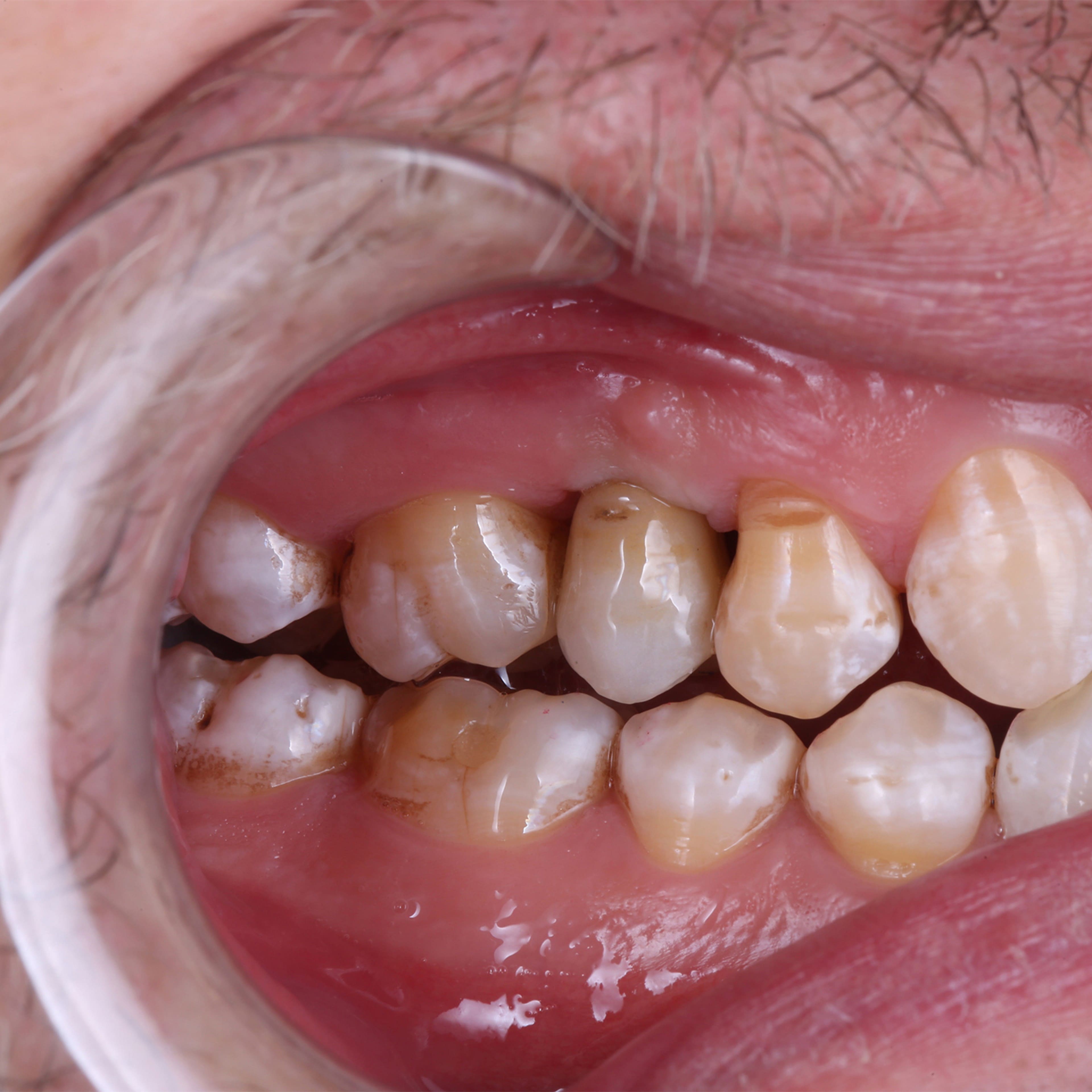
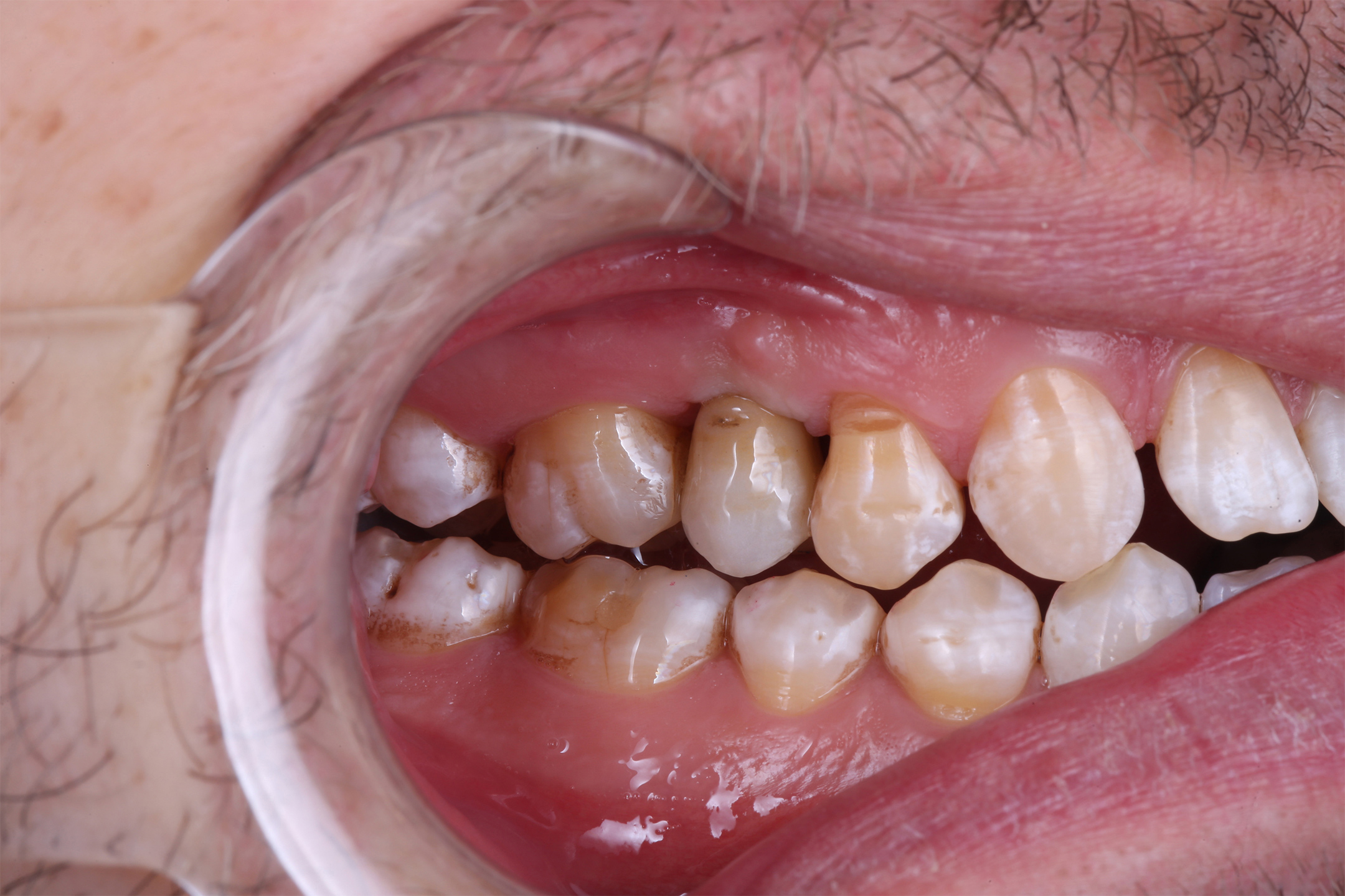
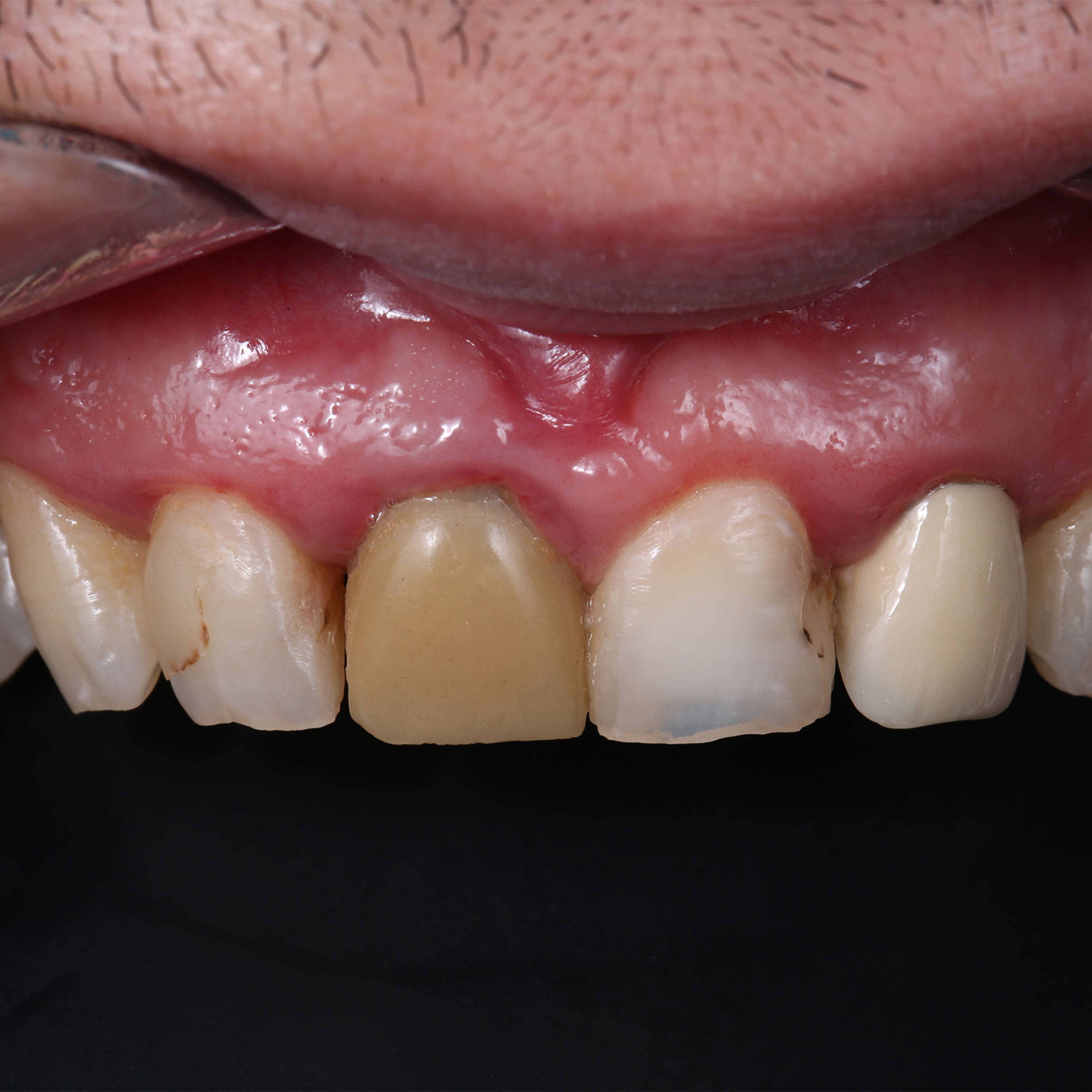
Зуб на верхней челюсти