Когда свой зуб разрушен более чем на половину, необходимо установить
или, как принято говорить, покрыть его коронкой. Коронка на зуб – это
условный протез, сделанный по принципу колпачка или чехла. Обычно она
окружает зуб со всех сторон и повторяет его естественную анатомическую
форму.
Итак,
что же нужно знать о дентальной имплантации в
Калининграде, прежде чем на нее решиться?
Ставить пломбу в ситуации, когда разрушение 50% и более, мы не
рекомендуем по нескольким причинам. Композитная пломба не сможет
равномерно распределять нагрузку на зуб, композит по своим свойствам
значительно отличается от природной эмали зуба. Со временем это
приведет либо к сколу самой пломбы, либо к сколу оставшихся родных
стенок зуба. Если такой скол уйдет под десну, зуб придется удалять.
Лучший способ вернуть «молодость» лицу.
С возрастом наши зубы стираются, укорачиваются и истончаются. С
помощью керамических виниров мы может вернуть длину зубов в линии
улыбки и создать «каркас» для нижней трети лица, тем самым достичь
антиэйдж лифтинг эффекта.
Улучшение эстетики улыбки
Виниры могут скрыть потемневшие или неровные зубы, делая улыбку
более привлекательной.
Коррекция формы и размера зубов
Виниры могут изменить форму и размер зубов, улучшая их пропорции
и симметрию, обладают отличными оптическими свойствами,
максимально близкие к натуральным зубам.
Исправление мелких дефектов
Виниры могут использоваться для коррекции мелких дефектов зубов,
таких как сколы, трещины и промежутки (диастемы).
Изменение цвета зубов
Виниры могут изменить цвет зубов, делая их более белыми и
яркими.
Защита ослабленных зубов
Виниры могут служить защитным слоем для ослабленных или
поврежденных зубов, предотвращая дальнейшее разрушение.
Виниры
Это сравнительно безвредный и безопасный способ сделать внешний вид
зубов идеальным. Если нужно внести эстетические корректировки,
обрести «голливудскую улыбку», изменить цвет и форму
зубов, устранить небольшие дефекты в зоне улыбки, например, скрыть
щели между зубами, сколы, лучше отдать предпочтение винирам.
Мы также рекомендуем покрывать коронками депульпированные зубы. Из-за
потери кровоснабжения такие зубы становится более хрупким, их корни
может сломаться. Коронка укрепляет сохранившиеся ткани, снижает риск
переломов. Кроме того, она герметично закрывает пролеченные корневые
каналы и защищает их от проникновения микробов.
Чем коронки отличаются от виниров?
Как и коронки, виниры – это способ восстановить разрушенные
кариесом, травмой или другими причинами зубы. Коронка покрывает зуб
полностью со всех сторон, винир заменяет внешнюю переднюю
поверхность зуба. Выбор конкретной конструкции зависит от состояния
зубов, эстетических предпочтений, желаемого результата.
Как разобраться какие коронки или виниры нужны?
Керамические E-max, металлокерамические, циркониевые — различные
варианты материалов для протезирования зубов.
Металлокерамика
В основе такой коронки находится металлический каркас, на который
наносится слоями керамика. При ярком освещении металлокерамика
выделяется в зубном ряду сероватым оттенком, потому что металл не
пропускает свет внутрь зуба. Со временем металлокерамические
коронки могут окислять десну и «подкрашивать» ее в синий цвет.
Нельзя исключать в этом случае и риск развития аллергической
реакции у пациента;
Циркониевые
Диоксид циркония - это природный материал, который по прочности
близок к сплавам металлов. Но при этом диоксид циркония имеет
белый оттенок и обладает небольшой светопропускающей способностью.
Поэтому коронки из него получаются более привлекательными, чем
металлокерамические. Для большей схожести с натуральным зубом
циркониевые коронки, как правило, так же покрываются слоем
керамики для имитации эмали зуба. Дополнительные плюсы диоксида
циркония - он не вызывает аллергии и гальваноза.