был разрушен и удален около 4 лет назад, за это время нижний зуб, напротив утраченного, начал выдвигаться вверх
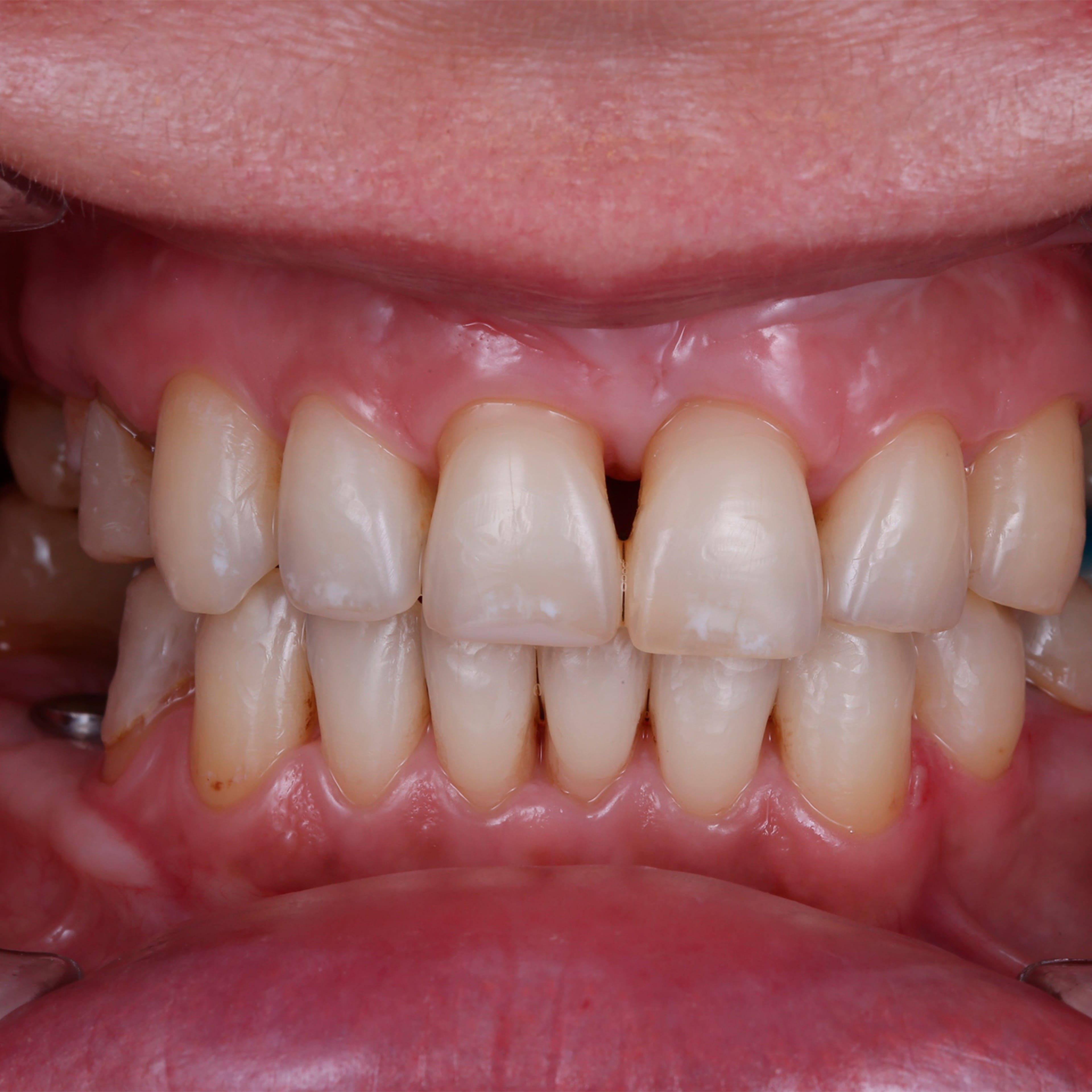
Проведена имплантация, а затем через 3 месяца установлена постоянная циркониевая коронка.
Результат работы по установке имплантов all an 4.

Ваша команда экспертов

Врачи, чье мастерство и опыт позволяют реализовывать все возможности систем Osstem

Использование индивидуальных CAD/CAM-абатментов и коронок — это завершающий штрих к надёжному фундаменту импланта, который гарантирует здоровье десны и абсолютную естественность улыбки.

Когда протезирование проведено по всем правилам, к человеку возвращается уверенность — он не задумывается о конструкции. Мы опираемся на принципы, утверждённые мировыми консенсусами, где выбор метода всегда ориентирован на ожидания пациента.

Наша задача ��� используя малотравматичные методики и опираясь на данные о высокой выживаемости системы, добиться быстрого и комфортного заживления. Важно свести к минимуму манипуляции, чтобы сохранить стабильность тканей.

Частые вопросы

Что обычно спрашивают пациенты

Насколько болезненна процедура установки?
Отвечает Людмила Ткачук: «Вся хирургия проходит под контролем современной анестезии. Вы можете чувствовать лишь лёгкое давление. Благодаря малотравматичным протоколам послеоперационный дискомфорт, как правило, минимален и легко купируется.»
Какой реальный срок службы у всей конструкции?
Отвечает Роман Карасев: «По статистике через 7 лет 95,37% имплантов продолжают работать. Сам титановый корень рассчитан на десятилетия. Коронка служит в среднем 10–15 лет и более, после чего её можно заменить, не затрагивая имплант.»
Что надёжнее: винтовая или цементная фиксация коронки?
Отвечает Роман Карасев: «При аккуратном выполнении оба метода могут быть одинаково надёжными — это отражено в клинических рекомендациях. Мы выбираем способ фиксации под ваш прикус и конкретную ситуацию.»
Что делать, если объёма кости недостаточно?
Отвечает Людмила Ткачук: «Это стандартная клиническая задача. Благодаря широкому ассортименту систем Osstem мы часто находим решение, минимизирующее необходимость в сложной пластике. Окончательный план формируется после детального анализа 3D-снимка.»

Ваш первый шаг

Начните с честного экспертного диалога

Мы рассматриваем имплантацию как стратегическую инвестицию в ваше здоровье. Стоимость лечения в нашей клинике прозрачна и формируется индивидуально, исходя из выбранной архитектуры Osstem (серии TS, SS или специализированные решения MS).

Для вашего спокойствия мы фиксируем все финансовые условия в детальном плане до начала процедур, предлагая понятную систему поэтапной оплаты.

На первичной экспертной консультации:

  1. 01

    3D-диагностикa

    Проведём углублённую 3D-диагностику и анализ вашего случая

  2. 02

    Стратегия

    Объясним, какая из четырёх наших основных стратегий применима и почему.

  3. 03

    План действия

    Предоставим развёрнутый, пошаговый план с детальным расчётом.

  4. 04

    Ответим на вопросы

    Ответим на вопросы простым языком и честно расскажем, чего ожидать.

Консультация

Запишитесь на получение подробной информации

Получите 3D-образ своей улыбки и план по его воплощению.

  • Анализ лица, прикуса и состояния зубов.
  • 3D-визуализация будущей улыбки на компьютере.
  • Предварительный план лечения с вариантами.
  • Четкий финансовый расчет.

При записи с сайта — профессиональная гигиена перед началом лечения в подарок. Чтобы ваша новая улыбка сияла на идеально чистой основе.

Это возможность наконец-то увидеть свое идеальное отражение и принять взвешенное решение.

Допустима только кириллица
Допустимы только цифры
Допустима только кириллица