Керамика E-max
Это
лучший вариант для протезирования передних зубов и изготовления
виниров. По способности пропускать свет, отражать естественные солнечные
блики керамика E-max практически не отличается от «живого» зуба и
природной эмали, поэтому выглядит максимально естественно. Даже
при ближайшем рассмотрении такую коронку невозможно отличить от
своих зубов. По прочности керамика E-max немного уступает металлам
и диоксиду циркония. Тем не менее, она хорошо справляется с
высокими жевательными нагрузками. Важно отметить, что E-max —
полностью гипоаллергенный материал.
Виниры нужно менять со временем?
Срок службы виниров и коронок во многом зависит от мастерства
стоматолога. Поэтому перед выбором врача стоит посмотреть портфолио
его прошлых работ. При тщательном уходе за полостью рта и регулярных
осмотрах у стоматолога, посещении профессиональной гигиенической
чистки, виниры и коронки могут простоять не один десяток лет.
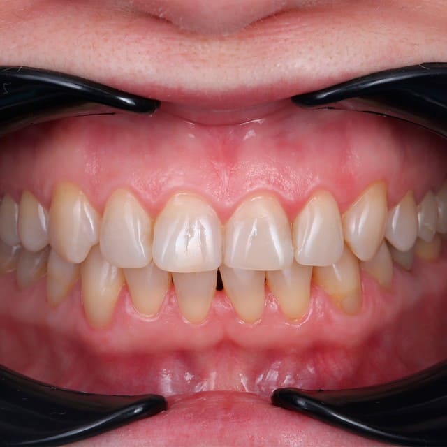
Процесс установки виниров
1
Диагностика и планирование
Установка виниров обычно требует нескольких посещений стоматолога.
Во время первого визита врач обсудит с пациентом пожелания и
проведет осмотр зубов, выполнит фотопротокол. Затем будут сняты
слепки зубов и проведено интраоральное сканирование, на основе
которых в зуботехнической лаборатории изготовят макет будущей
улыбки.
2
Примерка
Во время следующего посещения стоматолог подготовит зубы
к переносу макета в полость рта и Вы сможете увидеть, какой будет
Ваша новая улыбка, оценить форму, размер и цвет.
3
Подготовка и изготовление виниров
Следующим этапом доктор сформирует место для керамических виниров,
сошлифовывая поверхность зубов. После этого повторно снимают
слепки зубов для изготовления виниров в зуботехнической
лаборатории.
4
Установка временных виниров
Пока изготавливаются постоянные виниры, врач устанавливает
временные виниры, чтобы защитить Ваши зубы.
5
Установка постоянных виниров
Когда постоянные виниры готовы, стоматолог прикрепит их к вашим
зубам с помощью специального цемента, тщательно контролирует
идеальное прилегание керамических накладок к собственным зубам для
долговечности конструкции.
1Диагностика и планирование
Установка виниров обычно требует нескольких посещений
стоматолога. Во время первого визита врач обсудит с пациентом
пожелания и проведет осмотр зубов, выполнит фотопротокол. Затем
будут сняты слепки зубов и проведено интраоральное сканирование,
на основе которых в зуботехнической лаборатории изготовят макет
будущей улыбки.
2Примерка
Во время следующего посещения стоматолог подготовит зубы к
переносу макета в полость рта и Вы сможете увидеть, какой будет
Ваша новая улыбка, оценить форму, размер и цвет.
3Подготовка и изготовление виниров
Следующим этапом доктор сформирует место для керамических
виниров, сошлифовывая поверхность зубов. После этого повторно
снимают слепки зубов для изготовления виниров в зуботехнической
лаборатории.
4Установка временных виниров
Пока изготавливаются постоянные виниры, врач устанавливает
временные виниры, чтобы защитить Ваши зубы.
5Установка постоянных виниров
Когда постоянные виниры готовы, стоматолог прикрепит их к вашим
зубам с помощью специального цемента, тщательно контролирует
идеальное прилегание керамических накладок к собственным зубам
для долговечности конструкции.
Услуги и цены
Мы оказываем
полный спектр услуг по имплантированию
Виниры
Цена
Первичный приём ортопеда
1000₽
Восстановление зуба виниром, вкладкой, накладкой, коронкой Emax в полную анатомию (эстетическая работа, лаборатория города Москва/Санкт-Петербург/Ростов-на-Дону)
51000₽
Восстановление зуба коронкой металлокерамика (обезболивание, подготовка зуба под установку коронки, снятие оттиска слепочной массой, изготовление коронки металлокерамической, фиксация в полости рта)
25000₽
Восстановление зуба коронкой диоксид циркония (обезболивание, подготовка зуба под установку коронки, снятие оттиска слепочной массой или компьютерное интраоральное сканирование, изготовление коронки из диоксида циркония, фиксация в полости рта)
36000₽
Восстановление фронтального зуба виниром, вкладкой, накладкой, коронкой Emax (эстетическая работа, лаборатория города Москва/Санкт-Петербург/Ростов-на-Дону)
76000₽
Восстановление зуба виниром, эстетической коронкой Emax (обезболивание, подготовка зуба под установку коронки, снятие оттиска слепочной массой или компьютерное интраоральное сканирование, изготовление коронки из премиум материала Emax, фиксация в полости рта)
36000₽
Компьютерная томография (двух челюстей)
2000₽
Восстановление зуба коронкой временной прямым методом (обезболивание, копирование формы зубного ряда методом "силиконовый ключ", подготовка зуба под установку коронки, изготовление коронки в момент приема, фиксация в полости рта)
4000₽
Восстановление зуба коронкой временной композитной фрезерованной лабораторным методом PMMA (обезболивание, подготовка зуба под установку коронки, снятие оттиска слепочной массой или компьютерное интраоральное сканирование, изготовление коронки, фиксация в полости рта)
8000₽
Расширенная консультация главного врача с составлением полного комплексного плана лечения
3500₽
Коронка на имплантате (обезболивание, подготовка зуба под установку коронки, снятие оттиска слепочной массой или компьютерное интраоральное сканирование, изготовление коронки из диоксида циркония на титановом основании, винтовая фиксация в полости рта)
42000₽
Коронка на импланте Emax (обезболивание, подготовка зуба под установку коронки, снятие оттиска слепочной массой или компьютерное интраоральное сканирование, изготовление коронки из премиум материала Emax, фиксация в полости рта)
39000₽
Протезирование сложных случаев с применением мультиюнита (прямой/угловой) на имплантатах
13000₽
Кейсы
Результат работы наших специалистов
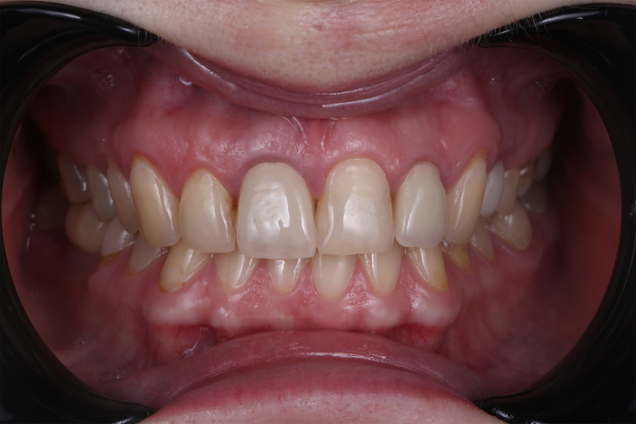
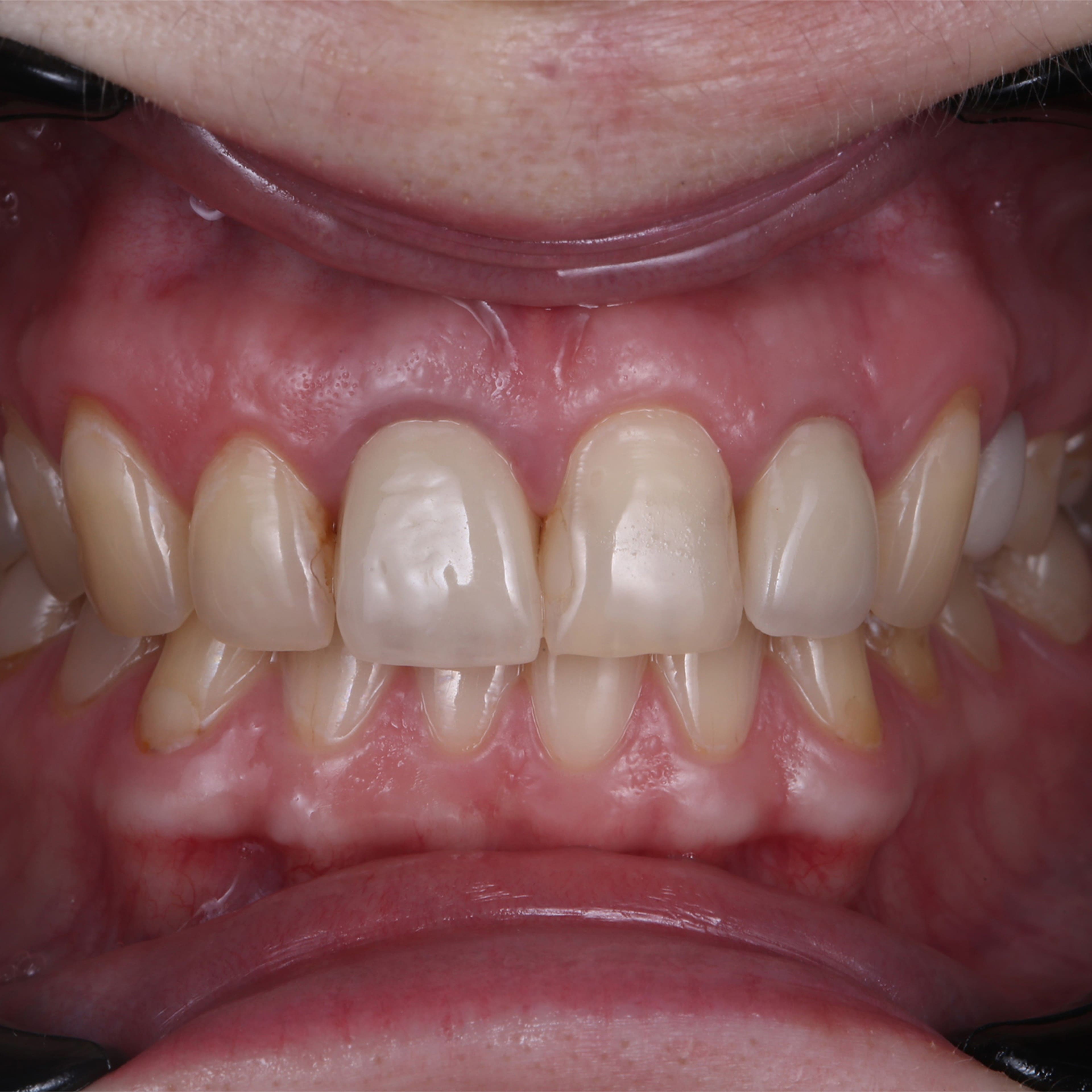
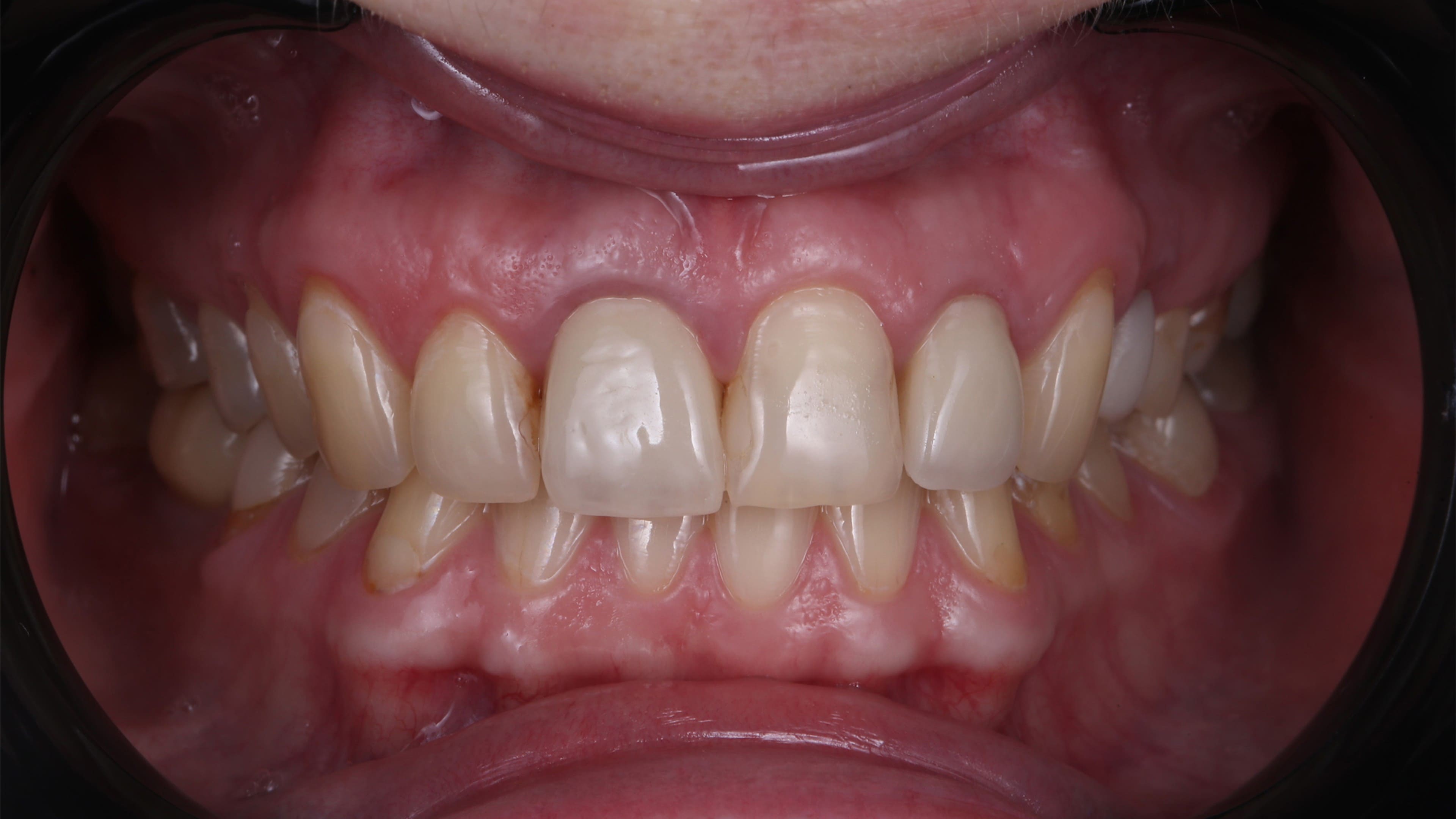
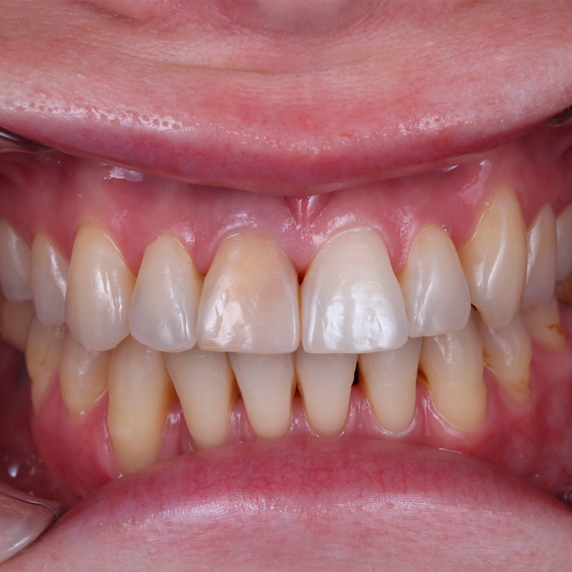
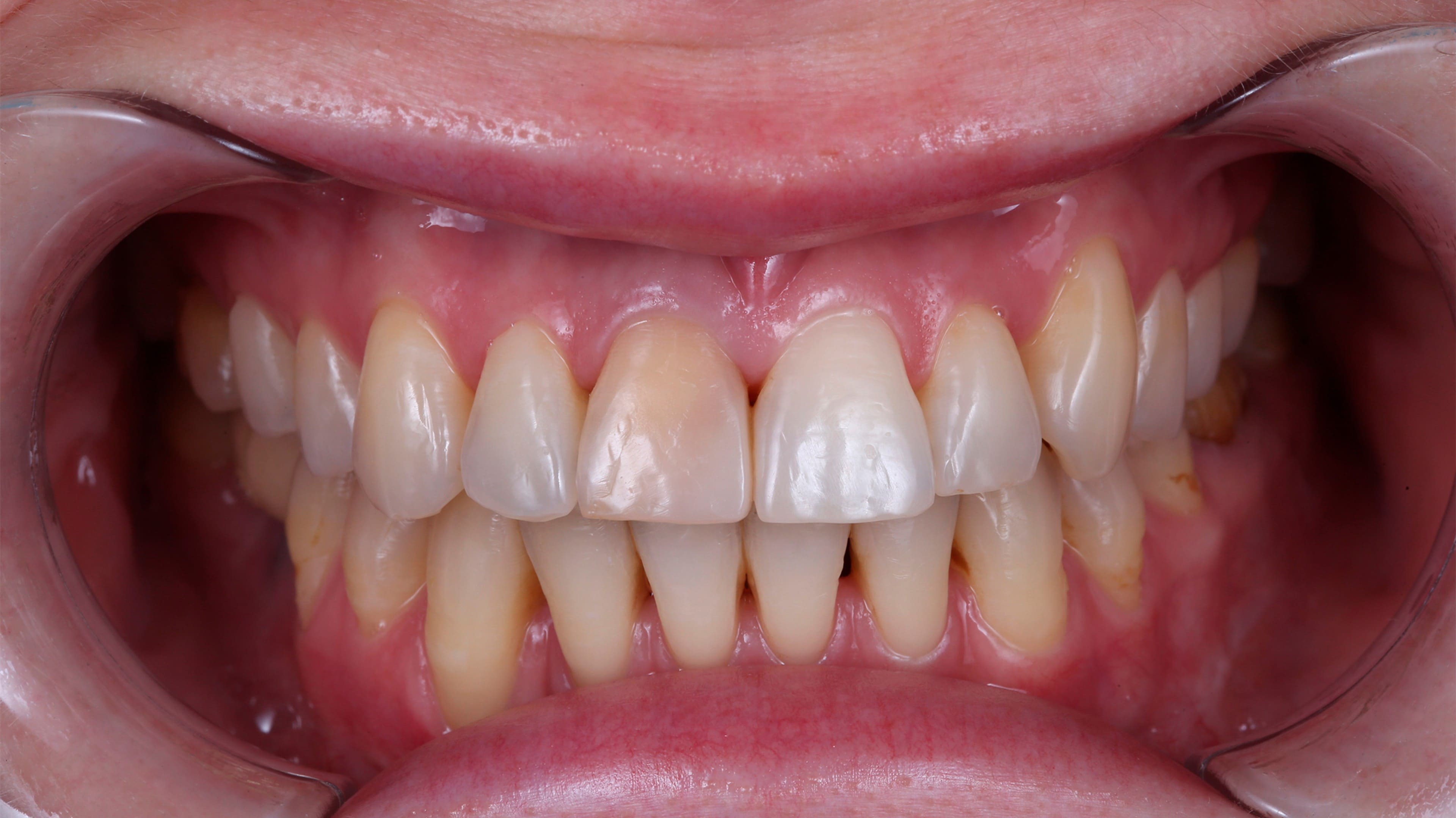
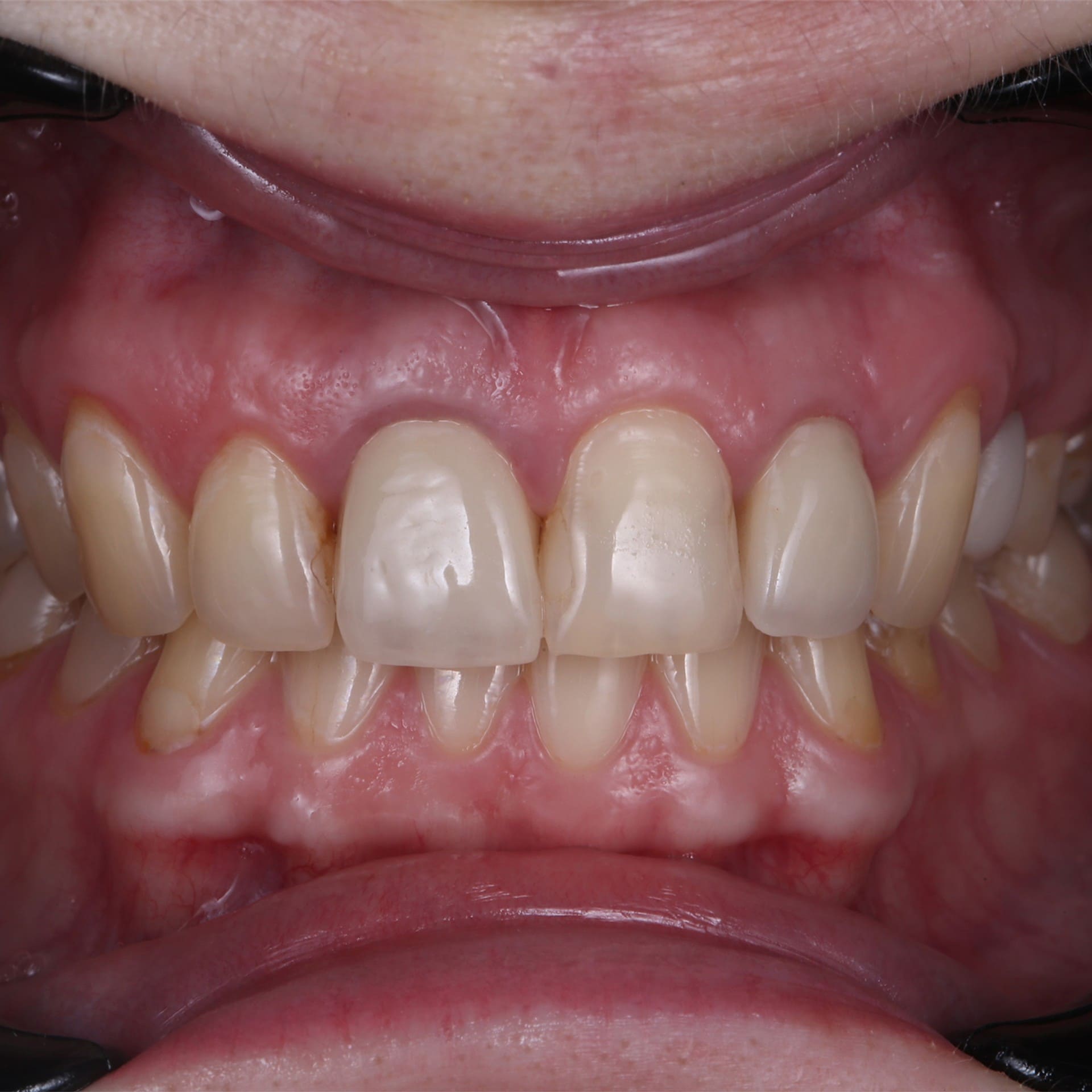
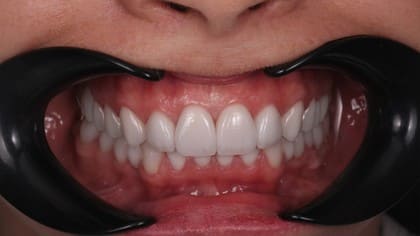
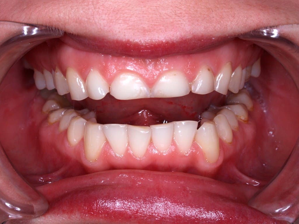
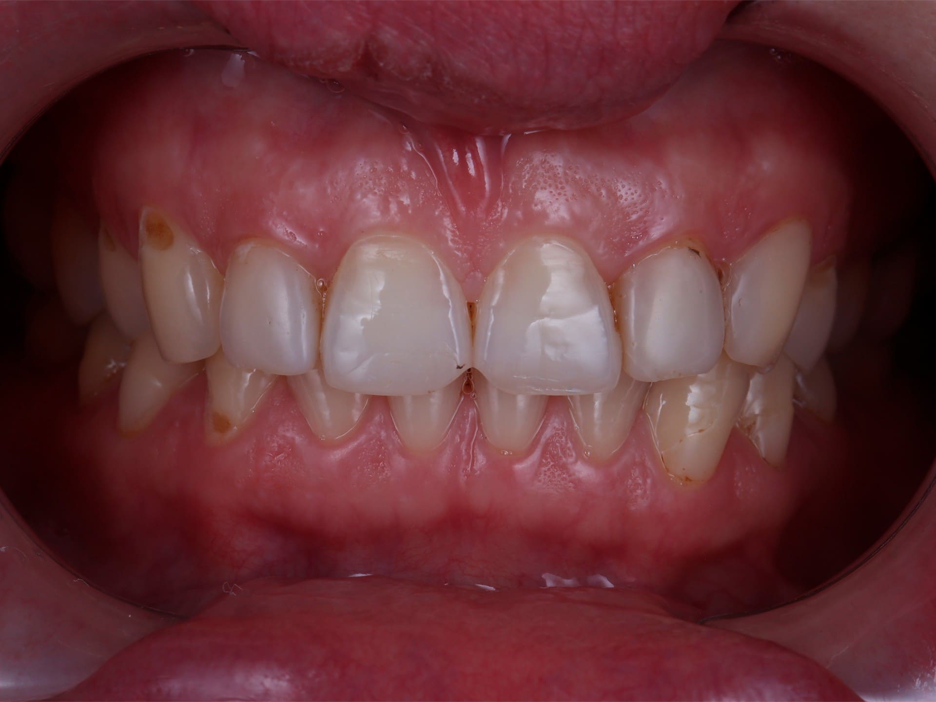
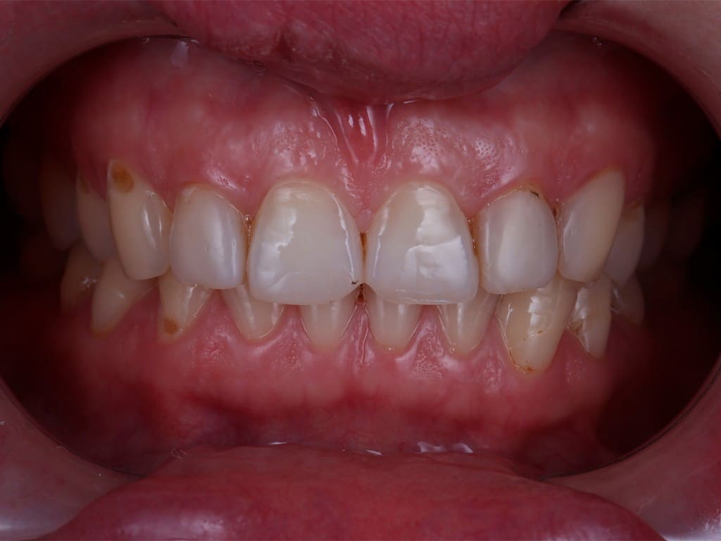
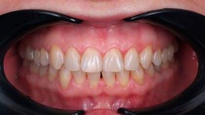
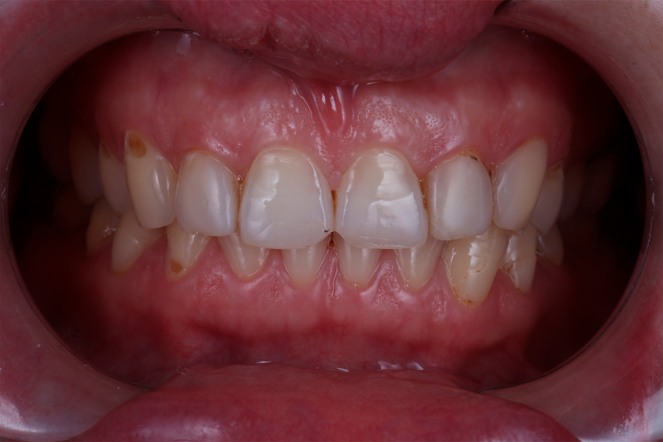
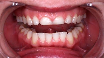
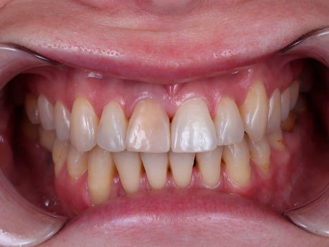
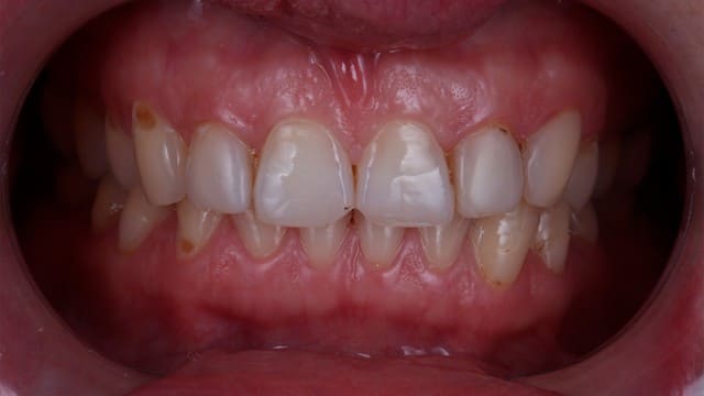
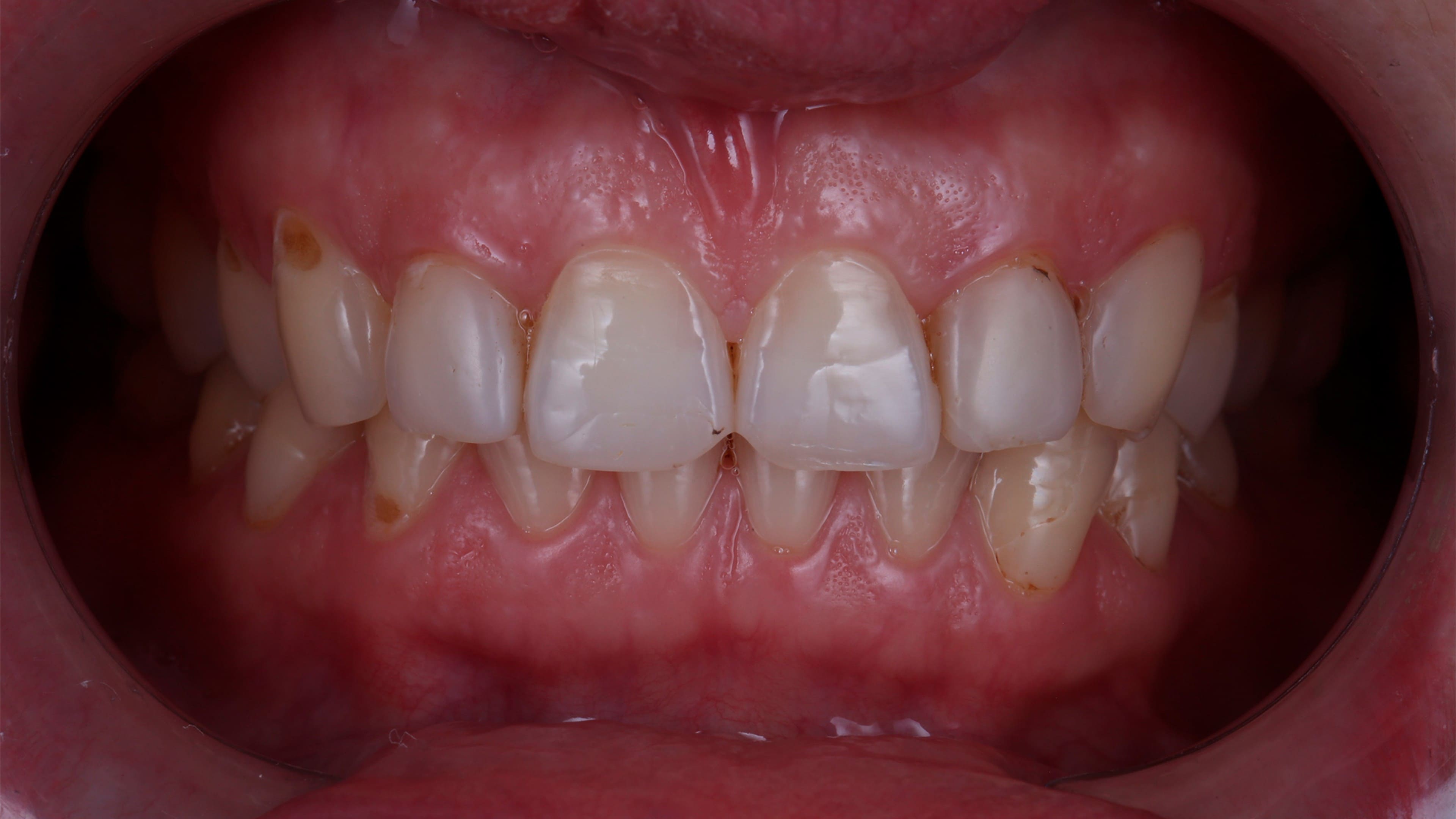
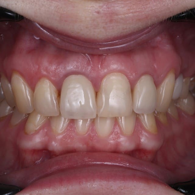
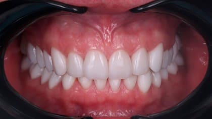
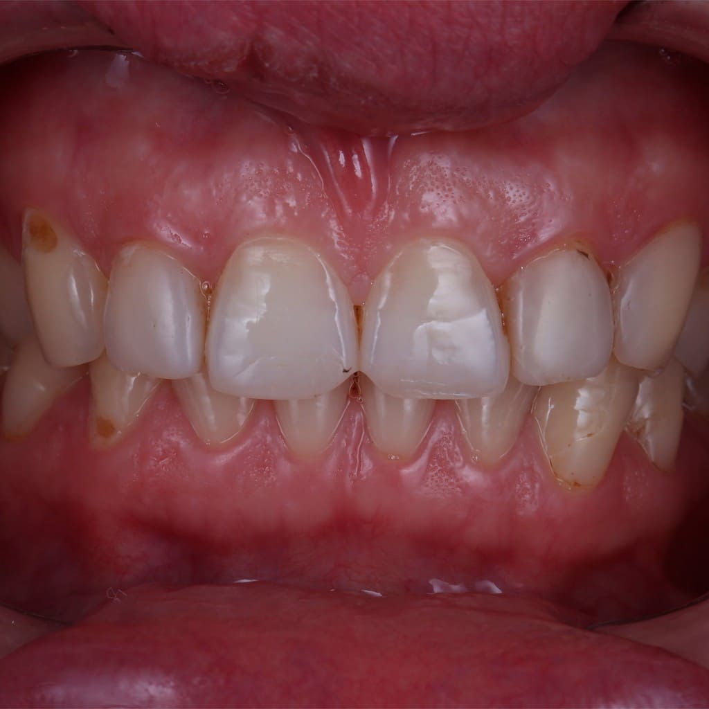
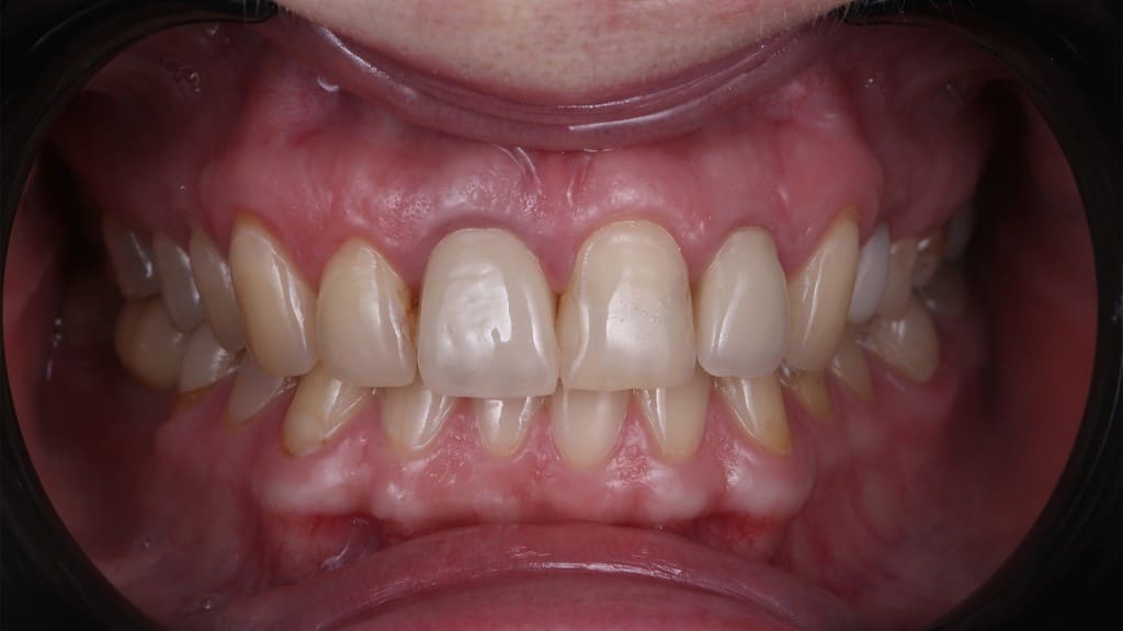
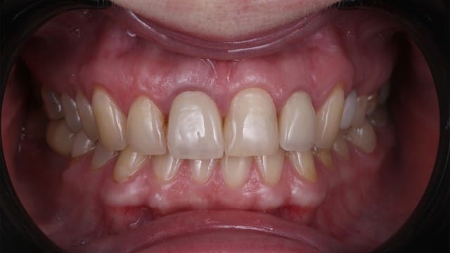
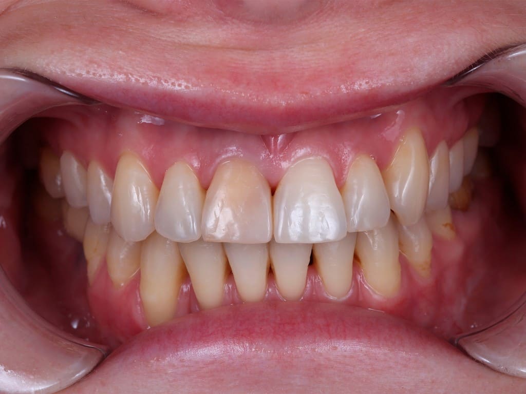
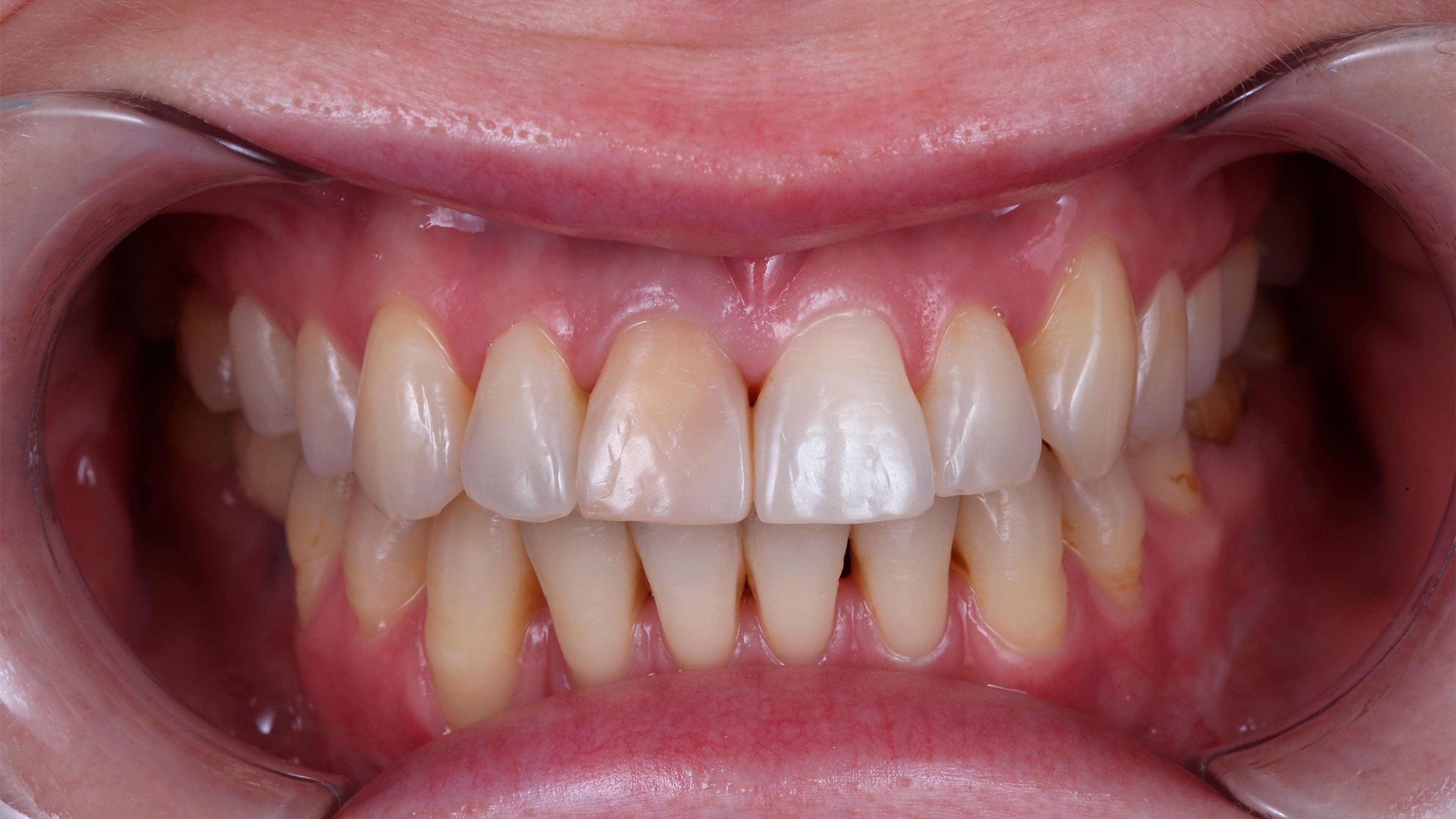
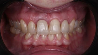
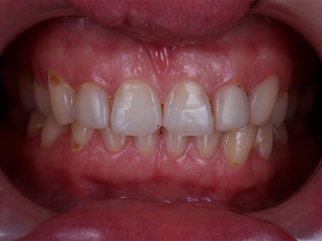
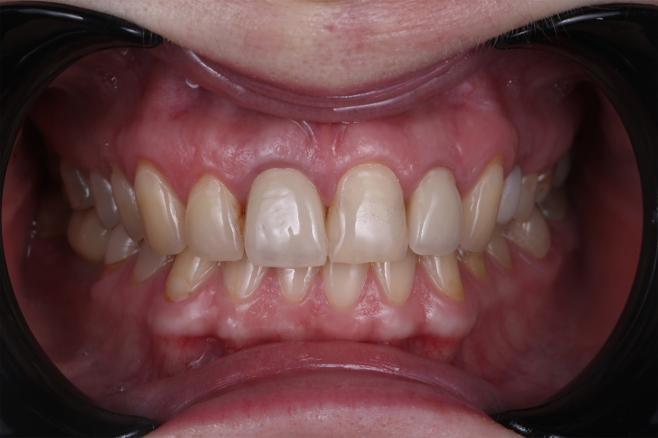
К нам обратилась пациентка с желанием обрести красивую гармоничную улыбку. После ортодонтического лечения в другой клинике осталось неудобное смыкание зубов, на передних зубах присутствовали пломбы разных оттенков, что вносило дисколорит.
Жалобы
Затруднение жевания, общая неудовлетворительная эстетика улыбки.
Проделанная работа
После осмотра и анализа снимка КТ пациентке составлен полноценный план лечения. Стоматолог терапевт провела лечение кариозных зубов и зубов с воспалением нерва. Стоматолог ортопед при помощи лицевой дуги спланировал гармоничное расположение передних зубов. Установлены 13 керамических виниров и коронок E.max на верхнюю челюсть.
Результат работы
Пациентка обрела улыбку мечты, стала увереннее в себе.
Сопутствующие процедуры:
Первичный прием стоматолога ортопеда
Снимок КТ
Прием стоматолога хирурга
Лечение кариеса и пульпита
Лицевая дуга
Моделирование Wax-up и Mock-up
Препарирование зубов
Установка временных коронок
Установка постоянных виниров и коронок
Необходимые специалисты:
Стоматолог ортопед
Стоматолог хирург
Зубной техник
Ассистент стоматолога
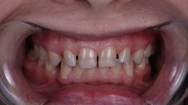
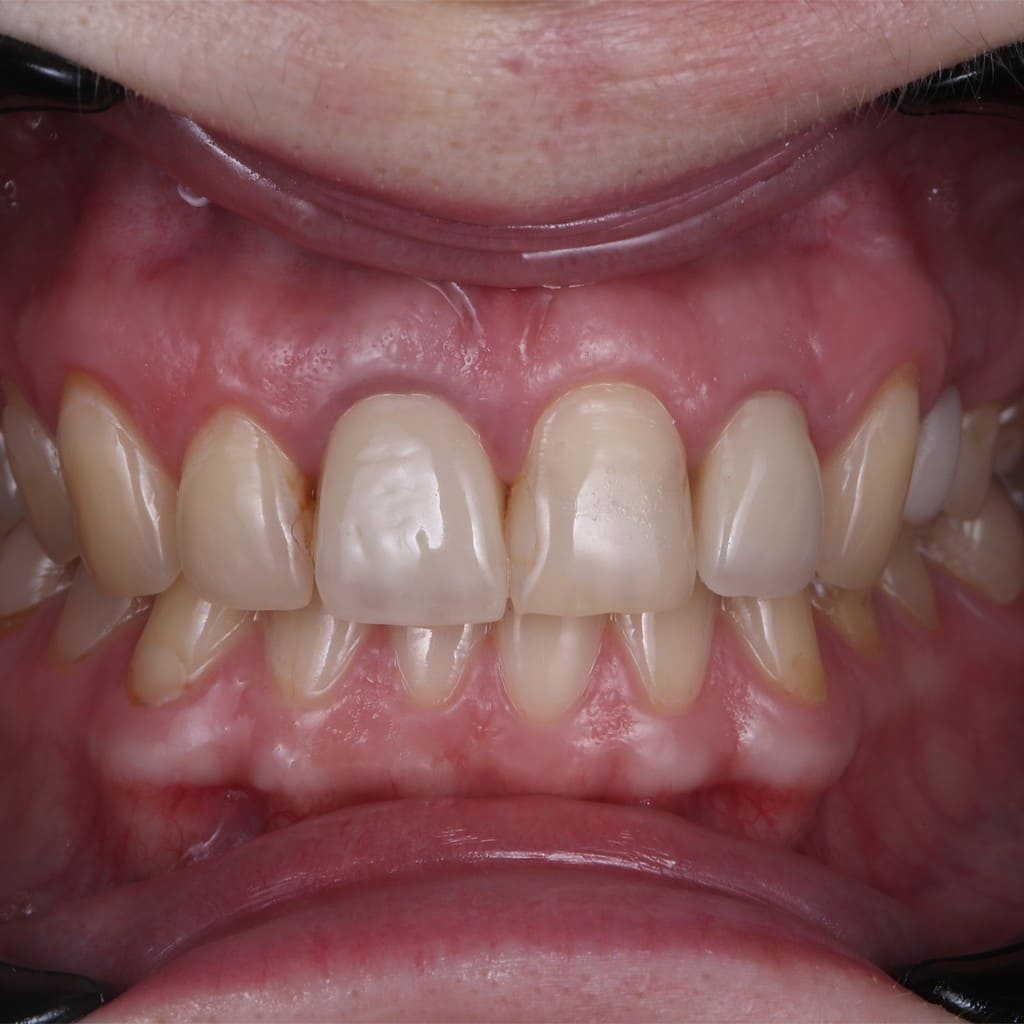
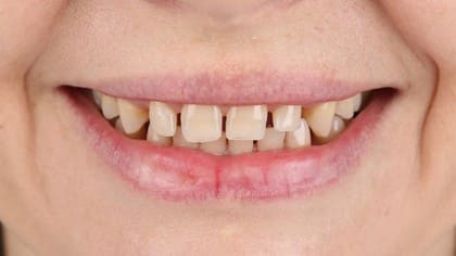
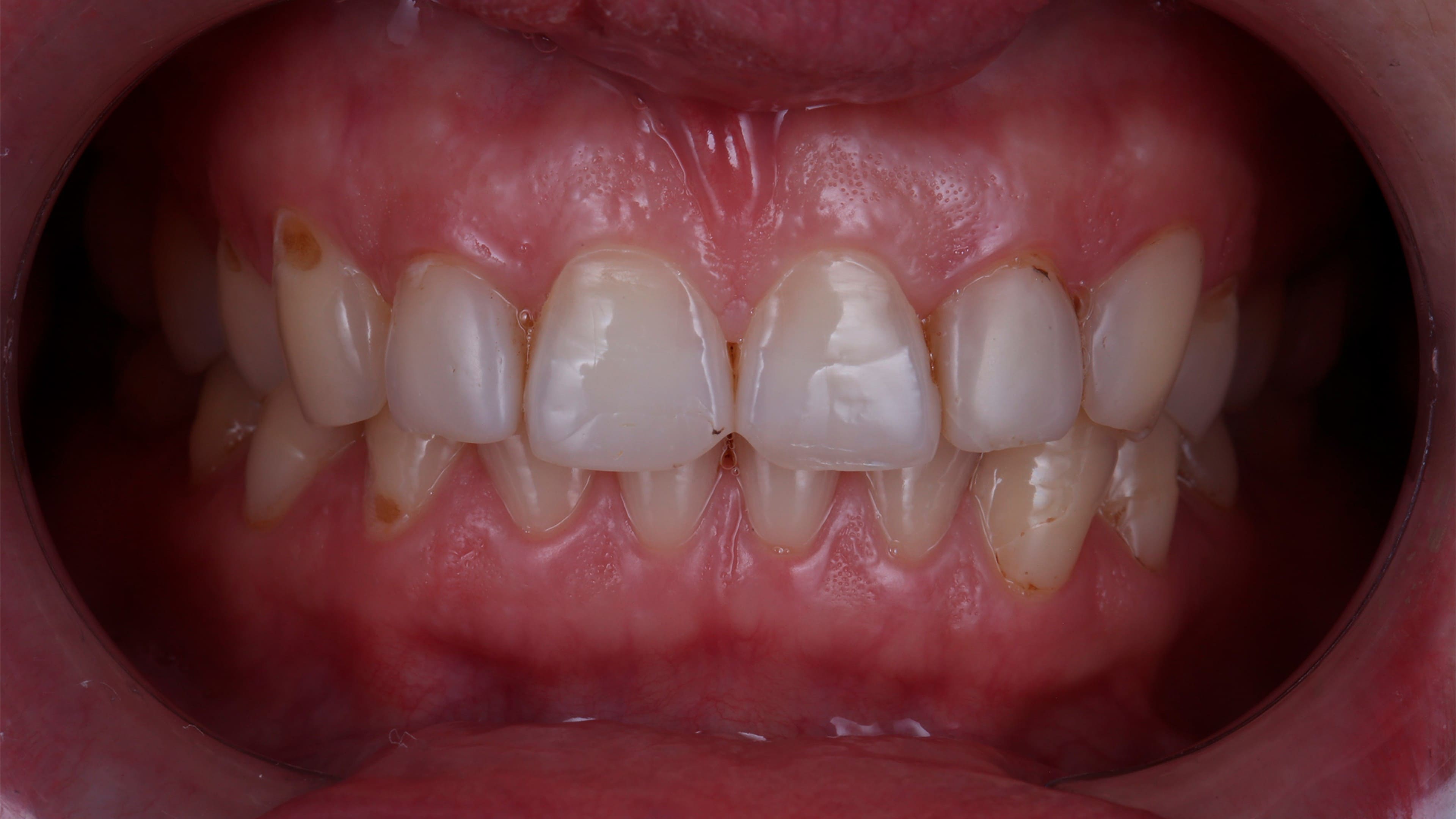
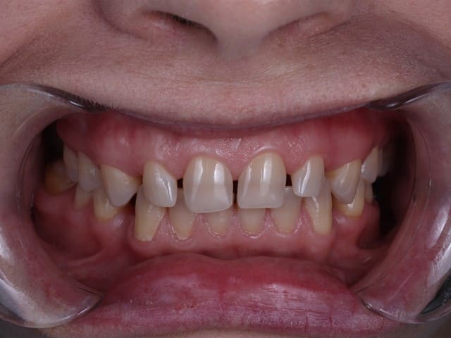
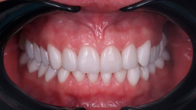
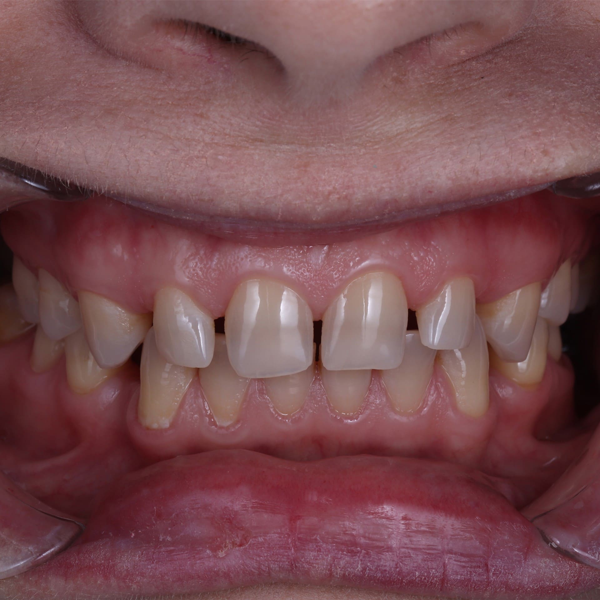
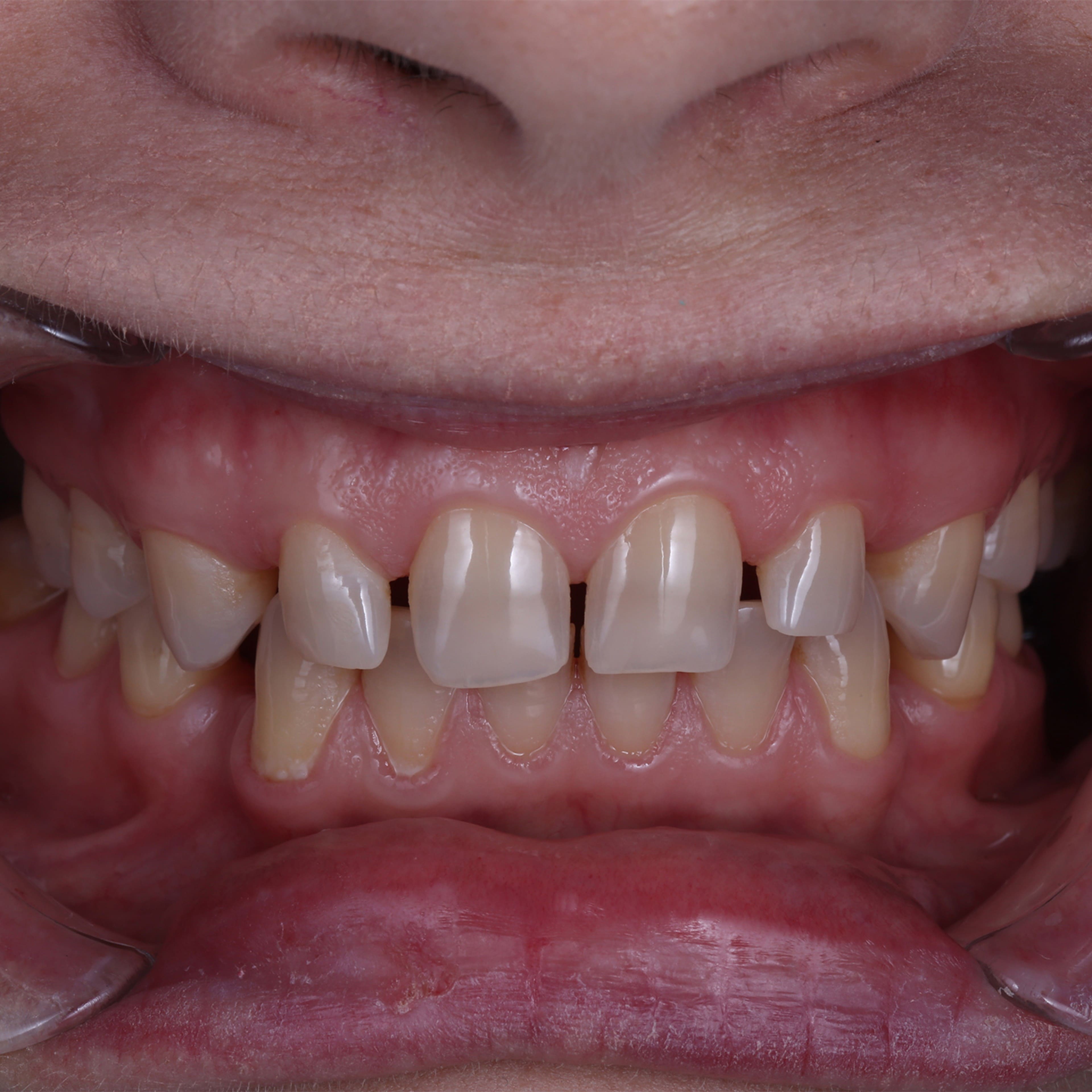
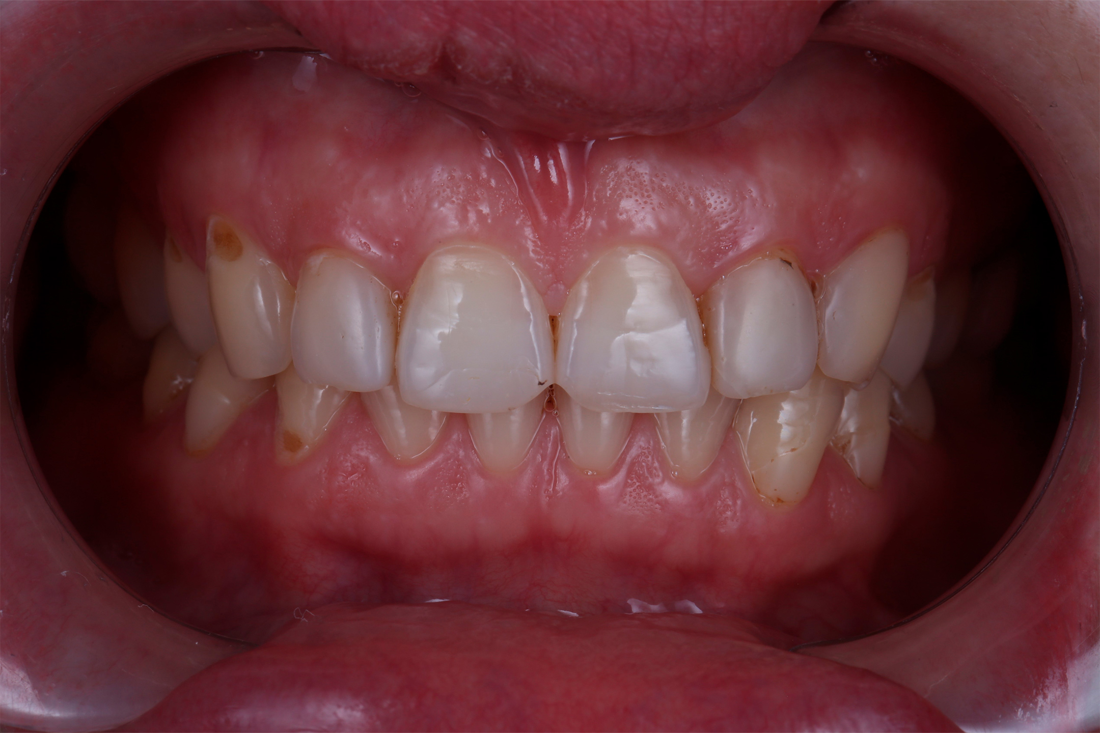
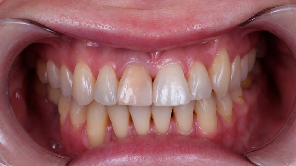
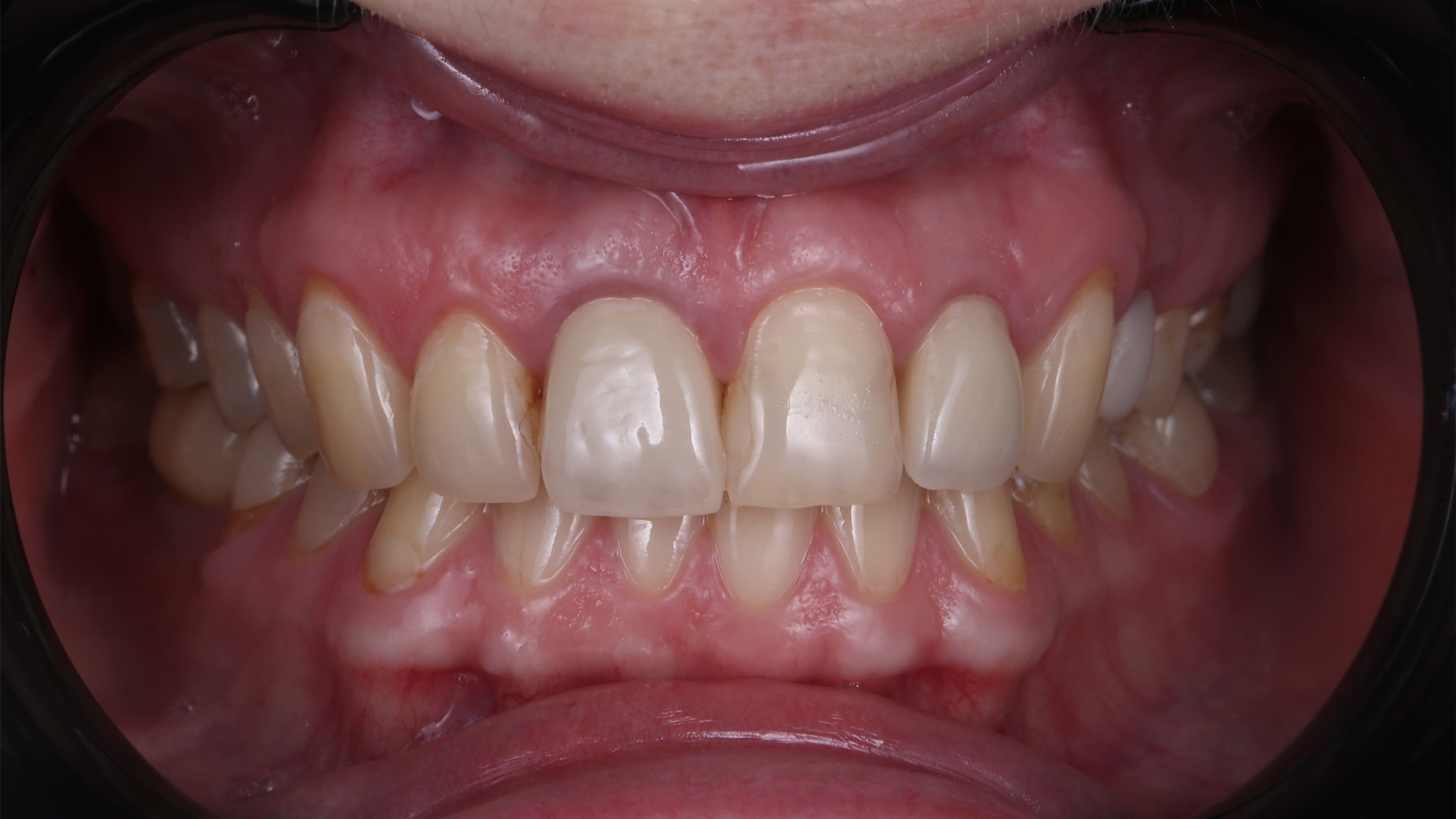
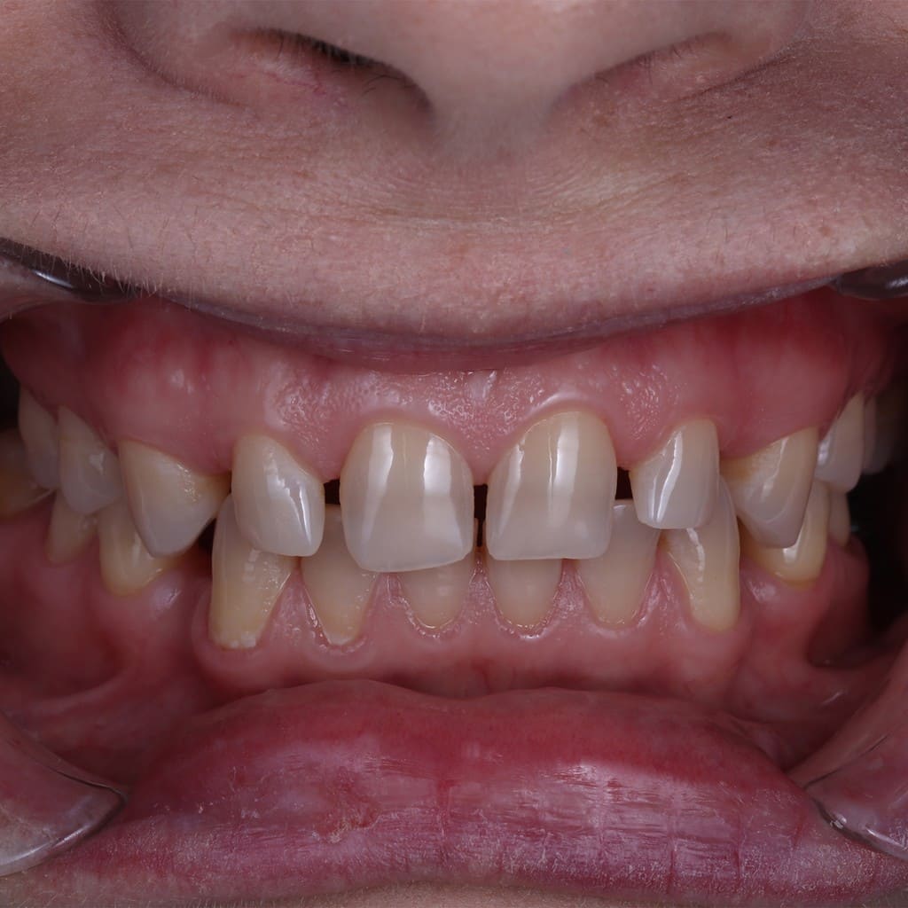
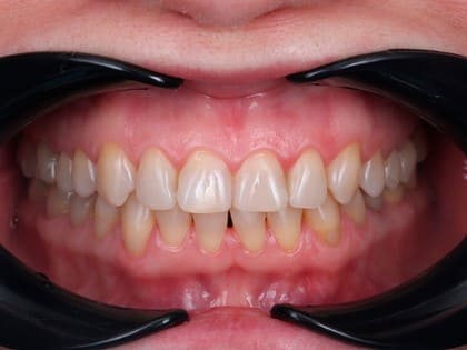
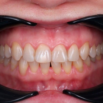
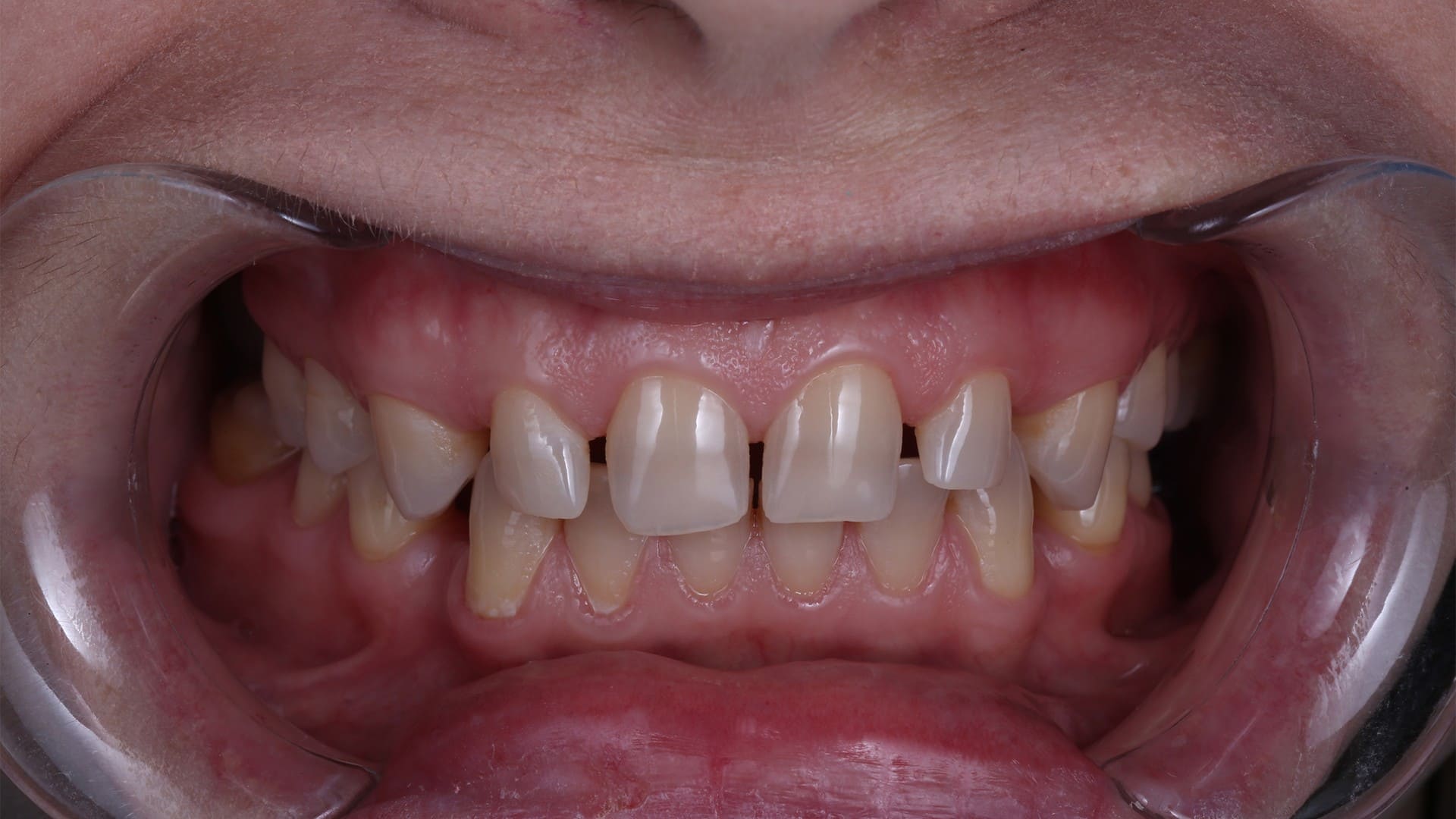
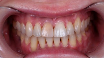
К нам обратилась молодая девушка с патологической стираемостью зубов. Передние зубы потеряли треть своей длины из-за бруксизма.
Жалобы
Общая неудовлетворительная эстетика улыбки, скрежет зубов.
Проделанная работа
После осмотра и анализа снимка КТ мы предложили пациентке вернуть утерянную высоту прикуса, установить керамические виниры в зоне улыбки и покрыть коронками жевательные зубы для распределения нагрузки. После примерки и утверждения макета будущей улыбки выполнена обработка зубов для установки виниров и коронок.
Результат работы
Пациентка обрела голливудскую улыбку мечты, стала увереннее в себе.
Сопутствующие процедуры:
Первичный прием стоматолога ортопеда
Снимок КТ
Прием стоматолога терапевта
Лечение кариеса и пульпита
Лицевая дуга
Моделирование Wax-up и Mock-up
Препарирование зубов
Установка временных коронок
Установка постоянных виниров и коронок
Необходимые специалисты:
Стоматолог ортопед
Стоматолог хирург
Зубной техник
Ассистент стоматолога
К нам обратилась молодая девушка с патологической стираемостью зубов. Передние зубы потеряли треть своей длины из-за бруксизма.
Жалобы
Общая неудовлетворительная эстетика улыбки, скрежет зубов.
Проделанная работа
После осмотра и анализа снимка КТ мы предложили пациентке вернуть утерянную высоту прикуса, установить керамические виниры в зоне улыбки и покрыть коронками жевательные зубы для распределения нагрузки.
Результат работы
Пациентка обрела голливудскую улыбку мечты, стала увереннее в себе.
Сопутствующие процедуры:
Первичный прием стоматолога ортопеда
Снимок КТ
Прием стоматолога терапевта
Лечение кариеса и пульпита
Лицевая дуга
Моделирование Wax-up и Mock-up
Препарирование зубов
Установка временных коронок
Установка постоянных виниров и коронок
Необходимые специалисты:
Стоматолог ортопед
Стоматолог хирург
Зубной техник
Ассистент стоматолога
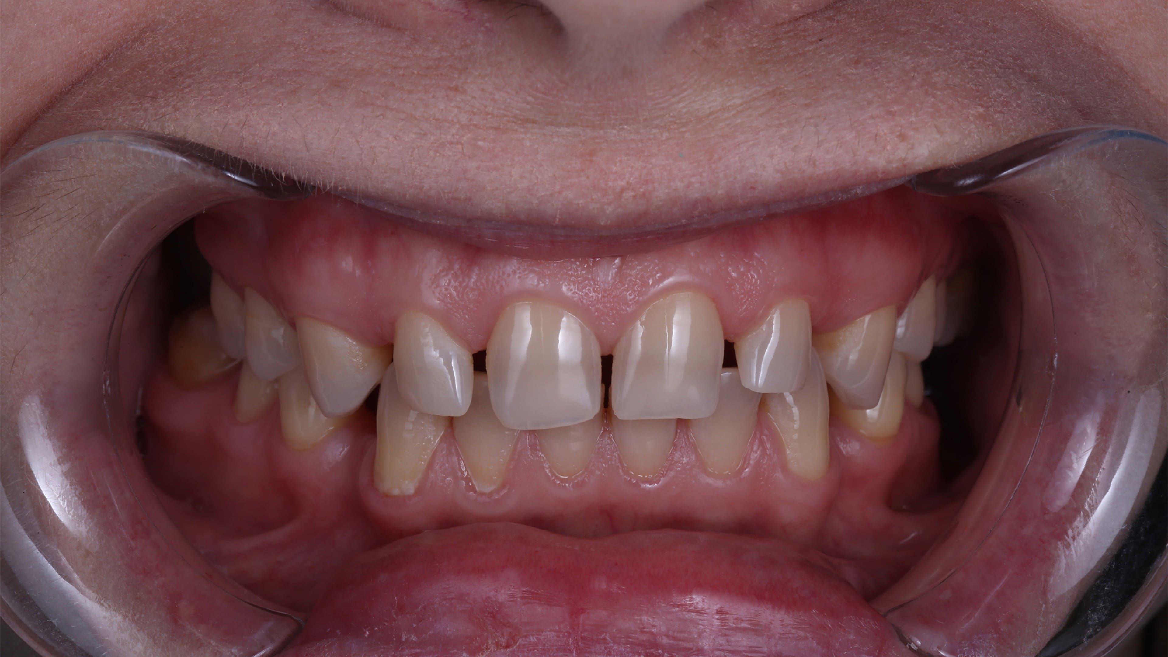
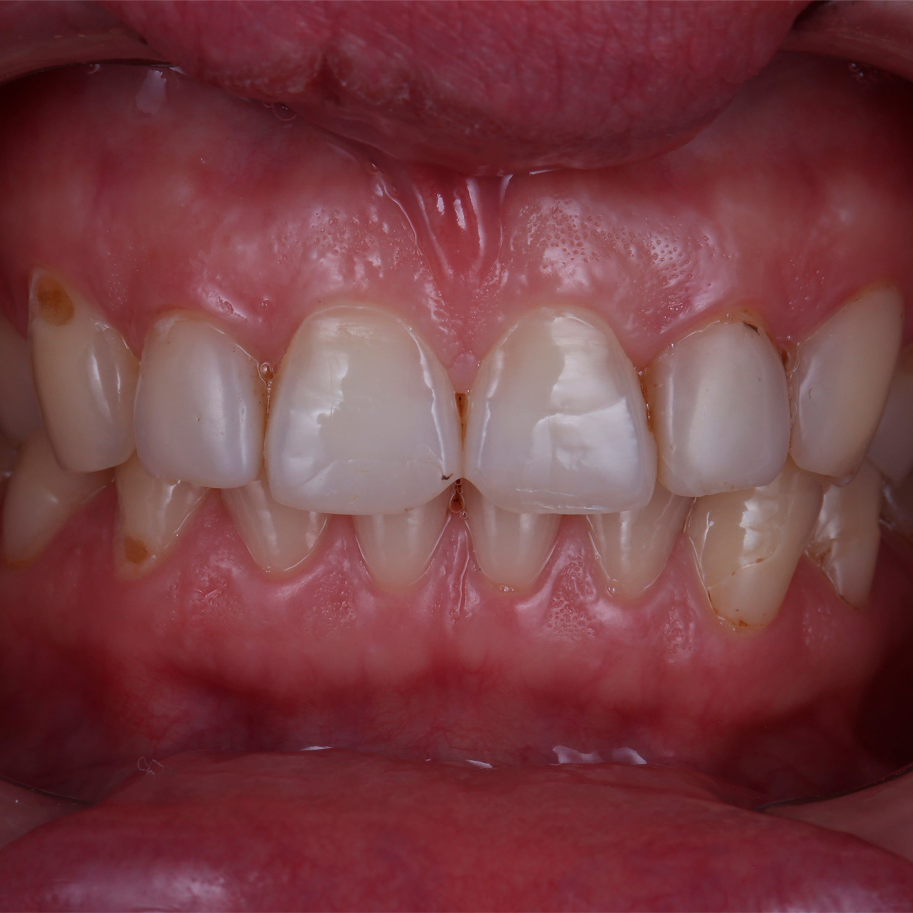
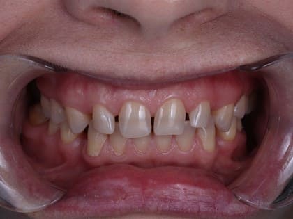
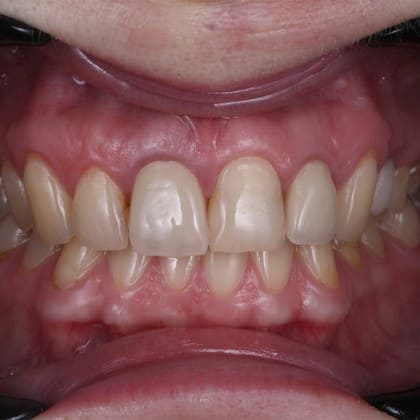
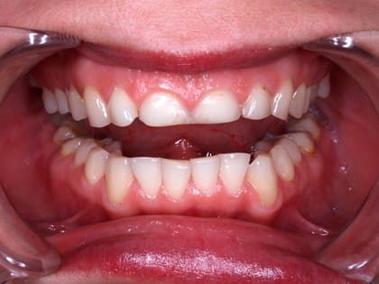
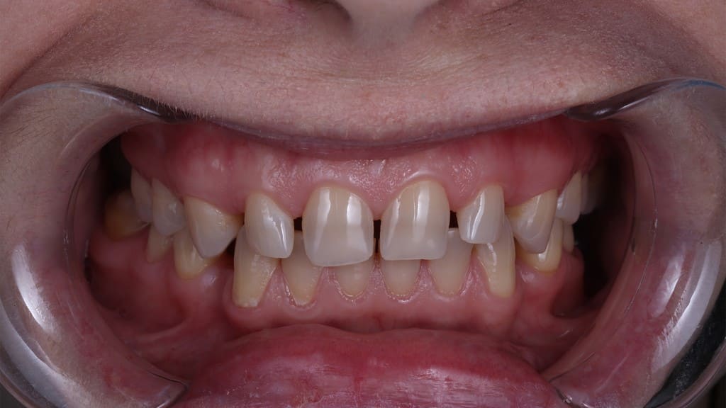
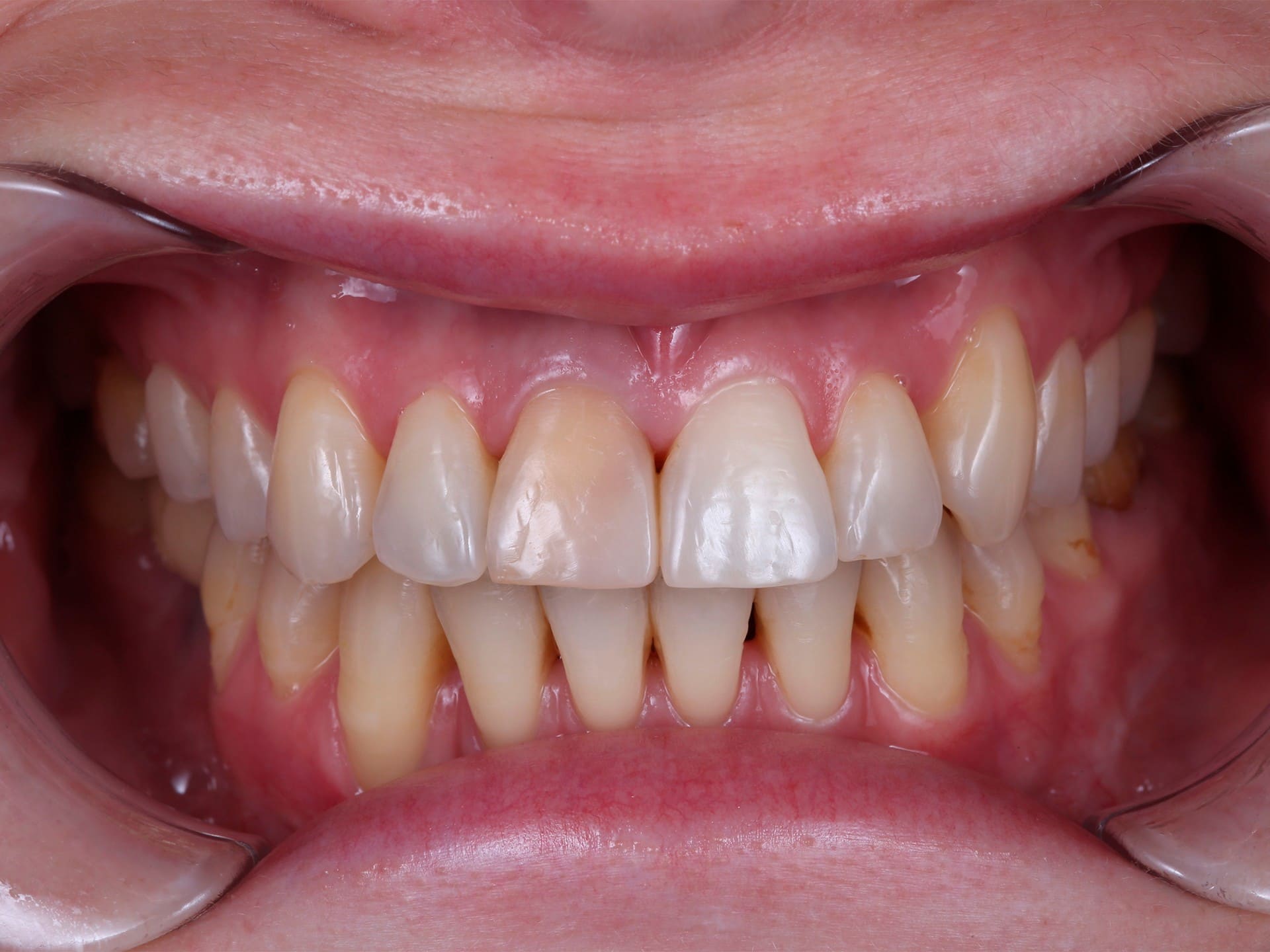
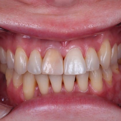
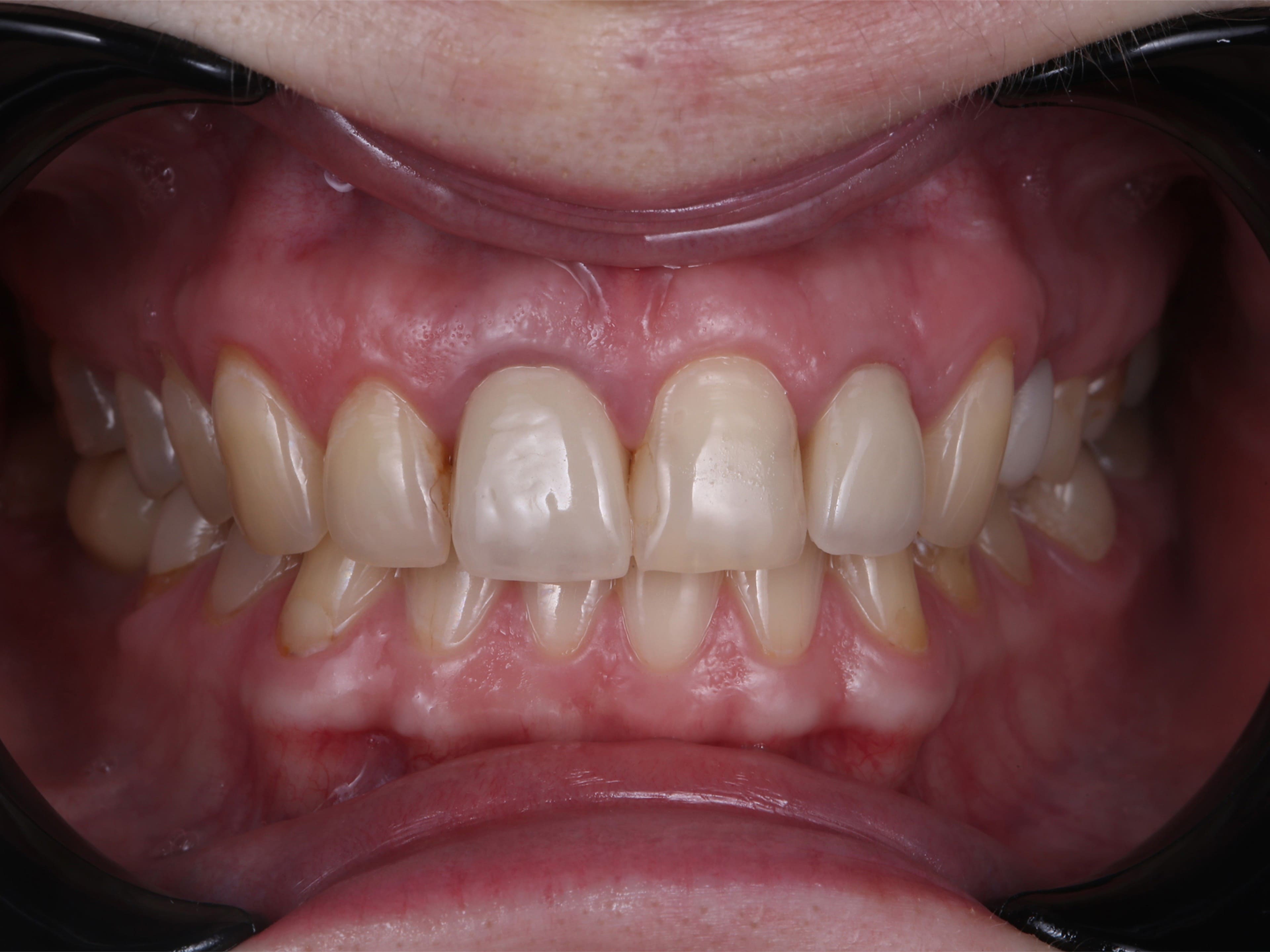
К нам обратилась пациентка с желанием обрести красивую гармоничную улыбку, вернуть утраченную высоту зубов.
Жалобы
Общая неудовлетворительная эстетика улыбки.
Проделанная работа
После осмотра и анализа снимка КТ пациентке составлен полноценный план лечения. Удалены разрушенные зубы мудрости. Стоматолог ортопед при помощи специального оборудования - лицевой дуги - спланировал гармоничное расположение передних зубов. После примерки и утверждения макета будущей улыбки выполнена обработка зубов для установки виниров и коронок.
Результат работы
Пациентка обрела улыбку мечты и улыбается чаще!
Сопутствующие процедуры:
Первичный прием стоматолога ортопеда
Снимок КТ
Прием стоматолога хирурга
Лицевая дуга
Моделирование Wax-up и Mock-up
Препарирование зубов
Установка временных коронок
Установка постоянных виниров и коронок
Необходимые специалисты:
Стоматолог ортопед
Стоматолог хирург
Зубной техник
Ассистент стоматолога
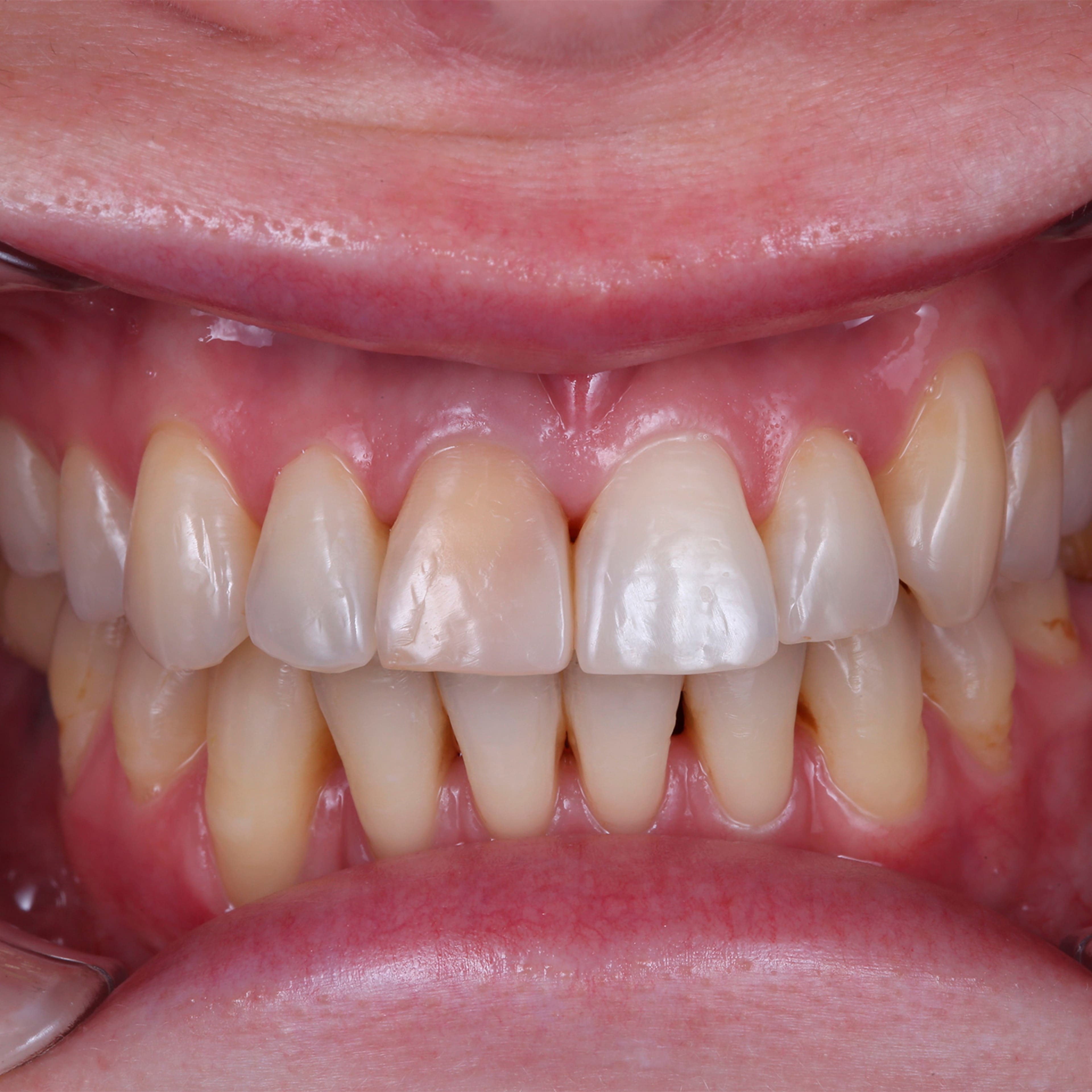
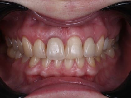
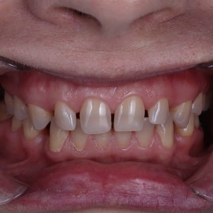
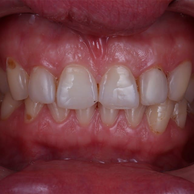
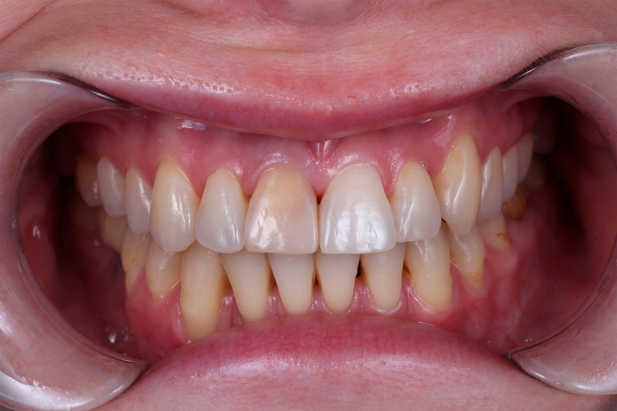
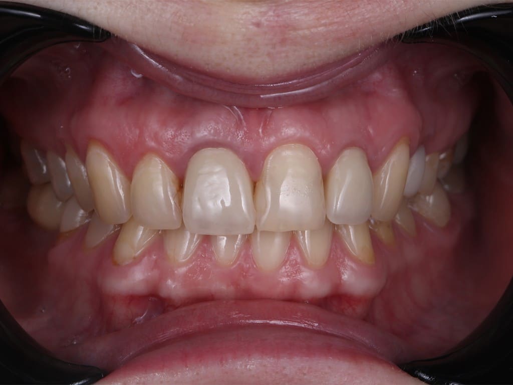
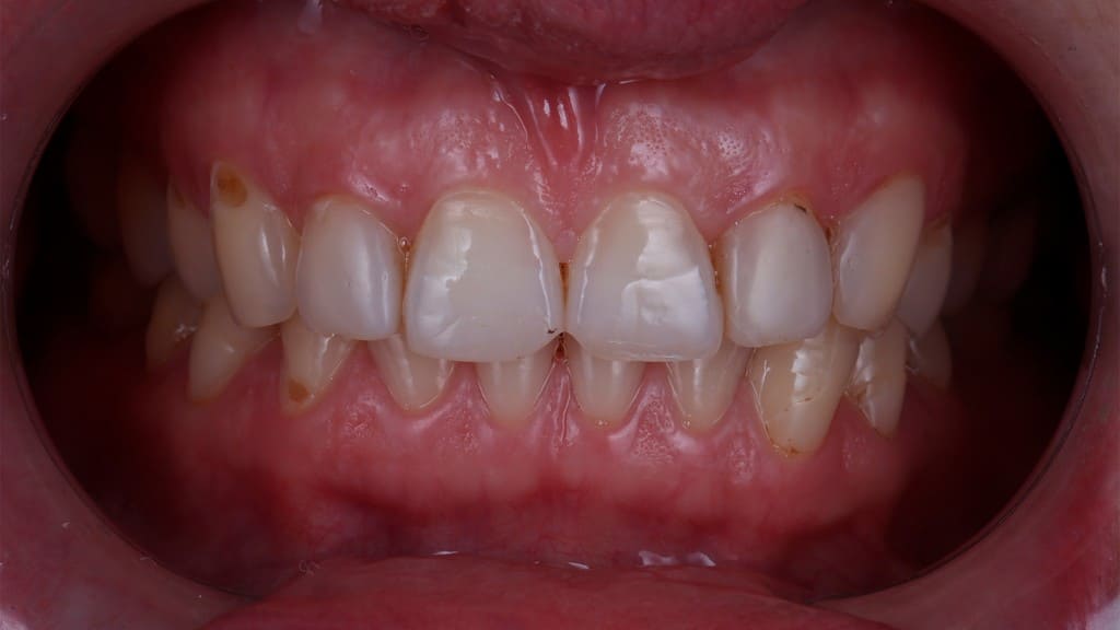
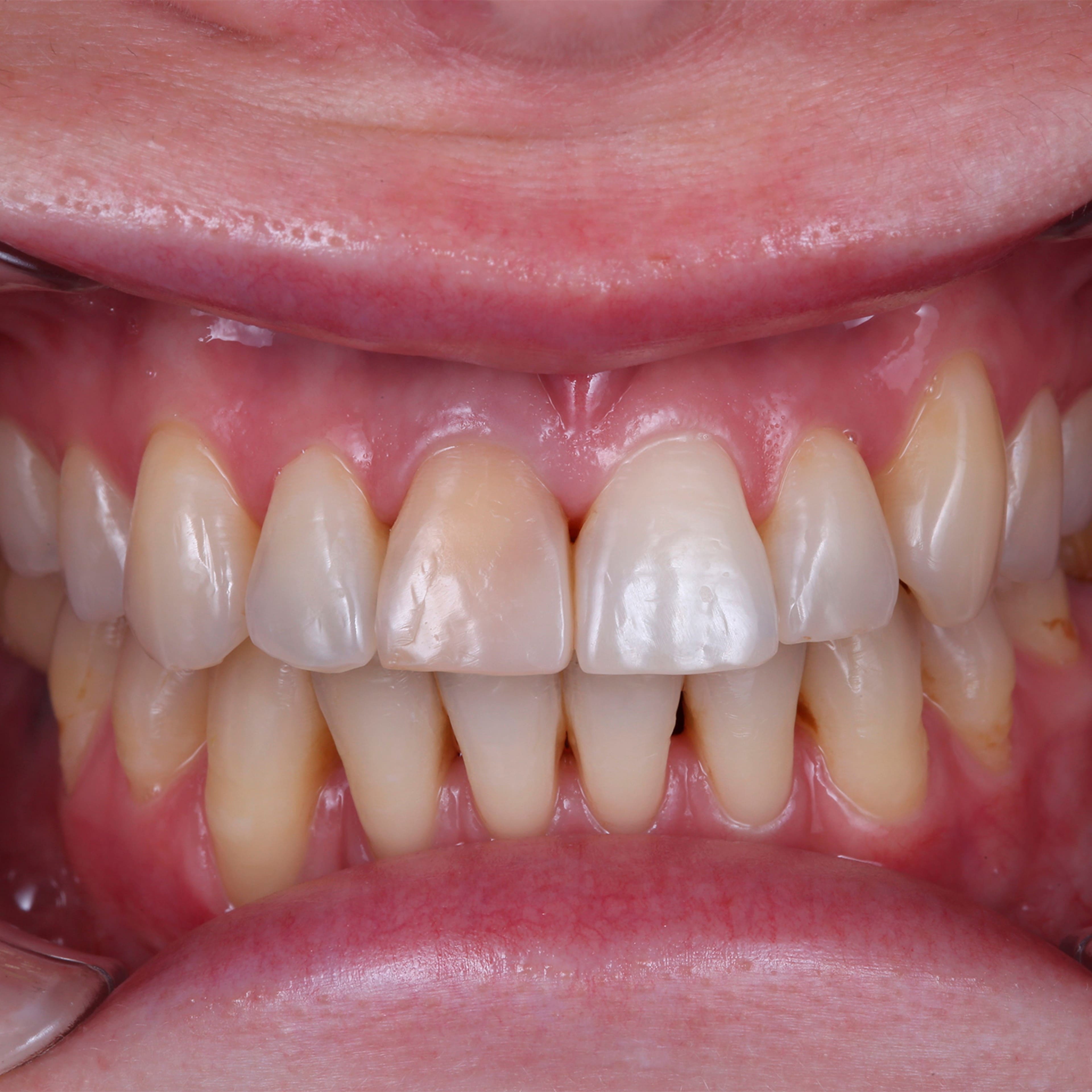
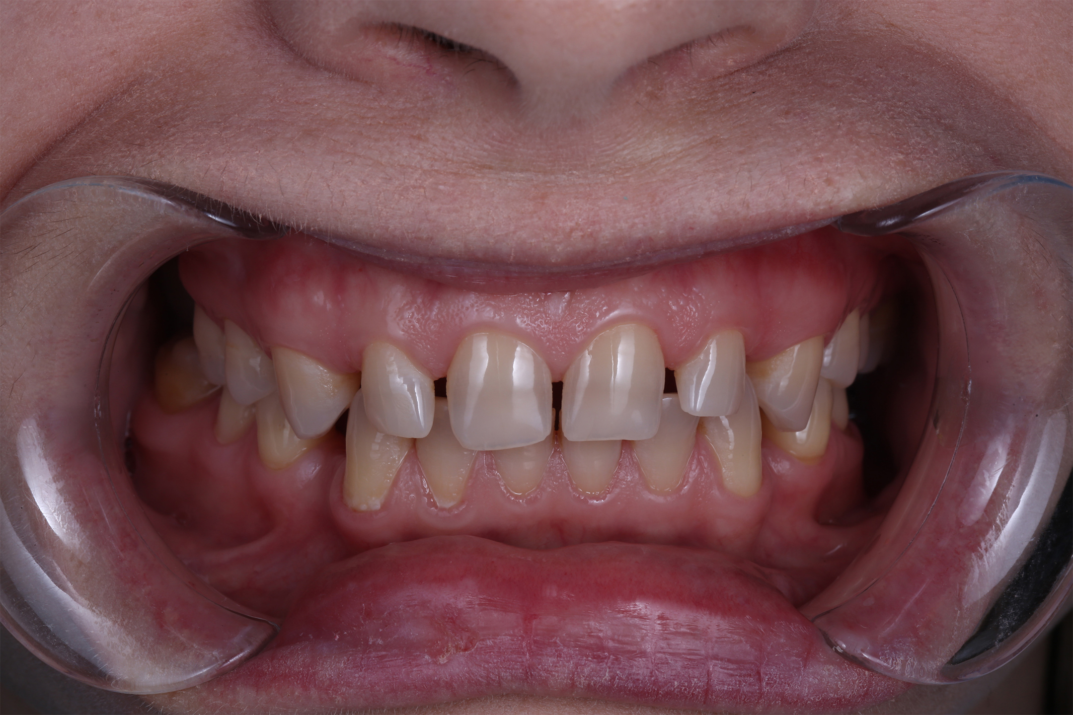
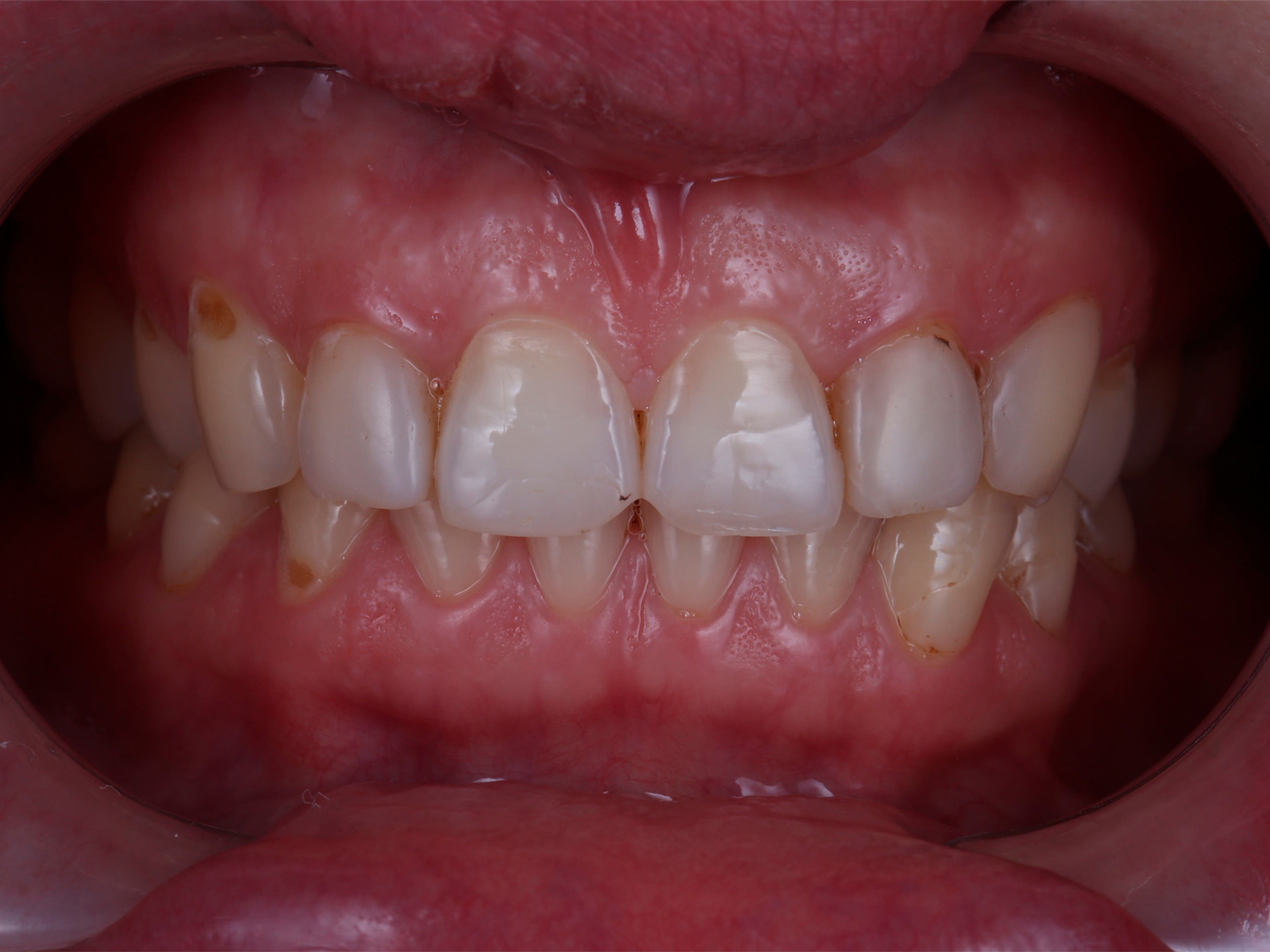
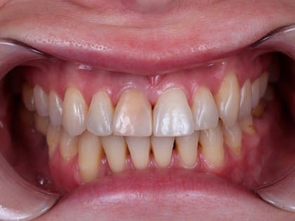
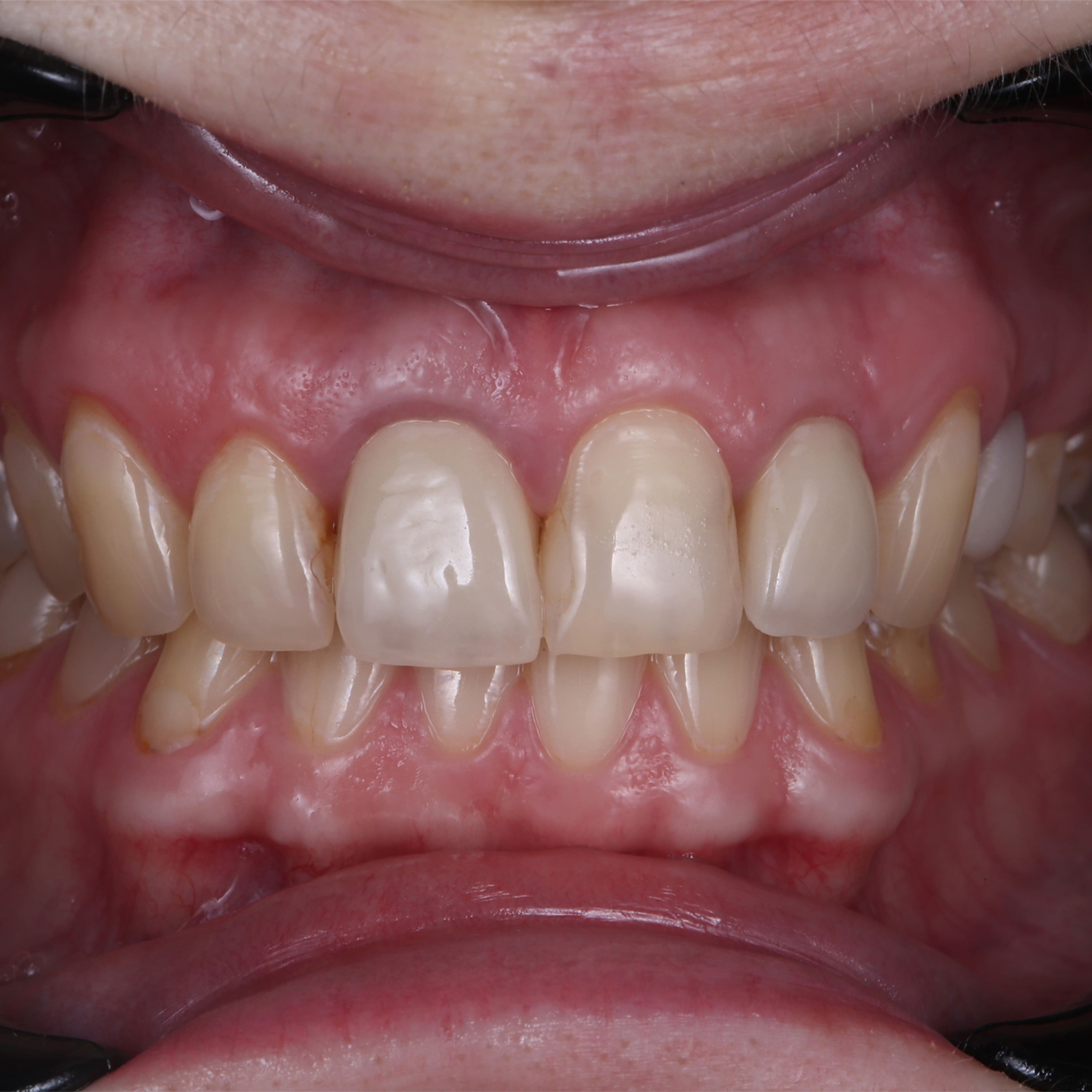
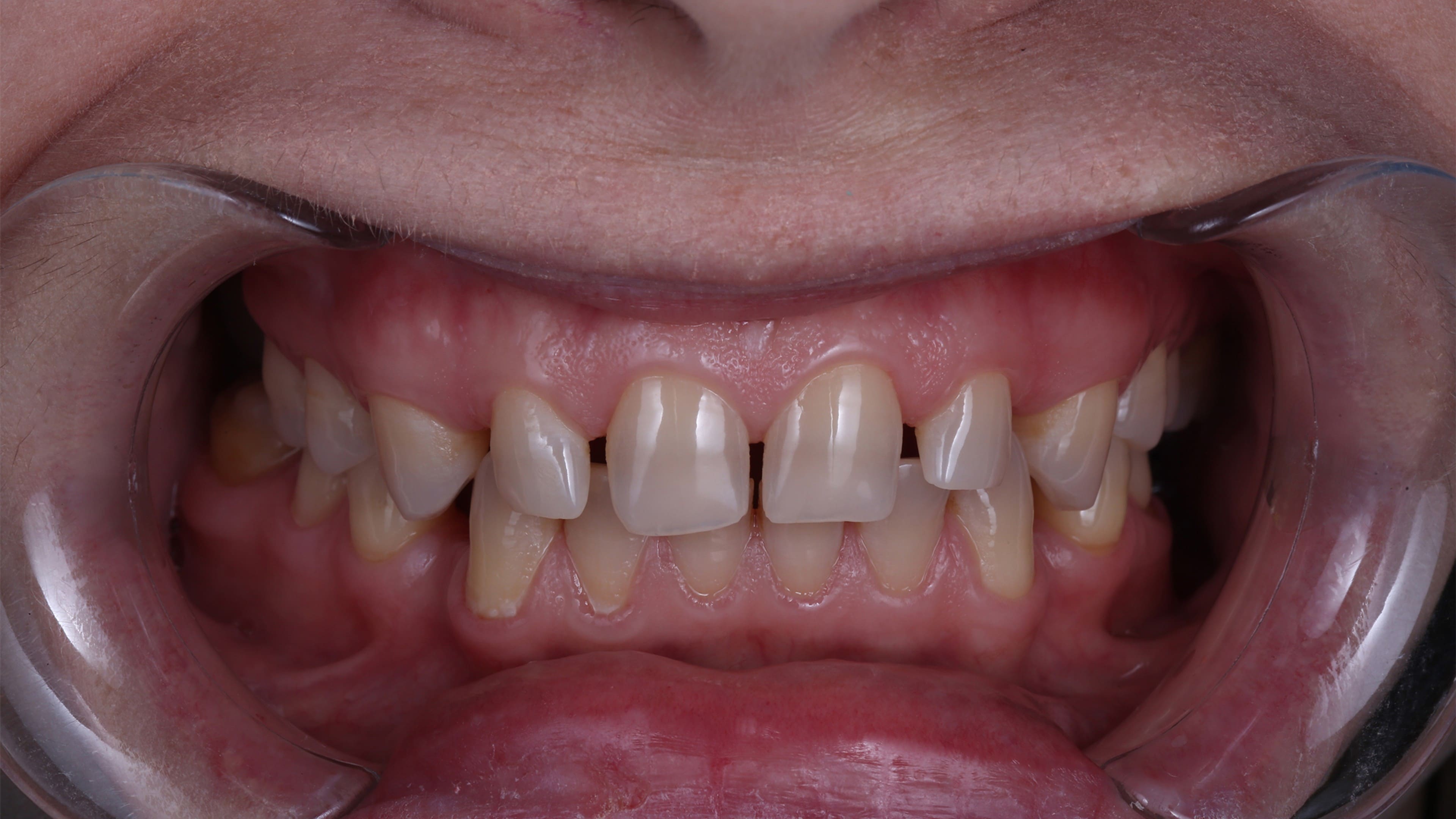
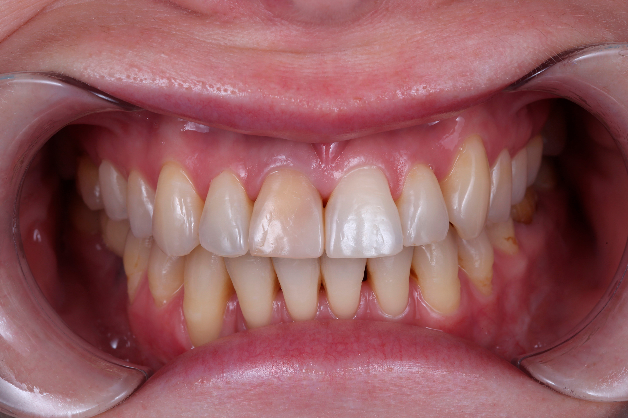
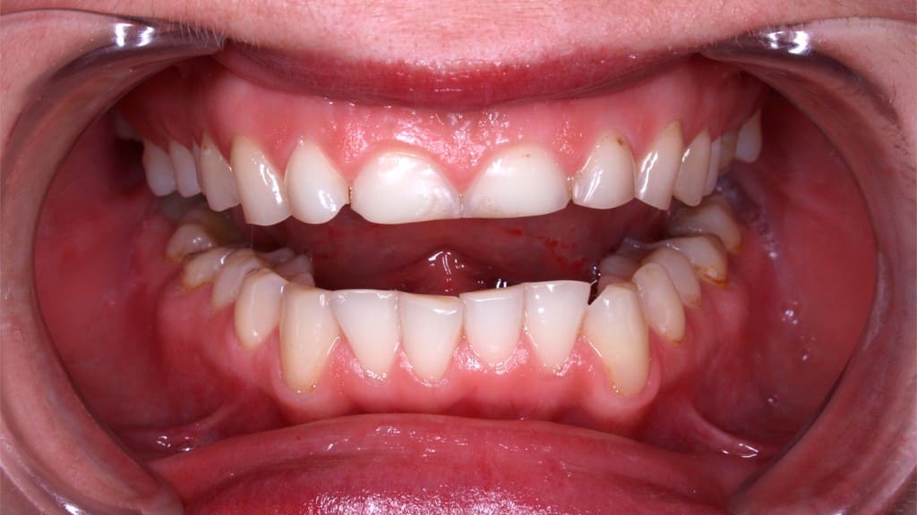
К нам обратилась пациентка с желанием обрести красивую гармоничную улыбку. На передних зубах уже присутствовали виниры разных оттенков, что вносило дисколорит.
Жалобы
Общая неудовлетворительная эстетика улыбки.
Проделанная работа
После осмотра и анализа снимка КТ пациентке составлен полноценный план лечения. Стоматолог терапевт провела полную санацию полости рта. На время изготовления постоянной работы все зубы были покрыты временными пластмассовыми коронками.
Результат работы
Пациентка обрела улыбку мечты, стала увереннее в себе.
Сопутствующие процедуры:
Первичный прием стоматолога ортопеда
Снимок КТ
Прием стоматолога терапевта
Лечение кариеса и пульпита
Лицевая дуга
Моделирование Wax-up и Mock-up
Препарирование зубов
Установка временных коронок
Установка постоянных виниров и коронок
Необходимые специалисты:
Стоматолог ортопед
Стоматолог хирург
Зубной техник
Ассистент стоматолога
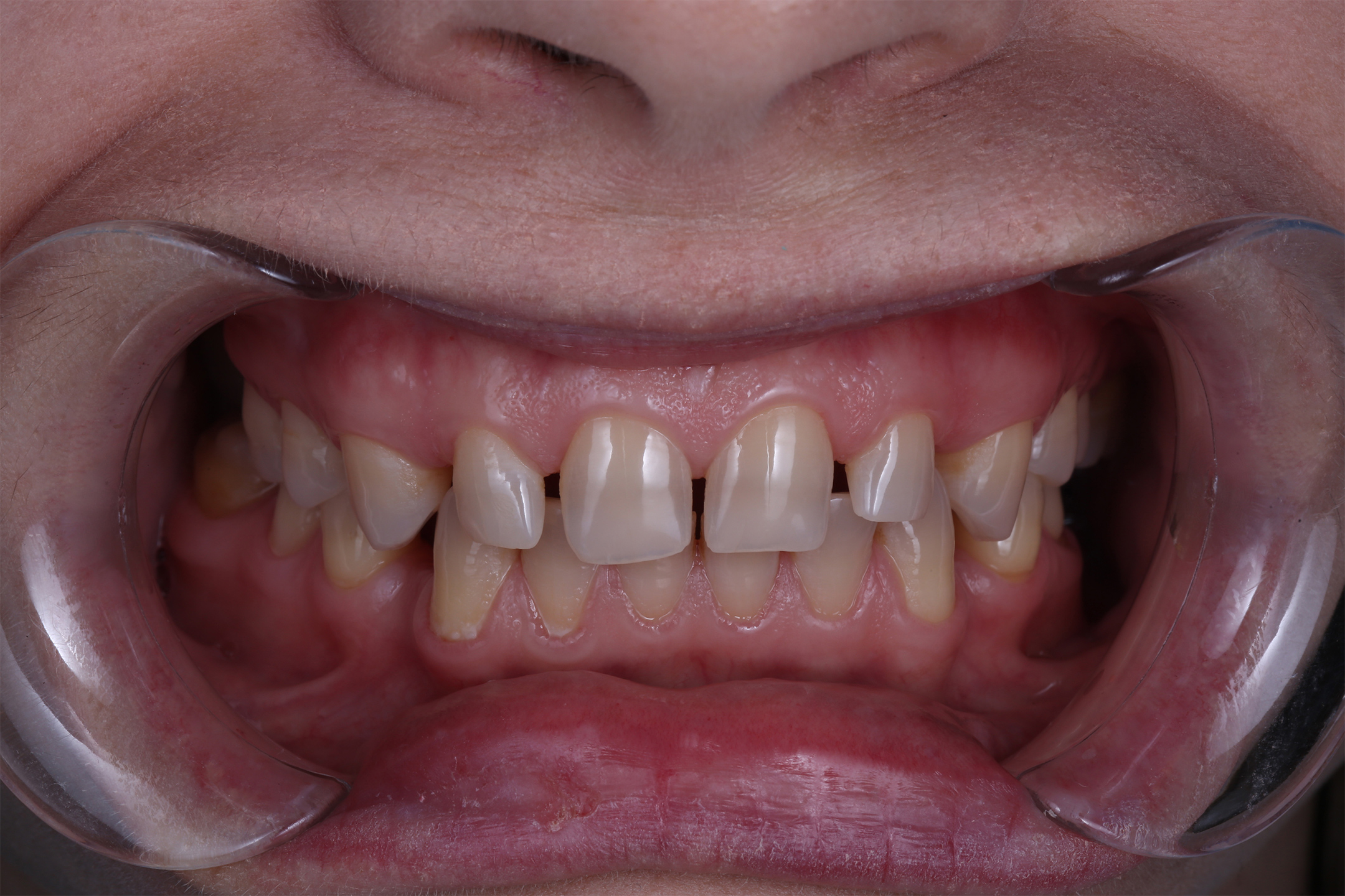
К нам обратилась пациентка с желанием обрести голливудскую улыбку.
Жалобы
Общая неудовлетворительная эстетика улыбки.
Проделанная работа
После осмотра и анализа снимка КТ пациентке составлен полный план лечения. Проведено лечение кариозных зубов врачом терапевтом. Сняты старые несостоятельные металлические конструкции, с одномоментной имплантацией в левом верхнем отделе.
Результат работы
Пациентка обрела улыбку мечты и улыбается чаще!
Сопутствующие процедуры:
Первичный прием стоматолога ортопеда
Снимок КТ
Прием стоматолога терапевта
Лечение кариеса и пульпита
Прием врача стоматолога хирурга
Установка импланта и формирователя десны
Лицевая дуга
Моделирование Wax-up и Mock-up
Препарирование зубов
Установка временных коронок
Установка постоянных виниров и коронок
Необходимые специалисты:
Стоматолог ортопед
Стоматолог хирург
Зубной техник
Ассистент стоматолога
FAQ
Ответы на часто задаваемые вопросы
Что входит в стоимость лечения?
Мы формируем итоговую стоимость по принципу «всё включено», наши
цены максимально прозрачные и понятные. На примере восстановления
зуба коронкой видно, что это комплексная услуга, состоящая из
многих этапов, но пациенту не нужно скрупулёзно изучать все нюансы
работы врача-ортопеда. Мы не дробим прайс на множество позиций, а
указываем конечную стоимость.
Зачем нужно приходить на осмотры два раза в год?
Регулярные посещения стоматолога помогают выявлять проблемы с
полостью рта на ранних стадиях, проводить профилактические
мероприятия, такие как чистка зубов и удаление зубного налета, а
также предотвращать развитие более серьезных заболеваний.
Как долго нельзя есть после пломбирования зуба?
После пломбирования зуба рекомендуется воздерживаться от пищи и
напитков в течение 1–2 часов. Это время необходимо для того, чтобы
прошло действие анестезии, пломба полностью застыла и
зафиксировалась в зубе. Кроме того, в течение первых 24 часов
после пломбирования рекомендуется избегать горячей или очень
холодной пищи и напитков, чтобы предотвратить появление
чувствительности или боли. После того как пломба зафиксировалась и
зуб начал чувствовать себя нормально, вы можете возвращаться к
обычному рациону и режиму питания. Однако, если возникают
какие-либо проблемы, боли или дискомфорт, необходимо обратиться к
стоматологу для дополнительной консультации и диагностики.
Какие симптомы свидетельствуют о необходимости срочного обращения к
стоматологу?
Срочно нужно обратиться к стоматологу, если у вас есть сильная
боль в зубе или десне, отечность лица, кровотечение изо рта,
повышенная чувствительность зубов к холоду или теплу, а также в
случае травмы или потери зуба.
Какие проблемы могут возникнуть из-за неправильного прикуса?
Неправильный прикус может привести к дисфункции челюстей, боли при
жевании, износу зубов, проблемам с суставами челюсти и даже
головным болям.
Чем отличаются виниры от коронок?
Виниры — это тонкие оболочки, покрывающие переднюю часть зубов, а
коронки — это чашеобразные конструкции, покрывающие всю видимую
часть зуба.
Какие преимущества имплантов по сравнению с мостами?
Импланты имеют ряд преимуществ, включая сохранение соседних
здоровых зубов, лучшую функциональность (отсутствие «подвесной
части») и эстетику, а также долговечность.
Что такое имплантация зубов ALL ON 4 и каковы её преимущества?
Это концепция восстановления зубов несъемным протезом с опорой на
имплантаты. Протокол позволяет вернуть пациенту красивую улыбку,
правильный прикус и естественный овал лица буквально за один день.
В основе метода лежит применение высокоточных трехмерных
изображений челюсти, полученных путем сканирования ротовой
полости. Чтобы установить условно-съемный протез, в челюсть
вживляется четыре титановых имплантата. После чего на опоры
фиксируется протез из композита или акрила с искусственными
зубными коронками. Конструкция закрепляется винтами, которые
закрываются пломбировочным материалом или цементом для достижения
максимального эстетического результата. Винтовая фиксация более
удобна в эксплуатации, имеет ряд преимуществ перед альтернативными
вариантами. Стоматолог всегда имеет возможность отсоединить протез
без повреждения окружающих тканей и провести починку,
перебазировку, подгонку или чистку.
Через какое время после удаления зуба можно ставить имплантат?
Время перед установкой имплантата после удаления зуба может
варьироваться в зависимости от индивидуальных обстоятельств и
состояния пациента. Однако обычно рекомендуется ждать от 2 до 6
месяцев, прежде чем устанавливать имплантат. Этот период времени,
называемый периодом остеоинтеграции, позволяет костной ткани
заживать и подготавливаться для приема имплантата. В случае
необходимости более сложной хирургической процедуры или если есть
особые изначальные проблемы с костной тканью, этот срок также
может быть увеличен. Однако в некоторых случаях стоматолог может
решить установить временный протез (например, временный мост)
сразу после удаления зуба, в то время как костная ткань заживает,
что позволяет пациенту сохранять эстетику и функциональность
зубного ряда.
Чем отличается гингивит от пародонтита?
Гингивит — это воспаление десен, обычно вызванное неправильной
гигиеной полости рта. Пародонтит же — это более серьезное
заболевание, когда воспаление распространяется на ткани,
поддерживающие зуб. Пародонтит, в отличие от гингивита, может
привести к потере зубов.
Могут ли женщины посещать стоматолога во время беременности?
Да, беременные женщины должны продолжать посещать стоматолога и
поддерживать хорошее здоровье. Однако необходимо предупредить
стоматолога о беременности для принятия соответствующих мер
предосторожности.
Какие финансовые варианты лечения предлагает ваша клиника?
У нас предусмотрены различные варианты оплаты. Мы сотрудничаем с
ведущими страховыми компаниями (Альфастрахование, Согаз,
Росгосстрах, Энергогарант). Также длительное ортодонтическое
(брекеты и элайнеры) и ортопедическое лечение оплачивается
поэтапно в рассрочку для облегчения финансовой нагрузки.
Отзывы
Наши пациенты пишут
о нас
Дарья Кукушина27.12.2024
Загуглила сто клиник, выбрала то из-за нормальных цен. В итоге порадовало, что здесь реально современное оснащение и специалисты знают свое дело.
Матвей Денискин13.12.2024
Отличная стоматология, мне требовалась имплантация и протезирование, решил обратиться сюда и теперь всем могу рекомендовать.
Елена 29.11.2024
Та стоматология, которую давно надо было посетить. была у доктора Вадима Игоревича. жаль, что таких грамотных и деликатных врачей раньше не встречала!
Ульяна Бурунова08.11.2024
Попала на прием к Людмиле Александровне после долгих раздумий об имплантации. Очень переживала, что процесс будет болезненным.
Денис Горшинков18.10.2024
После консультации у Людмилы Александровны стало понятно, что имплантация - это не так страшно, как я себе представлял.
Нина Новикова27.09.2024
Имплантация - это всегда стресс, но здесь я чувствовала себя комфортно. Сначала сделали снимок на их оборудовании, потом рассказали, как все будет проходить.
Анна Костина05.09.2024
Клиника отличная, провели лечение качественно и спасли мои восьмёрки :) Проходила лечение у Чижиковой Марии Александровны, хороший специалист, рекомендую!
Марина М.15.08.2024
До прихода в эту клинику, посетила множество стомотологий. Вопрос был по поводу протезирования. Было множество консультаций имплантологов, ортопедов.
Мария 258023.07.2024
Замечательная клиника, с первых минут посещения вызывающая доверие и уважение к профессионализму всего персонала, подходу к лечению на высочайшем технологичном уровне, тактичному и невероятно приветливому обращению.
Mark Berg01.07.2024
Потрясающее отношение и профессионализм каждого из врачей. Все показывали и объясняли по графику лечения. Отдельно отмечу вежливость сотрудников, дизайн клиники и месторасположение. Огромная благодарность Роману Борисовичу и Марии Александровне ! Если стоматология в Калининграде - то только «Улыбайтесь чаще»!